Links:
-- Swiss Federal Department of Health:
http://www.rauchenschadet.ch
-- Swiss Lung Leage:
http://www.lung.ch
-- Foundation pro aere:
http://www.proaere.ch
-- Martin H. Junker: Dissertation ETH Zürich 2000
-- SCARPOL: Studie über Atemwegsbeschwerden und Allergien
bei Schulkindern. Bundesamt für Gesundheit 1995. ["Survey
about grievances of the airways and allergies with school
children. Federal Department of Health 1995"]
-- www.bund.net: Dicke Luft
in der guten Stube ["Trouble's brewing in the parlor"];
http://www.bund.net/lab/reddot2/pdf/pos_innenraum.pdf
Contents
1.
Cigarette
smoke
is "toxic air pollutant" - peace pipe and mass
consumption
2.
Second
hand
smoke / passive smoke: main stream smoke - second hand
smoke (side stream smoke)
3.
Measurements
4.
Mode
of action of the smoker's smoke / of passive smoking all
in all
5.
Each
toxic
element in the second hand smoke / in the smoke of
cigarettes / in the passive smoke
6.
The
additives in the tobacco also are in the second hand
smoke / in the passive smoke
7.
The
diseases by smoker's smoke / by passive smoking
8.
Three
joints
are that harmful like a box of cigarettes
9.
Passive
smoker's
risk for heart diseases and lung cancer is 30% higher
10.
Ban
of smoking for parents - passive smoking children
11.
Passive
smoking
doubles the risk for breast cancer of women
12.
Animals
are also smoking: cancer with domestic animals by
passive smoking
13.
Waiter
passive
smoking up to 2 boxes of cigarettes per day
14.
Foetus
is
smoking during passive smoking - sudden infant death
syndrome more often
15.
Computers from smokers not repaired
because of passive smoking effects
16.
Passive smoking favorits diabetes 2
17.
Children exposed to passive smoking
suffer more often dangerous infections of meningococcus
1. Cigarette
smoke is "toxic air pollutant" - peace pipe and mass
consumption
from: California: Cigarette smoke is "toxic air
pollutant"; Basel Newspaper "Basler Zeitung", 27
January 2005
http://www.baz.ch/news/index.cfm?ObjectID=0A4B9030-1422-0CEF-7083DD58C387B3B6
|

Woman
smoker with main stream smoke. She commits
personal injury on herself and on
non-smokers.
|
<San Francisco. DPA/SDA/baz.
Cigarette smoke endangering passive smokers is listed as
"toxic air pollutant" now. This decision was taken by a
State's regulatory agency (Air Resources Board).
By this the so calls "second hand smoke" is classified
as dangerous poison, "San Francisco Chronicle" reported
on Thursday.
As a first US Federal State California took the decision
to make this classification. By this the way is free for
strict anti smoking laws. The board reasoned the
decision with surveys about the health hazard by passive
smoking.
According to the indications of the board smokers in
California produce in the air 40 tons of nicotine, 365
tons of contaminants, and 1900 tons carbon monoxide
every year.>
[orig. German:
<Zigarettenrauch, der Passivraucher gefährdet, wird
in Kalifornien nun in der Liste «giftiger
Luftschadstoffe» geführt. Dies entschied eine staatliche
Regulierungsbehörde (Air Resources Board).
Danach wird der so genannte «second hand smoke»
gefährlichen Giftstoffen gleichgesetzt, berichtete der
«San Francisco Chronicle» am Donnerstag.
Als erster US-Staat hat sich
Kalifornien zu dieser Klassifizierung entschieden und
damit den Weg für striktere Anti- Raucher-Gesetze
geebnet. Die Behörde begründete den Schritt mit Studien
über die Gesundheitsgefährdung durch passiven Rauch.
Nach Angaben des Ausschusses
geben Raucher in Kalifornien jährlich 40 Tonnen Nikotin,
365 Tonnen Schmutzstoffe und 1900 Tonnen
Kohlenmonoxid ab.>
From the peace pipe to mass consumption
Indications by Michael Palomino from seminars of Zurich
University (1998) and conclusions:
Smoking in Europe was imitated from the First Nations
(natives, "Indians"). It was considered a common ritual of
peace (smoking a peace pipe). Medicine of the Early Modern
Times meant that tobacco smoke would have a clearing
effect on the air and would "clean" the air from unknown
disease agents and would eliminate contaminating diseases
of which the cause was unknown until this time (plague,
smallpox etc.).
Then industrialization came and invented the cigarette and
the smoker mass consumption. By the time medicine
discovered the true causes of the diseases and also
discovered the harmful effect of smoking. It cannot be
understood that the governments have not prohibited
smoking until now. Smokers who feel pursued can become
non-smokers at any time or can found smoking islands.
Until now non-smokers are the groups who have to found
non-smoker's islands.
-----
Basically: Smoking is poison - fresh air is a base
right

Glärnisch with fresh air (Switzerland)
|
|
<In December 1992 after a comprising and critical
valuation of all presented data the American Environmental
Protection Agency (EPA) listed passive smoking in the list
of the well-known human cancer-causing pollutants.>
(http://www.bund.net/lab/reddot2/pdf/pos_innenraum.pdf)
<In 1998 the Senate's Commission for examination of
harmful working elements [in Germany] has admitted passive
smoke in the pollutant class 1 and by this passive smoking
was classified "evidentially as cancer-causing for human
beings".>
(http://www.allum.de/index.php?mod=noxe&n_id=31)
In 1998 MAK Commission (Senate's Commission for
Examination of Harmful Working Elements)
[Senatskommission zur Prüfung
gesundheitsschädlicher Arbeitsstoffe der Deutschen
Forschungsgemeinschaft] classified the tobacco smoke at
one's place of work as a cancer-causing working element
with the highest
danger class. [MAK="maximal concentration at
the place of work (maximale Arbeitsplatzkonzentration)].
(Schutz vor Passivrauchen am Arbeitsplatz:
http://www.lfas.bayern.de/technischer_as/arbeitsstaetten_plaetze/arbeitsstaetten/nichtraucher/nichtrauch.htm)
"Justice has to consider breathing air like drinking
water."
(http://www.bund.net/lab/reddot2/pdf/pos_innenraum.pdf)
Tobacco propaganda is a propaganda for intoxication of the
population and must be prohibited. Smoking on official
localities must be prohibited [and there have to be found
healthy substitute actions].
(http://www.bund.net/lab/reddot2/pdf/pos_innenraum.pdf)
An absolute prohibition of smoking in Switzerland would
foster health regionwide and would be a multiple gain for
the country by saving costs for health, considering the
low costs for the retraining of employees in the tobacco
industry. There is no absolute right of smoking, and there
is no right of bodily injury of persons on the sidelines,
either.Smoke of cigarettes is that aggressive that only a
spacial separation of the smokers from the non-smokers can
safe health of non-smokers. According to the environmental
protection law smoking is allowed nowhere because human
beings are part of the environment.
(Helmut E. Lubbers an den Bundesrat und an
das Bundesamt für Gesundheit BAG [Helmut E. Lubbers to
the Federal Government and to the Federal Health Board
of Switzerland BAG]: 26.6.2004: http://www.ecoglobe.ch/tobacco/d/verordnung4626.htm)
-----
2. Second hand smoke / passive smoke: main
stream smoke - second hand smoke (side stream smoke)
The number of pollutants
in the second hand smoke / in the passive smoke
|
 |
|
|
An
arrogant smoker is blowing out, and the bodily
injury he is committing on himself and on
non-smoking persons is not important for
him...
|
It is estimated that tobacco smoke is composed by 3,500
different elements. Some elements like water vapor and
carbon dioxide are no problem, but others have a very
damaging effect on human organism.
(http://www.surfmed.at/?news/1a2941b25a9ad7a9728df8135da85b50)
<Until today there have been identified more than 3,800
singular components in tobacco smoke.>
(http://enius.de/schadstoffe/tabakrauch.html)
<In tobacco smoke there are in round terms 3,800
pollutants (for example plutonium and cadmium) fostering
many diseases, also cancer.>
(http://www.toppharm.ch/magazin/2128/2132/)
All in all there are 4000 pollutants, 40 of them are
cancer-causing.
(Passivrauch: Eigenschaften und Folgen;
http://www.proaere.ch/d/data/data_36.pdf)
All in all there are over 4800 elements, 70 of them are
cancer-causing.
(http://72.14.207.104/search?q=cache:yiB59mKiLp0J:www.kispisg.ch/downloads_news/20051114m4
1nrbxilvf7swkc+Rauchen++Tabakrauch+Schadstoffe+in+der+Luft&hl=de&gl=ch&ct=clnk&cd=5)
All in all tobacco smoke is composed of 4000 elements, 88%
gases, 12% finest particles, lighter than common dust.
(http://www.letitbe.ch/pdf/fuerdiemedien/Kind%20De.pdf)
The gases of the tobacco smoke provoke inflammations.
(Nichtraucherschutz ist Gesundheitsschutz:
http://www.who-nichtrauchertag.de/html/wnrt01_nichtraucherschutz.html)
Second hand smoke / passive smoke / second hand
smoke is composed by
breathed
smoke [main stream smoke] and
second hand smoke / side
stream smoke:
-- smoke which is breathed and exhaled by the smoking
persons [the
main stream
smoke]
-- smoke which is produced by burning the cigarette on the
top of the cigarette
(http://www.letitbe.ch/pdf/fuerdiemedien/Kind%20De.pdf)
the so called
second
hand smoke resp.
side stream smoke.
(http://www.surfmed.at/?news/1a2941b25a9ad7a9728df8135da85b50)
<Tobacco smoke is the most dangerous avoidable
pollutant in the interior of the house.>
(http://www.bea-lichtenberg.de/Info81.pdf)
Factor house building of
the "civilization" and smoker's smoke / second hand
smoke (side stream smoke)
The house building is sharpening the situation of
cigarette smoke - compared with the smoking ceremonies of
the First Nations (natives, "Indians") who lived in teepee
tents - or in the tropical zones - are living in light
wooden houses.
On an average the human beings of the domestic
"civilization" stay more than 80% of their time in closed
rooms. Human beings of today are confronted by higher
pollution than in times of huts and open-air cooking.
(http://www.bund.net/lab/reddot2/pdf/pos_innenraum.pdf)
Babies in house settlements of today stay more than 90% in
the flats. By this air quality in the rooms is extremely
important [as also the air at one's place of work is
decisive for health of working population].
(http://www.bea-lichtenberg.de/Info81.pdf)
Pollutants in the air of the rooms are mixed by smoke of
cigarettes, pollutants from furniture, floor covering,
colours, wallpapers and mildews.
(http://www.bea-lichtenberg.de/Info81.pdf)
Second hand smoke /
passive smoke is everywhere
As soon smoke is mixing with the air of the room, the
pollutants are scattered in the whole room.
(http://www.smokefreesystems.ch/o.o.i.s/943)
Only one hour of intensive smoking already is sufficient
to contaminate the air of an average room. Cancer-causing
pollutants and contention of carbon monoxide can get
easily much over the limit of tolerance, and the volume of
fine dust can be increased tenfold in this short time.
(http://www.surfmed.at/?news/1a2941b25a9ad7a9728df8135da85b50)
Candles aggravate the situation. The idea that a lighted
candle would "eat" the cigarette smoke, is wrong. The air
is moving by the lighted candle, but all in all the
concentration of dust can rise by the lighted candle yet.
(http://www.surfmed.at/?news/1a2941b25a9ad7a9728df8135da85b50)
Smoker's smoke with second hand smoke (passive smoke) is
coming through all door cracks and gaps, is rising house
walls and light wells, is penetrating ventilation tubes
and is coming into other rooms by this.
(http://www.letitbe.ch/pdf/fuerdiemedien/Kind%20De.pdf)
The more little the room is in which the smokers are
smoking - the more pollutants are breathed and are
admitted into the blood circulation. The more persons are
smoking in a household - the higher is the charge of
pollutants.
(http://www.letitbe.ch/pdf/fuerdiemedien/Kind%20De.pdf)
[The minutest room with the highest charge of pollutants
is smoking in a car].
The smell and the pollutants are setting down on the
walls, on the floors, in the curtains, in the clothes and
so on. When this happened it's impossible to recover a
healthy atmosphere. Most of the smoking rooms confirm this
and there is no doubt - ventilations against pollutants
have no effect.
(http://www.smokefreesystems.ch/o.o.i.s/943)
When smokers are smoking on a balcony there should not be
a children's room in the next floor over the balcony
because the smoker's smoke is driving into the children's
room by the window.
(http://www.letitbe.ch/pdf/fuerdiemedien/Kind%20De.pdf)
Tobacco smoke is a flat poison, also when tobacco smoke is
hardly listed in the lists of the flat poisons. One single
cigarette can charge 19,000 m
3
of air, this is a room that is like 19 comfortable one
family houses.
(Passivrauch: Eigenschaften und Folgen;
http://www.proaere.ch/d/data/data_36.pdf)
The smoke of one single cigarette in a room of 100 m
3
is irritating already the eyes, the nose, and the throat.
(http://www.letitbe.ch/pdf/fuerdiemedien/Kind%20De.pdf)
Smokers are intoxicating non-smokers until now absolutely
legally.
(Passivrauch: Eigenschaften und Folgen;
http://www.proaere.ch/d/data/data_36.pdf)
According to World Health Organization the reduction of
smoking is one of the most effective measures to evade
diseases.
(http://www.bund.net/lab/reddot2/pdf/pos_innenraum.pdf)
75% of the population of Switzerland are non-smokers -
they should not be forced to breath the smoke of the
others.
(http://www.letitbe.ch/pdf/fuerdiemedien/Kind%20De.pdf)
33% of the adults smokes: Every third adult of Switzerland
is smoking.
(http://www.toppharm.ch/magazin/2128/2132/)
25% of all 15 year old youths in Germany is smoking.
(http://www.lerntippsammlung.de/Das-Rauchen-_-6-.-Version.html)
In Germany about 400 non-smokers are dying of lung cancer
because of second hand smoke / passive smoke every year.
(http://www.bund.net/lab/reddot2/pdf/pos_innenraum.pdf;
http://www.who-nichtrauchertag.de/html/wnrt01_nichtraucherschutz.html)
According to conservative calculations [in Germany] "are
dying in round terms 3,300 non-smokers because of
different illnesses which are provoked by passive
smoking", and 2,293 of the victims are women, among others
because women non-smokers have to suffer more of men
smokers.
(Schutz vor Passivrauchen am Arbeitsplatz:
http://www.lfas.bayern.de/technischer_as/arbeitsstaetten_plaetze/arbeitsstaetten/nichtraucher/nichtrauch.htm)
| Table:
Mortality of passive smoking
in Germany |
Cause of death
|
women |
men |
all |
Lung cancer
|
212 |
51 |
263 |
| Coronary heart
disease (KHK) |
1423 |
725 |
2148 |
| Stroke |
585 |
189 |
774 |
| chronic
obstructive lung diseases (COPD) |
48 |
8 |
56 |
| Sudden infant
death syndrome (SIDS) |
25 |
35 |
60 |
| All |
2293 |
1008 |
3301 |
|
|
Source:
Passivrauchbedingte Mortalität in
Deutschland nach Todesursache
Bearbeitung:
Institut für Epidemiologie und Sozialmedizin
der Universität Münster, Hygiene-Institut
der Universität Heidelberg, 2005
|
(Schutz vor Passivrauchen am Arbeitsplatz:
http://www.lfas.bayern.de/technischer_as/arbeitsstaetten_plaetze/arbeitsstaetten/nichtraucher/nichtrauch.htm)
Worse air pollution: Smoke of cigarette of the naked
cigarette which is not "smoked"
The smoke of a cigarette, which is burning down on the top
without being smoked, is the worst smoke, so, this is the
second hand smoke
resp.
side stream smoke:
(http://www.surfmed.at/?news/1a2941b25a9ad7a9728df8135da85b50)
-- the tobacco is burnt only incompletely
-- many toxic substances are coming into the air.
(Passivrauch: Eigenschaften und Folgen;
http://www.proaere.ch/d/data/data_36.pdf)

|
|
|
Cigarette
propaganda - e.g., for Marlboro - is
propaganda for bodily injury!
|
|
Tobacco industry knows this since the 1960s but is doing
nothing:
<Second hand smoke (side stream smoke) which has to be
breathed by the non-smokers is four time as toxic as the
main stream smoke which is breathed by the smoker, because
second hand smoke is not burnt completely. Also this fact
was known by the industry by surveys from the 1960s, but
they suppressed the results.>
(Was Raucher süchtig macht:
http://www.wahrheitssuche.org/zigaretten.html)
The toxic substances from second hand smoke / side stream
smoke come into the air
unfiltered.
By this concentration of toxic substances in the second
hand smoke / side stream smoke is partly massively higher
than in the breathed smoke which is exhaled by the smoker.
(http://72.14.207.104/search?q=cache:yiB59mKiLp0J:www.kispisg.ch/downloads_news/20051114m4
1nrbxilvf7swkc+Rauchen++Tabakrauch+Schadstoffe+in+der+Luft&hl=de&gl=ch&ct=clnk&cd=5)
<About
three quarters
of a cigarette is burning within the second hand smoke by
glimming. The concentration of the toxic substances in the
second hand smoke of a cigarette are 30 to 100 fold higher
than in the main stream smoke. The components of the
passive smoke stay in the air of a room for a long time. 2
hours after the smoke the air of the room contains 50% of
the concentration of the nitric oxides.>
(Schutz vor Passivrauchen am Arbeitsplatz:
http://www.lfas.bayern.de/technischer_as/arbeitsstaetten_plaetze/arbeitsstaetten/nichtraucher/nichtrauch.htm)
The smoke which is produced at the top of the cigarette by
burning the cigarette down has a lower temperature and
another acidity than the smoke that the smoking person is
sucking by the filter into the lung.
(http://www.letitbe.ch/pdf/fuerdiemedien/Kind%20De.pdf)
The difference of temperature is provoked by the different
temperatures of burning in the blazing zone.
(http://www.allum.de/index.php?mod=noxe&n_id=31)
-----
3. Measurements
Methods of measurement of the pollution of the smoked
air / passive smoke: Cotinine
The charge by second hand smoke / passive smoke can be
measured precisely measuring cotinine - this is a
degradation product of nicotine.
(Passivrauch: Eigenschaften und Folgen;
http://www.proaere.ch/d/data/data_36.pdf)
Nicotine and it's metabolic product cotitine can be proved
in blood serum and in urine and can be measured
analytically, add to this nicotine can also be measured in
the hair. Half-life period of nicotine is 0.5 to 2 hours,
half-life period of cotitine is 19 to 40 hours. To prove
passive smoking the measurement of nicotine in the scalp
hair is the most practical test.
(http://www.allum.de/index.php?mod=noxe&n_id=31)
Measurements at the place of work: The right of a
smoke-free place of work is partially not implemented
-- situation in Germany: <In enterprises lead by
smokers there is missing an effective non-smoker's
protection twice as much than in enterprises lead by
non-smoking managers.>
(Nichtraucherschutz ist Gesundheitsschutz
(2001):
http://www.who-nichtrauchertag.de/html/wnrt01_nichtraucherschutz.html)
-- the right of a smoke-free place of work is not
implemented until now (2006) in Switzerland
-- in smoky offices or restaurants, where smoking is
permitted, the value for carbon monoxide is exceeded up to
five times the limit. One has to consider that the charge
of a non-smoking person during one hour in a heavily
smoked room corresponds to the consumption of 4 to 6
cigarettes.
(http://www.bund.net/lab/reddot2/pdf/pos_innenraum.pdf)
-- the cancer-causing effect of second hand smoke /
passive smoke comes after radon on second place, even
before asbestos, benzene, and diesel soot, etc.
(http://www.bund.net/lab/reddot2/pdf/pos_innenraum.pdf)
-- In 2001, Prof. Dr. Nikolaus Konietzko, Medical Director
of the Ruhr Clinic ["Ruhrlandklinik"] of Essen, and member
of the curatorium of the German Lung Foundation ["Deutsche
Lungenstiftung"] called for the acknowledgment of passive
smoking as a vocational disease.
(Nichtraucherschutz ist Gesundheitsschutz
(2001):
http://www.who-nichtrauchertag.de/html/wnrt01_nichtraucherschutz.html)
-----
4. Mode of action of the smoker's smoke / of
passive smoking all in all

Cigarette
with second hand smoke (side stream smoke):
burning at 600-900°C with high content of
pollutants
|
|
<In the daze of 600 to 900 degrees of a cigarette
[above all on the top of the cigarette] many basically
harmless substances are combining to new substances - as
in a chemical reactor - and these new substances can be
addictive and cancer-causing. Scientists have found 3,044
chemical substances in a cigarette. From these again were
built up to 4,800 chemical substances which are floating
in the cigarette fume.>
(Von Vanillin bis Harnstoff:
http://www.stern.de/wissenschaft/gesund_leben/aktuell/:Zigaretten-Zusatzstoffe-Glimmst%E4ngel-Lupe/540490.html)
Different toxic substances in the tobacco smoke provoke
blood coagulation and by this the coronary vessels and the
brain vessels are blocked.
(Passivrauch: Eigenschaften und Folgen;
http://www.proaere.ch/d/data/data_36.pdf)
(http://72.14.207.104/search?q=cache:yiB59mKiLp0J:www.kispisg.ch/downloads_news/20051114m4
1nrbxilvf7swkc+Rauchen++Tabakrauch+Schadstoffe+in+der+Luft&hl=de&gl=ch&ct=clnk&cd=5)
[Smoker's smoke charges the human beings according to the
size of the room and open-air according to the position
and the wind, if one is sitting in the trail of smoke of
the cigarette or not].
|
 |
|
|
Smokers
are culprits and victims in one, with enormous
bodily injury. When will pay the culprits, the
cigarette producers, for hiding 40 years the
results about the bodily injury? Where are the
judges? - Also the judges are smoking...
|
Bitumen in tobacco smoke paralyzes the function of the
cilia in the airways also of non-smokers. The cilia cannot
expel the breathed toxic substances any more. The toxic
particles stay in the airways and provoke inflammations of
mucosae in the airways, in the lung, and in the nose.
(http://72.14.207.104/search?q=cache:yiB59mKiLp0J:www.kispisg.ch/downloads_news/20051114m41
nrbxilvf7swkc+Rauchen++Tabakrauch+Schadstoffe+in+der+Luft&hl=de&gl=ch&ct=clnk&cd=5
1nrbxilvf7swkc+Rauchen++Tabakrauch+Schadstoffe+in+der+Luft&hl=de&gl=ch&ct=clnk&cd=5)
Tobacco industry tries to conceal the results of the
working effects of second hand smoke / passive smoke - by
payed surveys, or in connection with marketing boards.
(Passivrauch: Eigenschaften und Folgen;
http://www.proaere.ch/d/data/data_36.pdf)
Tobacco industry hid for decades the own surveys about
second hand smoke / passive smoke. Per day one human being
dies because of second hand smoke / passive smoke in
Switzerland.
(http://72.14.207.104/search?q=cache:yiB59mKiLp0J:www.kispisg.ch/downloads_news/20051114m4
1nrbxilvf7swkc+Rauchen++Tabakrauch+Schadstoffe+in+der+Luft&hl=de&gl=ch&ct=clnk&cd=5)
-----
5. Each toxic element in the second hand smoke /
in the smoke of cigarettes / in the passive smoke
[These indications have to be considered not only for
human beings - but also for the domestic animals in the
flat of smokers].
Second hand smoke / passive smoke contains cancer-causing,
irritating or allergenic particles.
Above all there are toxic substances
-- of PAK
-- nitrosamines
-- aromatic amines
-- some heterocyclical compounds (e.g., azaarenes).
(http://enius.de/schadstoffe/tabakrauch.html)
--
carbon monoxide
(also from stoves, from chimneys, and from ovens).
(http://www.bund.net/lab/reddot2/pdf/pos_innenraum.pdf)
Carbon monoxide is a respiratory poison, is three fold
contained in the second hand smoke / passive smoke as in
the smoke which is breathed and exhaled by the smoker;
carbon monoxide replaces the vital oxygen.
(Passivrauch: Eigenschaften und Folgen;
http://www.proaere.ch/d/data/data_36.pdf)
Carbon monoxide is coming by the airways and by the lungs
into the blood circulation. There it occupies the red
blood cells 200 fold easier than oxygen. The whole body
will suffer a lack of oxygen, with a loss of power as
consequence.
(http://www.letitbe.ch/pdf/fuerdiemedien/Kind%20De.pdf)
<Certain cells are reproducing themselves to make room
for more oxygen. This leads to a swelling of blood
vessels, because at the same time they adopt more
cholesterol, and this again leads to arteriosclerosis. At
the same time the smoker has a higher blood pressure, and
a block of vessels is possible. Important organs are not
supplied with blood any more. When vasoconstriction
affects the coronary arteries - which supplies the cardiac
muscle - then the person is in danger of a heart attack.
When the blood supply of the brain is affected, the person
is in danger of a apoplexy. When there is a constriction
in the legs there are heavy pains during marching, this is
the so called "smoker's leg".>
(http://www.toppharm.ch/magazin/2128/2132/)
<Limit value for the respiratory poison of carbon
monoxide is exceeded in smoked rooms (offices or
restaurants) up to the 5 fold.>
(http://www.bund.net/lab/reddot2/pdf/pos_innenraum.pdf)
A day without smoker's smoke / without passive smoke or
with smokers without smoke has the effect that the oxygen
values in the blood are normalizing again.
(http://www.letitbe.ch/pdf/fuerdiemedien/Kind%20De.pdf)
--
nitric oxides:
irritant gas (also from stoves, chimneys, or ovens)
(http://www.bund.net/lab/reddot2/pdf/pos_innenraum.pdf)
--
ammoniac:
irritant gas
--
free radicals:
are accelerating the aging process, are destroying vital
substances in the body
--
nicotine:
nervous system toxin
(Passivrauch: Eigenschaften und Folgen;
http://www.proaere.ch/d/data/data_36.pdf)
Three drops of nicotine are lethal.
(http://www.surfmed.at/?news/1a2941b25a9ad7a9728df8135da85b50)
Within 7 seconds breathed nicotine in cigarettes reaches
the brain by lungs and blood circulation. This psycho
active substance has an animating and relaxing effect.
Consumption makes addicted, and consumption has to be
enhanced every time for the wanted effect. Two days
without second hand smoke / passive smoke or two days
without smoke have the effect that the nicotine is ejected
of the body.
(http://www.letitbe.ch/pdf/fuerdiemedien/Kind%20De.pdf)
--
condensate
--
fugitive amines
(http://www.bund.net/lab/reddot2/pdf/pos_innenraum.pdf)
Cancer-causing substances in second hand smoke /
passive smoke
<40 to 50 compounds in smoker's smoke are classified as
cancer-causing.>
(http://enius.de/schadstoffe/tabakrauch.html)
--
nitrosamines:
cancer-causing, is 400 fold stronger concentrated in
second hand smoke / passive smoke than in the smoke which
is breathed and then exhaled by the smoker
--
fine dust in
second hand smoke / passive smoke: Fine dust is
penetrating the lungs deeply and is high-grade toxic. Amon
others the fine dust particles are taking radio active
gases of the radon family and heavy metals into the lungs.
(Passivrauch: Eigenschaften und Folgen;
http://www.proaere.ch/d/data/data_36.pdf)
Fine dust provokes asthma, lung cancer and other airway
diseases. Referring to fine dust second hand smoke /
passive smoke is worse than Diesel exhausts, even when the
engine is working in a closed room. Three cigarettes
produce more fine dust than half an hour Diesel exhausts
of a modern turbo Diesel car.
(http://www.drugcom.de/bot_archiv__sid-2004_idx-376.html)
--
polonium 210:
ratio active heavy metal, cancer-causing
--
dioxins:
cancer-causing, damaging the genotype and damaging embryos
--
dry condensate
bitumen: cancer-causing
(Passivrauch: Eigenschaften und Folgen;
http://www.proaere.ch/d/data/data_36.pdf)
Bitumen is a collection of gluey chemical substances.
Breathed bitumen fumes are deposing on the airways and in
the lungs. The cilia stick together. Germs are not
hindered by the stuck cilia any more and can find access
to the windpipe and to the lungs without hindrance.
(http://www.letitbe.ch/pdf/fuerdiemedien/Kind%20De.pdf)
<The bitumen particles in the airways can provoke a
change of the internal walls at the bifurcations of the
little airways (bronchia). The cell division is not
"controlled" any more. By this there can grow malignant
cancer tissue. The surface which is attacked can be
estimated when one knows that the flat lung tissue
of a human being is as big as a tennis court. Cancer
cells can reach the blood and can build metastasis - or
can attack other organs.>
[orig. German:
<Durch die in die Atemwege gelangten Teerpartikel
können sich bei den Verzweigungen der kleinen Luftwege
(Bronchien) die Innenwände verändern. Die Zellteilung
wird nicht mehr «kontrolliert». So kann bösartiges
Krebsgewebe entstehen. Wie gross die Angriffsfläche ist,
wird durch den Vergleich sichtbar, dass das
ausgebreitete Lungengewebe eines Menschen die Grösse
eines Tennisfeldes hat. Krebszellen können ins Blut
gelangen und Metastasen bilden oder andere Organe
angreifen.>]
(http://www.toppharm.ch/magazin/2128/2132/)
--
acrolein:
cancer-causing
--
formaldehyde:
cancer-causing; is 50 times more concentrated in the
second hand smoke / passive smoke than in the smoke which
is breathed and exhaled by the smoking person
--
aniline:
cancer-causing
--
cadmium:
cancer-causing, is 7 times more concentrated in the second
hand smoke / passive smoke than in the smoke which is
breathed and exhaled by the smoking person
(Passivrauch: Eigenschaften und Folgen;
http://www.proaere.ch/d/data/data_36.pdf)
--
plutonium
(http://www.toppharm.ch/magazin/2128/2132/)
Comparison main stream smoke - second hand smoke /
side stream smoke
Second hand smoke (side stream smoke) which damages
passive smokers very hard, contains essentially more PAK,
azaarenes and amines than the main stream smoke. Surveys
gave the results that the content of these compounds is 10
times as high.
(http://enius.de/schadstoffe/tabakrauch.html)
Table about the difference of the content of pollutants of
some important known pollutants in the main stream
smoke compared with the second hand smoke / side stream
smoke:
Table: pollutants
in main stream smoke and second hand smoke /
side stream smoke
|
Pollutant
|
main stream smoke
(microgram per cigarette)
|
second hand smoke / side stream smoke
|
(factor of surplus charge
compared with the main stream smoke) |
(microgram per cigarette) |
Carbon dioxide
|
30,000 -
40,000
|
8 - 11
times more
|
240,000
- 440,000
|
Carbon monoxide
|
10,000 -
23,000
|
3 - 5
times more |
30,000 -
115,000
|
Nicotine
|
1,000 -
2,500
|
3 times
more |
3,000 -
7,500
|
Hydrogen cyanide
|
400 -
500
|
factor
0,1 - 0,3
|
40 - 150
|
Phenol (cancer-causing)
|
60 - 140
|
2 - 3
times more |
120 -
420
|
Formaldehyde
(cancer-causing)
|
70 - 100
|
0,1 - 50
times more |
7 -
5,000
|
Benzene (cancer-causing)
|
12 - 48
|
5 - 10
times more |
60 - 480
|
Dust particles (containing
PAK, cancer-causing)
|
15,000 -
40,000
|
2 times
more |
30,000 -
80,000
|
|
http://www.allum.de/index.php?mod=noxe&n_id=31
|
By this tobacco smoke is pollutant of the interior of
houses no. 1. These pollutants can also be found in other
parts:
-- formaldehyde: also in chipboards
-- PAK: also in glue of parquet floors
-- benzene: on roads with much traffic
-- toluol: in the air of the interior of houses.
(http://www.allum.de/index.php?mod=noxe&n_id=31)
<The effect of some other pollutants is enforced by
tobacco smoke. Certain pollutants like asbestos or radon
have an "over additive" reaction - this means: the effect
of the compound is stronger than the sum of the several
singular effects.>
(http://www.allum.de/index.php?mod=noxe&n_id=31)
-----
6. The additives in the tobacco also are in the
second hand smoke / in the passive smoke
|
 |
|
|
Cigarettes
not only contain tobacco, but a lot of
additives which become highly toxic when the
cigarette is burnt. Then these toxic
substances also are in the smoke...
|
Additives are in the tobacco, in the cigarette paper, and
in the cigarette filters.
(Welt, 17.5.2005:
http://www.welt.de/data/2005/05/17/719362.html)
The additives become highly toxic by burning them
<According to indications of the Consumer Protection
Board ["Verbraucherschutzministerium"] scientists admit
that substances dangerous to health can be produced when
the additives are burnt during smoking.>
(Zusatzstoffe in Zigaretten:
http://www.stiftung-warentest.de/online/gesundheit_kosmetik/special/1132287/1132287/1262666.html)
<With the high temperature in the blaze zone of 600 to
900 degrees the additives convert into cancer-causing
substances.>
(Zusatzstoffe in Zigaretten verbieten?
http://forum.tagesspiegel.de/viewtopic.php?p=6398&sid=b19dde0a0beb0ae2f6d8e1e0f6a37f4b)
The additives in the tobacco also are in the second hand
smoke / passive smoke, with highly harmful effects.
(Passivrauch: Eigenschaften und Folgen;
http://www.proaere.ch/d/data/data_36.pdf)
The aim: more cancer - and there should be smoked
even more
<Tobacco industry is "fixing" the young smokers with
seducing aromas of the childhood, and then the dependence
of the common habit smoker is risen by chemical elements,
and by this the hunger of cigarettes is risen.>
(Zusatzstoffe bekannt machen:
http://www.manfred-zoellmer.de/service/news.php?id=194)
<Burning cigarettes produce cancer-causing substances
in the blaze zone, but above all they provoke more
absorption of nicotine, because the smoke is breathed
deeper and longer" [because the body is relaxed by
nicotine].
(Von Vanillin bis Harnstoff:
http://www.stern.de/wissenschaft/gesund_leben/aktuell/:Zigaretten-Zusatzstoffe-Glimmst%E4ngel-Lupe/540490.html)
All in all there are 600 additives [year 2005], "a highly
developed chemistry cocktail", in application formulas
perfectly developed for the drug nicotine. The aim of a
cigarette is to provoke the demand of more cigarettes. The
key of this pattern is nicotine which has an addicting
effect and is the machine which provokes the smoker to
smoke on and on - despite of all dangers.>
The additives are up to 10% of the weight of a cigarette.
(Von Vanillin bis Harnstoff:
http://www.stern.de/wissenschaft/gesund_leben/aktuell/:Zigaretten-Zusatzstoffe-Glimmst%E4ngel-Lupe/540490.html)
Only in 1994 the murder industry of the cigarette
producers were forced by law in Federal State of Minnesota
to hand out all suppressed scientific research results,
all secret strategy papers and marketing plans (with
children as especially important target group).
(http://www.library.ucsf/.edu/tobacco)
(Was Raucher süchtig macht:
http://www.wahrheitssuche.org/zigaretten.html)
The "additives" in detail
The lists at the Federal Board for Nutrition, Agriculture
and Protection of the Consumer (February 2006):
http://www.bmelv.de/cln_044/nn_760460/DE/02-Verbraucherschutz/__functions/DownloadsVerbraucherschutzTabakzusaetze.html__nnn=true
The cigarette producers have any liberty to charge the
cigarettes with additives. The aromatic compounds, fruits,
juices, oils, plant extracts, resins, powders, slimes,
dusts of metal oxides and many other additives have no
legal definition at all.
(http://idw-online.de/pages/de/news104800)
Additives for cigarettes ("substances besides tobacco")
are, e.g.,
-- 1,2 propylene glycol (
often)
-- compounds of aromas (
often)
-- cellulose fibers (
often)
-- fruits
-- syrups
-- sugar, invert sugar (often), different sugar
substances (often)
-- urea
-- ammoniac
-- menthol
-- ethanol (
often)
-- glycerine (
often)
-- guar gum (
often)
-- carob gum (
often)
-- cacao (often),
cacao
products (
often) (because
the elements of cacao make happy, so, also cigarettes
should make people happy; In: www.kartoffel-geschichte.de:
chapter: Gen Europa)
-- licorice extract (
often)
-- plum extract (
often)
, plum juice (
often)
-- nitrogen (
often)
-- water (
often)
-- sorbitol (
often)
<The aim of the additives is to reduce the burning,
to cover the strong smell of tobacco, to make easier the
absorption of nicotine etc.>
(http://www.rauchfrei.de/tabak-zusatzstoffe.htm)
Additives for cigarettes are, e.g.,
--
licorice
--
carob gum
-- cacao
-- menthol
-- glycerine
-- paraffins
(Zusatzstoffe in Zigaretten:
http://www.stiftung-warentest.de/online/gesundheit_kosmetik/special/1132287/1132287/1262666.html)
-- slimes
(http://www.tabakkontrolle.de/pdf/Pressemitteilung_Berlin_Maerz_2005.pdf)
-- spices
-- coffee
-- oils
-- waxes
-- fats
-- amino acids
-- gum of plants
-- amylum
-- powders
(Zusatzstoffe in Zigaretten verbieten?
http://forum.tagesspiegel.de/viewtopic.php?p=6398&sid=b19dde0a0beb0ae2f6d8e1e0f6a37f4b)
-- rum
--
licorice
-- wine acid
-- lactic acid
-- corn syrup
(http://www.n-tv.de/532123.html)
-- cinnamon alcohol
(N24: Zusatzstoffe in Zigaretten:
http://www.n24.de/politik/hintergrund/?n2005051814351600002)
-- arsenic
(Focus:
http://focus.msn.de/hps/fol/newsausgabe/newsausgabe.htm?id=21778)
-- soda
(Von Vanillin bis Harnstoff:
http://www.stern.de/wissenschaft/gesund_leben/aktuell/:Zigaretten-Zusatzstoffe-Glimmst%E4ngel-Lupe/540490.html)
-- resins
-- metal oxide powders
(http://www.praevention-online.de/pol/pol.nsf/abfab0db513a53e3c1256aa400397b1e/675bb79c6e657c3ac1256fcc004857cc?OpenDocument)
-- sodium benzoate
(Zusatzstoffe in Zigaretten:
http://onkeltank.de/weblog/2005/05/19/zusatzstoffe-in-zigaretten/)

Additives according to the tables of the Federal Board for
Alimentation, Agriculture and Protection of Consumer
["Bundesministerium für Ernährung, Landwirtschaft und
Verbraucherschutz"] (February 2006):
-- 1,2- propylene glycol
-- azote
-- benzyl alcohol
-- cacao products
-- calcium carbonate
-- caramel
-- carob gum, extract of carob gum
-- citric acid
-- glucose
-- guar gum
-- invert sugar
-- isopentane
-- L menthol
-- lactic acid
-- licorice, extract of licorice, licorice root, licorice
juice
-- lulose
-- malic acid
-- plum juice, plum extract
-- potassium sorbate
-- sodium benzoate
-- sodium carboxymethylcellulose
-- sugar substances
-- sugar, brown
-- sugar colour
(list of the additives in cigarettes (Germ.:
Liste der Zusatzstoffe in Zigaretten), p.53-100:
http://www.attac.de/moenchengladbach/Zusatzstoffe%20Zigaretten%20l-z.pdf)
-- ammonium hydrogen phosphate
-- aromas, natural and artificial
-- concentrate of fig juice, extract of fig juice
-- fruits: fresh fruits, dried fruits, fruit extracts
-- glyoxal
-- hydroxybenzoat
-- cacao butter
-- cacao powder
-- methyl cellulose
-- raisin extract, raisin juice
-- sorbic acid
-- citric acid
(list of the additives in tobacco products of 2004:
cigarettes A-K:
http://www.bmelv.de/cln_044/nn_754188/SharedDocs/downloads/02-Verbraucherschutz/Tabakzusatzstoffe/Zigaretten__AK,templateId=raw,property=publicationFile.pdf/Zigaretten_AK.pdf)
-- maple sugar
-- fig juice concentrate
-- glucose syrup
-- chocolate
(list of the
additives in tobacco products of 2004:
cigarettes L-Z:
http://www.bmelv.de/cln_044/nn_754188/SharedDocs/downloads/02-Verbraucherschutz/Tabakzusatzstoffe/Zigaretten__LZ,templateId=raw,property=publicationFile.pdf/Zigaretten_LZ.pdf)
-- malic acid
-- fire agent
-- rapid fire agent
-- humid agent
-- glyceryl triacetate
-- gum arabic
-- honey
-- hydroxybenzoat
-- preservatives
-- molasses
-- sodium citrate
-- water
(list of the additives in tobacco products 2004:
fine-cut:
http://www.bmelv.de/cln_044/nn_754188/SharedDocs/downloads/02-Verbraucherschutz/Tabakzusatzstoffe/Feinschnitt,templateId=raw,property=publicationFile.pdf/Feinschnitt.pdf)
-- maple extract
-- apple juice, apple concentrate, apple extract
-- benzoic acid
-- dextrin
-- potassium citrate
-- licorice powder
-- rohrenkassien extract
-- tamarind extract
-- sugars, diverse
(list of the additives in tobacco products
2004: pipe tobacco A-H (often over 15 additives):
http://www.bmelv.de/nn_754188/SharedDocs/downloads/02-Verbraucherschutz/Tabakzusatzstoffe/Pfeifentabak__AH,templateId=raw,property=publicationFile.pdf/Pfeifentabak_AH.pdf)
-- 4-(2,6,6 trimethyl cyclohex-1-enyl)but-2-en-4-on
-- 4-(p-hydroxyphenyl)2-butanone
-- 4-hydroxy-2,5-dimethyl-3(2H)-furanone
-- 5-hydroxyde can acid lacton
-- 6-methylcumarine
-- acetoine
-- apricot juice, apricot extract
-- styrax extract
-- benzoic acid benzyl ester
-- benzyl alcohol
-- benzaldehyd
-- fenugreek extract
-- butyric acid
-- delta octanolacton
-- acetic acid
-- eugenol
-- gamma heptalacton
-- gamma octanolacton
-- gamma undecalacton
-- glyceryl triacetate
-- guaiac gum extract
-- heliotropin
-- isoamyloctanoat
-- carob kernels extract
-- coffee, coffee extract
-- cacao powder
-- cassia oil, cassia bark extract
-- cilantro oil
-- methyl cyclopentenolon
-- sodium chloride
-- nonano-1,4-lacton
-- orange oils, orange extracts
-- balsam of Peru oil
-- phenylethylacetat
-- propion acid methyl ester
-- sherry
-- alcoholics
-- vanilla extract
-- wine
-- cinnamon oils, cinnamon extracts
(list of the additives in tobacco products
2004: pipe tobacco I-Li (often over 15 additives):
http://www.bmelv.de/cln_045/nn_754188/SharedDocs/downloads/02-Verbraucherschutz/Tabakzusatzstoffe/Pfeifentabak__ILi,templateId=raw,property=publicationFile.pdf/Pfeifentabak_ILi.pdf)
-- 3-hydroxy-2-methyl-4-pyranon
-- potassium benzoate
-- dissolvent
-- malt extract
-- red vine
-- spirituous beverages
(list of additives in tobacco products 2004:
pipe tobacco Lo-Z (often over 15 additives):
http://www.bmelv.de/cln_044/nn_760460/SharedDocs/downloads/02-Verbraucherschutz/Tabakzusatzstoffe/Pfeifentabak__LoZ.html__nnn=true)
-- apple pomace
-- syrup
-- sorbic acid
(list of the additives in tobacco products
2004: water pipe tobacco:
http://www.bmelv.de/cln_044/nn_754188/SharedDocs/downloads/02-Verbraucherschutz/
Tabakzusatzstoffe/WasserpfeifeKauSchnupftabak,templateId=raw,property=publicationFile.pdf/WasserpfeifeKauSchnupftabak.pdf)
-- gum base
-- corn syrup
(list of additives in tobacco products 2004:
chewing tobacco:
http://www.bmelv.de/cln_044/nn_754188/SharedDocs/downloads/02-Verbraucherschutz/
Tabakzusatzstoffe/WasserpfeifeKauSchnupftabak,templateId=raw,property=publicationFile.pdf/WasserpfeifeKauSchnupftabak.pdf)
-- pineapple extract
-- anise alcohol
-- ammoniumhydrogenphosphate
-- benzaldehyd
-- pear ether
-- Brazil Feinst
-- calcium hydroxide
-- cineole
-- iron-III-sulphate
-- staghorn salt
-- hydroxybenzoen acid
-- Manila Fruchtig
-- liquid paraffin
-- peppermint oil
-- Polar Prise
-- tobacco oil
-- tannin
-- white oil
(list of additives in tobacco products 2004:
snuff:
http://www.bmelv.de/cln_044/nn_754188/SharedDocs/downloads/02-Verbraucherschutz/
Tabakzusatzstoffe/WasserpfeifeKauSchnupftabak,templateId=raw,property=publicationFile.pdf/WasserpfeifeKauSchnupftabak.pdf)
-- 2,3-butanedione
-- acetoine
-- aluminium oxide
-- aluminium silicate
-- anise alcohol
-- formic acid
-- aromas, natural and artificial
-- Astragalus Gummifer
-- binding material
-- cognac
-- diatomite
-- ethylenvinylacetat co-polymer
-- ethylhydroxyethyl-cellulose
-- ethyl cellulose
-- humic acid
-- hydroxyethyl cellulose
-- isopropanol
-- potassium citrate
-- potassium nitrate
-- potassium sorbate
-- kieselgur
-- preservative
-- glue
-- magnesium acetate 4 hydrate
-- magnesium formate
-- magnesium oxide
-- methyl cellulose
-- myrrh extract, myrrh oils
-- sodium carboxymethyl cellulose
-- sodium glycolat
-- palmitic acid
-- polyvinyl acetate / vinyl alcohol copolymer
-- silica
-- cooking oils
-- tobacco: homogenized band tobacco
-- zamarind gum
-- titan dioxide
-- triethylen glycol
-- thinner
-- vine acid
-- whiting agent
-- sugar: corn syrup with much fructose
(list of the additives in tobacco products
2004: cigars and cigarillos A-D:
http://www.bmelv.de/cln_044/nn_754188/SharedDocs/downloads/02-Verbraucherschutz/Tabakzusatzstoffe/Zigarren__AD,templateId=raw,property=publicationFile.pdf/Zigarren_AD.pdf)
-- Diatomaceus earth
-- colorant
-- tobacco leaf
-- vine acid
(list of the
additives in tobacco products 2004: cigars and
cigarillos E-N:
http://www.bmelv.de/cln_044/nn_754188/SharedDocs/downloads/02-Verbraucherschutz/Tabakzusatzstoffe/Zigarren__EN,templateId=raw,property=publicationFile.pdf/Zigarren_EN.pdf)
The intention of the additives can be different:
-- the tobacco should be fresh longer
-- the body shall adapt nicotine better (e.g., ammoniac)
-- throat irritation shall be suppressed during smoking
(e.g. menthol)
-- strong tobacco smell shall be suppressed and children
and youths shall be seduced to smoke by spices, sweet
substances like cloves, vanillin, sugar, honey.
(additives in cigarettes:
http://www.stiftung-warentest.de/online/gesundheit_kosmetik/special/1132287/1132287/1262666.html)
-- cigarette smoke shall be more bright (by magnesium
oxide).
(Cacao, licorice & Co. [Germ.: Kakao,
Lakritze & Co.]:
http://www.cardiologe.de/index_extern.html?/patient/info/kurz_fuendig/rauchen_kakao.html)
<The producers of cigarettes (drug barons!) are adding
dangerous poisoning substances into the inedible cocktail
to addict the consumer as soon as possible.>
[orig. German:
<Die Zigarettenhersteller (Drogenbarone!) mischen
noch zusätzlich Giftstoffe in den ungeniessbaren
Cocktail um die Konsumenten frühzeitig süchtig zu
machen.>]
(http://www.ignoranz.ch/forum/4_297_0.html)
The survey of university hospital Charité of Berlin and of
university hospital of Bern explored 32 brands of
cigarettes of Swiss market from 2001 and 2003. The result
were 48 additives, mostly aromas like menthol. Some brands
of cigarettes also contained substances which were not
allowed.
(http://www.ignoranz.ch/forum/4_297_0.html)
By the additives, cigarette industry is making the
cigarette consumer furthermore addictive from consumption
of cigarettes. <Hundreds of additives are added to
facilitate the smokers the adaption of nicotine.>
(http://idw-online.de/pages/de/news104800)
<The formula of addiction to cigarettes is: Give
nicotine and manipulate the pH-value to a basic level, add
some additives and many flavorings, and by this it will
also be possible for children to take deep drags - with
the consequence of a deep penetration of all pollutants of
the cigarette smoke into the deeper airways.>
(http://idw-online.de/pages/de/news104800)
Additive menthol: shall
moderate the tickle of the throat
(http://www.n-tv.de/532123.html)
<By it's cooling and pain moderating effect the lungs
can tolerate the biting smoke better.>
Nowadays there is a difference between "menthol
cigarettes" and "normal" cigarettes without menthol.
<According to information of the Cancer Research Center
menthol has become a standard also in non-menthol
cigarettes."
(Von Vanillin bis Harnstoff:
http://www.stern.de/wissenschaft/gesund_leben/aktuell/:Zigaretten-Zusatzstoffe-Glimmst%E4ngel-Lupe/540490.html)
<Documents of tobacco industry - as the following -
seem to confirm: "Menthol in cigarettes is a local pain
killer and reduces the pain experience in the mouth."
(Brown & Williamson, 1972).>
(Süsswaren in Zigaretten:
http://www.daserste.de/wwiewissen/thema_dyn~id,t1zs23o9cfbsjuc0~cm.asp)
<[Menthol] gives the possibility for deeper breathing
of the smoke for children already.>
(N24: Zusatzstoffe in Zigaretten:
http://www.n24.de/politik/hintergrund/?n2005051814351600002)
<Menthol which is a composite of most classes of
cigarettes (often under the limit of awareness) brings a
special risk potential, because by it's calming down
effect it seduces the smoker to deeper and stronger drags.
This leads to a significant higher risk of a lung cancer
disease.>
[orig. German:
<Das in den meisten Zigarettenmarken enthaltene
Menthol (oft unterhalb der Wahrnehmungsschwelle) birgt
ein besonderes Gefahrenpotenzial, da es durch seine
beruhigende Wirkung den Raucher zu tieferen und
kräftigeren Lungenzügen verleitet. Das führt zu einer
deutlichen Erhöhung der Gefahr einer
Lungenkrebserkrankung.>]
(http://www.aktiv-rauchfrei.de/article.php?id=874)
Additive sugar and the
criminal caramelization
Sugar during burning sets free the cancer-causing
acrolein.
(Verbot aller Zusatzstoffe in Zigaretten:
http://openpr.de/news/48930.html)
<For covering the strong tobacco smell the producers
add sugar in big quantities. This sugar - together with
ammoniac - will caramelize and is producing a soft smell
by this. All these chemical changes lead to a breath of
more quantities of smoke and by this higher nicotine
quantities are consumed, but also the risk of health is
higher by the forced absorption of cancer-causing
substances and of substances changing the blood picture.
By this burning sugar in the cigarette produces a
substantial quantity of cancer-causing aldehyde. By this
manipulation a dangerous product [the cigarette] is turned
into a more dangerous one.>
[orig. German:
<Um den strengen Tabakgeschmack zu überdecken, setzen
die Hersteller ausserdem in grossem Umfang Zucker ein,
der zusammen mit Ammoniak karamellisiert wird und
dadurch einen weichen Geschmack erzeugt. Alle diese
chemischen Veränderungen führen zur Inhalation grösserer
Rauchmengen und damit höherer Nikotinmengen, aber auch
zu einer erhöhten Gesundheitsgefährdung durch die
verstärkte Aufnahme krebserregender und das Blutbild
verändernder Substanzen. So entsteht bei der Verbrennung
von Zucker in der Zigarette eine erhebliche Menge
krebserzeugender Aldehyde. Ein bereits gefährliches
Produkt wird durch diese Manipulationen noch
gefährlicher gemacht.>]
(http://idw-online.de/pages/de/news104800)
<Different kinds of sugar - in connection with ammoniac
- are covering the strong tobacco smell, and by this
smoking becomes more comfortable. By burning sugar there
are aldehydes produced. Some aldehydes are cancer-causing
and add to this destroy the mucosa which permits to enter
more harmful substances.>
[orig. German:
<Verschiedene Zucker überdecken in Verbindung mit
Ammoniak den strengen Tabakgeschmack, so dass das
Rauchen angenehmer wird. Bei der Verbrennung der Zucker
entstehen zudem Aldehyde. Einige Aldehyde sind Krebs
erregend und zerstören zudem die Schleimhaut, durch die
dann weitere schädliche Stoffe gelangen können.>]
(N24: Zusatzstoffe in Zigaretten:
http://www.n24.de/politik/hintergrund/?n2005051814351600002)
Additive cacao: for
making the biting tobacco smoke more tolerable
(Süsswaren in Zigaretten:
http://www.daserste.de/wwiewissen/thema_dyn~id,t1zs23o9cfbsjuc0~cm.asp)
Additive licorice: for making the biting tobacco
smoke more tolerable
(Süsswaren in Zigaretten:
http://www.daserste.de/wwiewissen/thema_dyn~id,t1zs23o9cfbsjuc0~cm.asp)
Additive honey: for making the biting tobacco
smoke more tolerable
(Süsswaren in Zigaretten:
http://www.daserste.de/wwiewissen/thema_dyn~id,t1zs23o9cfbsjuc0~cm.asp)
Additive cinnamon alcohol: is converting itself during
burning into cancer-causing substances
(N24: Zusatzstoffe in Zigaretten:
http://www.n24.de/politik/hintergrund/?n2005051814351600002)
Additive waxes: are converting themselves during
burning into cancer-causing substances
(N24: Zusatzstoffe in Zigaretten:
http://www.n24.de/politik/hintergrund/?n2005051814351600002)
Additive fats: are converting themselves during
burning into cancer-causing substances
(N24: Zusatzstoffe in Zigaretten:
http://www.n24.de/politik/hintergrund/?n2005051814351600002)
Additive aroma oils (e.g., vanillin):
for making the
biting tobacco smoke more tolerable
But burning oils can convert themselves into
cancer-causing substances.
(Süsswaren in Zigaretten:
http://www.daserste.de/wwiewissen/thema_dyn~id,t1zs23o9cfbsjuc0~cm.asp)
Additives ammonium compounds: ammoniac, soda, urea
Ammoniac for manipulation
of the pH-value
[The pH-value is important for the quantity of nicotine
which can be absorbed by a body].
Cigarette enterprises artificially rise the content of
ammoniac of the tobacco until up to the 10 fold. By this
the pH-value of the cigarette is risen, [and by this the
smoker will not have the feeling to get ill during
smoking].
(Was Raucher süchtig macht:
http://www.wahrheitssuche.org/zigaretten.html)
<A body can absorb more nicotine when the pH-value
stays high, and the industry artificially tries to
heighten the pH-value [of the smoker's body]."
[orig. German:
<Bewusst versucht die Industrie auch den für die
Bioverfügbarkeit des Nikotins massgeblichen pH-Wert des
Tabaks zu erhöhen.>
(Nikotinverstärker in Zigaretten:
http://www.naturkost.de/meldungen/2003/031211g1.htm)
Ammoniac provokes a
nicotine "flash"
<[Ammoniac] provokes that more addictive drugs than
normally can pass into the blood circulation. Ammoniac
makes nicotine more fat-soluble.By this nicotine can pass
better by the tissue layers of the body. Many experts
criticize that smokers become easier addictive by
this.>
[orig. German:
<[Ammoniak] sorgt dafür, dass mehr Suchtgift als
üblich noch schneller in den Blutkreislauf gelangt.
Ammoniak macht das Nikotin fettlöslicher. Es kann
dadurch besser durch die Gewebeschichten im Körper
gleiten. Viele Experten kritisieren, dass Raucher
deswegen leichter abhängig werden.>]
(N24: Zusatzstoffe in Zigaretten:
http://www.n24.de/politik/hintergrund/?n2005051814351600002)
Ammonium salts and urea
promote the generation of free nicotine
(BAG:
http://www.edi.admin.ch/dokumentation/00613/00614/index.html?print_style=yes&lang=de&msg-id=3094&PHPSESSID=9859495628
a0e1fc790f3f7526a0068e&PHPSESSID=9859495628a0e1fc790f3f7526a0068e)
<[The ammonium compounds] have an influence on the
content of nicotine and on the behaviour of nicotine in
the body. The common indication of quantity of nicotine
which is indicated today on all boxes of cigarettes is
only partly an indication about the danger of a cigarette.
Ammoniac and the other elements have the effect that also
the other hidden nicotine - which is hidden in chemical
compounds - can be absorbed by the body. This chemical
bounded nicotine is not measured by the measurement
standards and is not indicated in the content of nicotine.
And ammoniac fastens the absorption of nicotine in the
lung and fastens the flooding of the brain - by this the
drug of nicotine has a faster and longer effect.>
[orig. German:
<[Die Ammonium-Verbindungen] beeinflussen den
Nikotingehalt und das Verhalten des Nikotins im Körper.
Die gängige Angabe der Nikotinmenge, die sich heutzutage
auf allen Zigarettenpäckchen findet, sagt nur bedingt
etwas über die Gefährlichkeit der Zigarette aus.
Ammoniak und die anderen Stoffe bewirken, dass
zusätzlich zum frei im Tabak vorliegenden Nikotin auch
noch das in chemischen Komplexen gebundene, versteckte
Nikotin frei und vom Körper aufgenommen werden kann.
Dieses chemisch gebundene Nikotin wird von den
Messstandards nicht erfasst und fliesst somit auch nicht
in die Angabe des Nikotingehaltes mit ein. Und Ammoniak
beschleunigt die Aufnahme des Nikotins in der Lunge und
des Anflutens im Gehirn - die Droge Nikotin wirkt also
schneller und länger.>
By this: A cigarette with a high content of nicotine
without ammoniac is much less dangerous than a cigarette
with low content of nicotine but with high content of
ammoniac.
The cigarette industry always pretended to produce body
friendly cigarettes:
"So, the German Center for Cancer Research ["Deutsches
Krebsforschungszentrum"] indicated in a critical report
about the additives in tobacco products that the tobacco
industry has developed always finer techniques since the
1950s to answer the always growing consciousness of
harmful cigarettes. The quantity of free nicotine was
reduced and the cigarette was "defused" at a first glance.
But in reality there were added ammoniac, urea or soda,
and by this the addictive potency of the cigarette was
heightened. There was simply coming more and more nicotine
into the body.>
[orig. German:
<So berichtet das Deutsche Krebsforschungszentrum in
einer kritischen Bestandsaufnahme zu den Zusatzstoffen
in Tabakerzeugnissen, dass die Tabakindustrie seit den
50er-Jahren immer ausgefeiltere Techniken entwickelt
hat, um dem stetig wachsenden Bewusstsein der
Schädlichkeit von Zigaretten vermeintlich Rechnung zu
tragen. Zwar wurde die Menge des freien Nikotins in den
Zigaretten gesenkt und die Zigaretten auf den ersten
Blick "entschärft". In Wirklichkeit jedoch wurde durch
Beimischung von Stoffen wie Ammoniak, Harnstoff oder
Soda das Suchtpotenzial der Zigaretten erhöht. Im Körper
kam einfach immer mehr Nikotin an.>]
(Von Vanillin bis Harnstoff:
http://www.stern.de/wissenschaft/gesund_leben/aktuell/:Zigaretten-Zusatzstoffe-Glimmst%E4ngel-Lupe/540490.html)
Additive glycerine: is
turning into the cancer-causing cilia vermin acrolein
Burning glycerine there is produced acrolein which is
paralyzing the cilia of the bronchia.
(Was Raucher süchtig macht:
http://www.wahrheitssuche.org/zigaretten.html)
resp. acrolein is cancer-causing.
(Verbot aller Zusatzstoffe in Zigaretten:
http://openpr.de/news/48930.html)
Additive magnesium oxide:
for bleaching of the smoker's smoke / smoke of cigarette
<Magnesium oxide is used to change the smoke optically:
By this the smoke is brighter and by this is not so
visible, and this is calming down the passive smokers.>
[orig. German:
<Magnesiumoxid wird verwendet, um den Rauch optisch
zu verändern: Der Rauch ist heller und damit weniger
stark sichtbar, was dann wieder die passiven Raucher
beruhigt.>]
(Kakao, Lakritze & Co.:
http://www.cardiologe.de/index_extern.html?/patient/info/kurz_fuendig/rauchen_kakao.html)
-----
7. Diseases by smoker's smoke / passive smoking
|
 |
|
|
Certificate
of a non-smoking restaurant
|
Passive smoking is one of the most important causes of
death.
(Passivrauch: Eigenschaften und Folgen;
http://www.proaere.ch/d/data/data_36.pdf)
The best protection of humans from smoker's smoke /
passive smoking is a 0 tolerance against smokers. Smokers
have to smoke open-air.
(http://www.letitbe.ch/pdf/fuerdiemedien/Kind%20De.pdf)
--
affection of the
breathing organs: lung diseases, heart diseases
and bloodstream diseases, specifically: lung cancer,
angina pectoris.
(Passivrauch: Eigenschaften und Folgen;
http://www.proaere.ch/d/data/data_36.pdf)
-- pulmonary emphysema (water accumulation in the lung)
(http://www.allum.de/index.php?mod=noxe&n_id=31)
--
classes of cancer
by smoking and by smoker's smoke / by passive smoking:
lung cancer, larynx cancer, esophagus cancer, urinary
bladder cancer
(http://72.14.207.104/search?q=cache:yiB59mKiLp0J:www.kispisg.ch/downloads_news/20051114m4
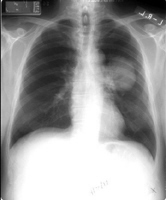
1nrbxilvf7swkc+Rauchen++Tabakrauch+Schadstoffe+in+der+Luft&hl=de&gl=ch&ct=clnk&cd=5)

x-ray photo showing lung cancer
|
|
--
damaging the arteries
(http://72.14.207.104/search?q=cache:yiB59mKiLp0J:www.kispisg.ch/downloads_news/20051114m4
1nrbxilvf7swkc+Rauchen++Tabakrauch+Schadstoffe+in+der+Luft&hl=de&gl=ch&ct=clnk&cd=5)
--
affection of the
airways by passive smoking:
asthma, bronchitis,
and
inflammation of the
deeper airways
(Passivrauch: Eigenschaften und Folgen;
http://www.proaere.ch/d/data/data_36.pdf)
--
huskiness
--
dizziness
--
weakening the
immune system
(http://www.bund.net/lab/reddot2/pdf/pos_innenraum.pdf)
--
airways, asthma
|
 |
|
|
Asthma
inhalator, eventually for life, also because
of passive smoking...
|
Mothers smoking during pregnancy or mothers exposed to
smoker's smoke / passive smoking during pregnancy, are
provoking a massively higher breath difficulty with her
child. <The number of cigarettes hardly plays any role
for the risk of asthma.>
(http://www.toppharm.ch/magazin/2128/2132/)
<Smoking is not the only cause for asthma, but it
damages the bronchia this heavily that a further charge -
like an infect, or an allergy - can lead to asthma>,
e.g., a combination with exhaust emissions of cars,
production plants, pollen, or animal hairs.
(http://www.toppharm.ch/magazin/2128/2132/)
<The risk for babies to breathe hard and to get an
asthma is significantly higher when the mother is smoking
or is exposed to smoke during pregnancy.>
(http://www.toppharm.ch/magazin/2128/2132/)
Asthma is reinforced by passive smoking. By this
asthmatics have more and stronger asthma attacks.
(http://www.letitbe.ch/pdf/fuerdiemedien/Kind%20De.pdf)
--
chronic headache
--
troubles with mucosae:
mucosae of eyes, mouth, and nose
--
affection of the
inner organs by agglutination of the blood:
heart attack and
stroke.
|
 |
|
|
"The
patient died of the consequences of a
heart attack" is one of the most often
phrases in clinical histories, also because of
passive smoking...
|
In many cases a short breath of smoker's smoke already can
provoke longer lasting troubles.
Ventilation cannot enough remedy passive smoking. Tobacco
smoke is this aggressive that it's not possible to provide
the wanted quantity of fresh air.
(Passivrauch: Eigenschaften und Folgen;
http://www.proaere.ch/d/data/data_36.pdf)
<New surveys prove that persons who had to work in
strongly smoked rooms for 10 to 15 years - compared with
persons who were not exposed to passive smoking - had a
doubled risk of lung cancer.>
[orig. German:
<Neue Untersuchungen belegen, dass Personen, die
10-15 Jahre in stark verrauchten Räumen arbeiten -
verglichen mit nicht bzw. kaum Passivrauch-exponierten
Arbeitnehmern - ein doppelt so hohes Lungenkrebsrisiko
haben.>
(Schutz
vor
Passivrauchen
am Arbeitsplatz:
http://www.lfas.bayern.de/technischer_as/arbeitsstaetten_plaetze/arbeitsstaetten/nichtraucher/nichtrauch.htm)
A person working as a waiter in smoked localities
has a greater risk to get the same illnesses as the
smokers. A 39 years old waiter working for 20 years in
smoked localities - who never smoked himself - has got a
smoker's lung with destroyed airways and destroyed
alveoles.
(http://72.14.207.104/search?q=cache:yiB59mKiLp0J:www.kispisg.ch/downloads_news/20051114m4
1nrbxilvf7swkc+Rauchen++Tabakrauch+Schadstoffe+in+der+Luft&hl=de&gl=ch&ct=clnk&cd=5)
-- climacteric period is
coming sooner: Smoking and passive smoking
not only has the effect that the skin looks older than
normally, but also the climacteric period is coming
sooner than genetically provided.
from:
Patricia Garfield: "Women's Bodies, Women's Dreams"
1988; Scherz Edition 1989, p.232
-- boosting
osteoporosis
and by this boosting the risk for bone fractures with men
of more than 18 years, with women in the high age
(from: Rauchen erhöht Osteoporose-Risiko
[Smoking rises osteoporosis risk]; ARD text, 7 June
2006, table 521)
Diseases on the fetus by smoker's smoke / passive
smoke
When fathers- and mothers-to-be resp. when pregnant women
are smoking, the foetus is also smoking. The foetus is
suffering lack of oxygen because of the carbon monoxide
and nicotine intoxication [because the red blood cells are
compounding with carbon monoxide and cannot transport
oxygen normally].
(http://www.bund.net/lab/reddot2/pdf/pos_innenraum.pdf)
The same effect is provoked by everlasting passive smoking
during pregnancy.
(http://www.allum.de/index.php?mod=noxe&n_id=31)
|
 |
|
|
Additive
coaching (Germ.: Stützkurs) because of
learning disorder, among others also because
of passive smoking in the family...
|
Consequences:
-- sudden infant death syndrome is doubled
(Passivrauch: Eigenschaften und Folgen;
http://www.proaere.ch/d/data/data_36.pdf)
-- sudden infant death syndrome is tripled
(http://www.bea-lichtenberg.de/Info81.pdf)
-- sudden infant death syndrome is doubled or tripled
(http://www.allum.de/index.php?mod=noxe&n_id=31)
-- the rate of deformity is higher
(http://www.bund.net/lab/reddot2/pdf/pos_innenraum.pdf)
-- the corporal and mental development of the child is
retarded and by this the base is laid for heavy diseases
(Passivrauch: Eigenschaften und Folgen;
http://www.proaere.ch/d/data/data_36.pdf)

Premature
birth or even abortive birth: This play with
life, also by passive smoking...
|
|
-- <children from women smokers (from 5 cigarettes per
day on) are often retarded in their bodily and mental
development. This is expressed also in difficulties with
language disorder and reading disorder.>
[orig. German:
<Kinder von Raucherinnen (ab 5 Zigaretten / Tag)
bleiben häufig in ihrem Wachstum und in der geistigen
Entwicklung zurück, was sich in Sprach- und Lesestörungen
äussert.>]
(http://www.bund.net/lab/reddot2/pdf/pos_innenraum.pdf)
-- there are many more abortive births and premature
births
(http://72.14.207.104/search?q=cache:yiB59mKiLp0J:www.kispisg.ch/downloads_news/20051114m4
1nrbxilvf7swkc+Rauchen++Tabakrauch+Schadstoffe+in+der+Luft&hl=de&gl=ch&ct=clnk&cd=5)
-- the baby suffers reduced birth weight
(http://www.bea-lichtenberg.de/Info81.pdf)
up to 10% of the normal weight
(http://www.bund.net/lab/reddot2/pdf/pos_innenraum.pdf)
-- the children suffer more attention deficit disorder and
hyper activity
(http://www.bea-lichtenberg.de/Info81.pdf)
Illnesses of the child
and the youth by smoker's smoke / passive smoke
50%: <Every second child in Germany is living in a
smoker's household and is forced to passive smoking.>
(http://www.bea-lichtenberg.de/Info81.pdf)
<Already a cigarette on the table and cigarette end are
a danger for the baby.>
(http://www.allum.de/index.php?mod=noxe&n_id=31)
The younger the child the more the child is much time at
home and is exposed to smoker's smoke / passive smoke.
More than half of the children in Switzerland are exposed
to tobacco smoke at home. In the 1990s 54% of the children
between 6 and 14 years were affected with passive smoking
by the parents.
(http://www.letitbe.ch/pdf/fuerdiemedien/Kind%20De.pdf)
|

Proportionally children absorb more pollutants
than adults.
|
Children admit proportionally more pollutants than adults.
(http://www.bea-lichtenberg.de/Info81.pdf)
The reasons:
-- the immune system of children is not formed completely
-- the gastro-intestinal system of children is more
permeable than the system of adults
-- the breathing volume and the surface of body of
the children - in relation to the weight - are greater
than with adults
-- the barrier function of the skin is not completed with
children [the skin of children is thinner than the skin of
adults].
By this, contact to environment by the lungs and by the
skin are more intensive than with adults.
(http://www.bea-lichtenberg.de/Info81.pdf)
Medical conditions of children in Germany has become worse
and has not enhanced, above all referring to allergies and
asthma.
(http://www.bea-lichtenberg.de/Info81.pdf)
Children and youths have organs which are not completely
developed. That's why smoker's smoke is damaging children
and youths even more than adults.
(http://www.letitbe.ch/pdf/fuerdiemedien/Kind%20De.pdf)
By their active metabolism children and youths adapt more
pollutants by air than adults. Children and youths react
by their active metabolism more sensitively to pollutants
by air than adults.
(Passivrauch: Eigenschaften und Folgen;
http://www.proaere.ch/d/data/data_36.pdf)
-- when parents smoke beside a baby
sudden infant death syndrome
is doubled
-- the child is suffering more affection of
bronchitides and
inflammations of the upper
airways
(http://72.14.207.104/search?q=cache:yiB59mKiLp0J:www.kispisg.ch/downloads_news/20051114m4
1nrbxilvf7swkc+Rauchen++Tabakrauch+Schadstoffe+in+der+Luft&hl=de&gl=ch&ct=clnk&cd=5)
-- children of smoking parents have a
reduced function of their
lungs, and this will also be like this when they
become adults
-- babies suffering often smoking parents are often
suffering
airways
diseases, bronchitis, pneumonia, cough, sputum
and
ear diseases
(http://72.14.207.104/search?q=cache:yiB59mKiLp0J:www.kispisg.ch/downloads_news/20051114m4
1nrbxilvf7swkc+Rauchen++Tabakrauch+Schadstoffe+in+der+Luft&hl=de&gl=ch&ct=clnk&cd=5)
--
chronic ear infection
with babies
(http://www.bund.net/lab/reddot2/pdf/pos_innenraum.pdf)
-- significantly higher rate of
tympanum diseases
(http://www.allum.de/index.php?mod=noxe&n_id=31)
-- when father or mother daily smoke 20 to 30 cigarettes
each in the flat, the child of 6 years can suffer for
example chesty cough, pains of ears, often
bronchitides, chronic
inflammation of paranasal and
chronic inflammation of
tympanum.
(http://72.14.207.104/search?q=cache:yiB59mKiLp0J:www.kispisg.ch/downloads_news/20051114m4
1nrbxilvf7swkc+Rauchen++Tabakrauch+Schadstoffe+in+der+Luft&hl=de&gl=ch&ct=clnk&cd=5)
Children in households with smoker's smoke resp. passive
smoke directly suffer
-- irritation of conjunctiva
-- headaches
-- sore throat or
-- sickness.
Children in households with smoker's smoke resp. passive
smoke are more vulnerable for
-- airway diseases
-- chronic middle air inflammation
-- bronchial asthma and
-- allergen skin diseases.
-- 50 to 70% higher risk for troubles with the lower
airways or asthma.
(http://www.allum.de/index.php?mod=noxe&n_id=31)
Cancer diseases
are favoured very much with children from smoker's
parents.
(http://www.bea-lichtenberg.de/Info81.pdf)
-- youths from smoker's households suffer more often arteriosclerotic changes of
vessels
-- more often leukemia
with children and youths from smoker's households
(http://www.bund.net/lab/reddot2/pdf/pos_innenraum.pdf)
<Smoking
parents lay the base for a later cancer disease of
their children. Passive smoking in young years is
rising the risk for cancer, above all for nose cancer,
according to a survey of the German Cancer Research
Center.>
Furthermore children of smoking mothers are specially
endangered to get cancer
of urinary bladder or kidney cancer
because of the tobacco degradation products to which
they were exposed in the womb. According to the
cognitions of scientists these higher risks develop
independently from hereditary factors and from
nicotine consumption.>
(from:
ARD-Text, 16 October 2005, table 129)
Children of smokers often become smokers by habit
When the parents smoke, children and youths see smoking
parents as something of "everyday", and this prepares the
children and youths to become also victim of tobacco
propaganda.
(Passivrauch: Eigenschaften und Folgen;
http://www.proaere.ch/d/data/data_36.pdf)
57% of non-smokers of 13 to 19 years come from non-smoking
families or from families where the parents have stopped
smoking, only 43% of non-smokers of 13 to 19 years come
from smoker's families.
61% of 13 to 19 years old smokers come from smoker's
families, only 39% from non-smoker's families.
(Hans Krebs: Motivstudie Rauchen; Link 1997;
http://www.letitbe.ch/pdf/fuerdiemedien/Kind%20De.pdf)
Lost workdays by smoker's diseases
-- the losses in economy by smoker's diseases and by
diseases of smoker's smoke / passive smoke are enormous
(Passivrauch: Eigenschaften und Folgen;
http://www.proaere.ch/d/data/data_36.pdf)
-- restaurants being smoker's restaurants until now are
renounce automatically to many non-smokers as their
clients
(Passivrauch: Eigenschaften und Folgen;
http://www.proaere.ch/d/data/data_36.pdf)
-- researchers are warning: <When the smokers would
smoke more and more outdoors, so also health risk would
rise also there.>
(http://www.drugcom.de/bot_archiv__sid-2004_idx-376.html)
Individuality by smoker's smoke / passive smoke
<According to indications of WHO partnership project
Tobacco addiction about 25 to 35% of the disablement of
work is staying in connection with tobacco
consumption.>
(Schutz vor Passivrauchen am Arbeitsplatz:
http://www.lfas.bayern.de/technischer_as/arbeitsstaetten_plaetze/arbeitsstaetten/nichtraucher/nichtrauch.htm)
Table: Effects of
smoking habits to the working atmosphere
|
Disfavor for the employees
|
- worse
working atmosphere - tensions between
smokers and non-smokers
- sinking
working motivation
- health
damages by exposure over years
- endangering
of the working place by often diseases
- abortively
retirement from work by disease
|
Disfavor for the enterprise
|
- sinking
production (loss of time by cigarette
break, lack of motivation, ...)
- higher costs
of personal (more missing days, higher
fluctuation)
- higher sick
leave: on the average smokers are 30 to
40% more ill than non-smokers
- less
motivation by disturbing the "business
climate"
- higher costs
for cleaning
- higher risk of fire damage
etc.
|
(Schutz
vor Passivrauchen am Arbeitsplatz
["Protection from passive smoking on the
working station"]:
http://www.lfas.bayern.de/technischer_as/arbeitsstaetten_plaetze/arbeitsstaetten/nichtraucher/nichtrauch.htm)
|
-----
8. Three joints are that harmful
like a box of cigarettes
from: gmx: Medizin, 28
March 2006;
http://www.gmx.net/de/themen/gesundheit/medizin/forschung/2116438,cc=000000185900021164381sevNY.html;
translation by
Michael Palomino
<According to a new survey smoke from
cannabis contains up to the sevenfold of bitumen and
carbon monoxide than tobacco smoke.
This reports the French consumer review "60 millions de
consommateurs" ["60 million of consumers", in whole
France]. The review concludes: "Smoking three joints
daily - which is more and more the case - is bringing
the same risk of cancer and heart and lung diseases as
smoking of a box of cigarettes." According to the survey
cannabis "is the most consumed prohibited drug in
France".
For the test the magazine provided resin and leaves of
cannabis plants - given by the French inter board
workgroup against drugs and addiction. From the raw
materials the experts turned 280 joints. A smoking
machine was smoking and measuring the pollutants - as
also cigarettes are tested.
Also when the joint consisted only of pure "grass"
without addition of tobacco the smoke of a joint
contained more bitumen and carbon monoxide than the
common "red" Marlboro cigarette. And also with filters
the pollutant's level was higher than with the normal
cigarette.>
9. Passive smoker's risk for heart diseases and
lung cancer is 30% higher
from: Studie warnt vor Passivrauchen ["Survey warning from
passive smoking"]; ARD text, 27 June 2006, table 521;
translation by Michael
Palomino
<A new survey warns from the dangers of passive
smoking. According to the survey passive smokers have a
30% higher risk of heart diseases and lung cancer. This is
indicated by the report of the head of the United States
Public Health Service. According to that almost half of
all non-smokers in "USA" are regularly exposed to tobacco
smoke. This smoke contains more than 50 substances which
can cause cancer. Considering this result a prohibition of
smoking in the interior of houses is the only way to
protect the non-smokers, mean the experts.>
Sunday, 8 October 2006
10. <Ban of smoking for parents - passive
smoking children>
from: n-tv online; 8 October 2006;
http://www.n-tv.de/719021.html;
translation by Michael Palomino
<In a discussion about prohibition of smoking the call
for a better protection of children from tobacco smoke of
their parents is always more uttered. The SPD health
expert Karl Lauterbach said to "Sunday Bild" that children
earn a special protection: "Parents smoking in their cars
or in closed interior rooms with their children should be
forbidden." Lauterbach complemented: "Children forced to
passive smoking have more diseases of allergies ans asthma
and later they often also are addicted."
Also the drug delegated of the Federal Government, Sabine
Bätzing (SPD), said to "Sunday Bild" that she favors a
prohibition of smoking in cars to protect children, and
she wants to examine a law. Karl-Heinz Florenz (CDU), the
board chairman of the committee for public health in
European's parliament, had the same meaning: "The
concentrations of pollutants in a car in which is smoked
are about 30 fold higher than the limit of fine dust
which is discussion at the moment in Brussels."
Doctors support the project having read the report. Eckart
Laack, assistant medical doctor and tumor specialist at
university hospital Hamburg-Eppendorf, said: "60 babies
die every year in Germany by passive smoking, all in all
every year some 3,300 non-smokers die with diseases by
passive smoking."
In the meantime French government is preparing a strict
prohibition of smoking after the model of other European
countries on all public places. "We plan a total
prohibition without any exception", health minister Xavier
Bertrand said to "Sunday Journal". The prohibition should
be enforced at the beginning of 2007. One year is given to
bars selling cigarettes, and to hotels, restaurants,
discos and casinos. According to polls 70 to 80 percent of
the Frenchmen favor such a prohibition of smoking.>
-----
<Passive
smoking for children is pollutant no. 1>
from: 20 minuten online, 31 January 2008;
http://www.20min.ch/news/schweiz/story/25463258;
translation by
Michael Palomino
<Almost half of Swiss school children have to breath
regularly nicotine polluted air. Above all children of
lower social classes are affected.
Cancer League of Switzerland is joining the international
campaign against passive smoking. Especially wants to
fight for protection of children of passive smoking,
Cancer League reported on Thursday. For children in
Switzerland tobacco smoke is pollutant no. 1. Almost half
of all school children - above all from lower social
classes, are regularly exposed to cigarette smoke,
justified Cancer League. Smoking parents are offered by
Cancer Leage a so called stop smoking hotline (0848 000
181) on telephone giving help for stopping smoking. The
international campaign against passive smoking is launched
on coming Monday, the world cancer day. Source: AP>
-----
<Cardiovascular diseases: Children of smokers
have a higher risk>
from: Spiegel ["Mirror"] online; 29 June 2009;
http://www.spiegel.de/wissenschaft/mensch/0,1518,633203,00.html;
translation by Michael Palomino
<To open the window, to fawn the smoke away? This does
not help. When parents are smoking more than ten
cigarettes per day, their children have a higher risk for
cardiovascular diseases. This was reported by researchers
from Ulm [Germany]. At the worst this could lead to a
heart attack later.
Ulm - Passive smoking risens the risk with children for
later cardiovascular diseases. Scientists of Ulm
university [Germany] and of Federal Health Board of
Baden-Wuerttemberg of Stuttgart [Germany] found out that
children who were exposed to cigarette smoke have
significant chemical changes in their blood. There was
known that adults had changed parameters of inflamation
and metabolism by smoking and passive smoking and this
would promote arteriosclerosis. But there was no research
about children until now. This changed: For their survey
the scientists analyzed blood levels of 383 youngsters of
fourth primary school degree,
as
the
journal "European Heart Journal" reported. Add to
this the parents of the children were asked by a form,
among others about their cigarette consumption. When the
researchers linked the results of both surveys a
significant result came out: Parents with a cigarette
cunsumption of more than ten cigarettes per day provoked
several higher levels of inflamation markers in the blood
of their children. And certain levels of metabolism
markers showing functioning metabolism procedures were
lower. "This accumulation of negative changes risens the
risk of the children to get an early arteriosclerosis",
director of studies Wolfgang Koenig ["King"], boss of the
workgroup for preventive cardiology at Ulm university
[Germany], said. With this there are sediments at the
bloodvessel walls which under certain circumstances can be
pulles down or pulled off and at the worst can provoke a
heart attack.
Now the researchers want to perform a long term study with
the long term development of the inflamation reaction. "In
childhood is laid a lot of the basics for later health.
That's why we have to know more about such conditions like
passive smoking which is occurring often in life", Koenig
["King"] said.
hei/AFP/AP>
11. Passive smoking doubles the risk for breast
cancer of women
from: BLICK online: Passivrauchen verdoppelt Krebsrisiko
[passive smoking doubles cancer risk]; 25.10.2006;
http://www.blick.ch/news/ausland/artikel47742;
translation by Michael
Palomino
<Sinking tolerance to public smoking is more and
more reinforced: A German survey proves now how damaging
is passive smoking above all for women under 50 years.
Regular passive smoking is more damaging as already have
been known. A scientific survey shows now that passive
smoking doubles the risk of breast cancer of women under
50 years!
This outstanding result was shown by an analysis of 26
scientific studies. This was reported by German Cancer
Help in Bonn today.
In Switzerland every year 5,300 women get breast cancer.
This means: Every day 14 women get the frightening
diagnosis, every year 1,350 women are dying of breast
cancer. And: The risk to get it is even higher over the
age of 50! But the analysis of the 26 German studies
also shows that women passive smoking before the
climacteric period get the dramatical higher breast
cancer risk.
"As long as there is no prohibition of smoking in public
places in Germany above all the young women working in
gastronomy have a much higher breast cancer risk",
Dagmar Schipanski, the women president of the German
Cancer Help, warned.
Also experts of Switzerland were disturbed by these
results. "Smoking rises the rate of breast cancer,
passive smoking also for sure. But the percentage is
this high that it's alarming", Barbara Iseli of Swiss
Cancer League said to Blick Online.
As here in the country also in Germany are more and more
voices for an all in all prohibition of smoking in
public places, also in gastronomy. In the face of such
figures and risks also the rows of the enemies of a
prohibition of smoking would come down more and
more.>

12. Animals are also smoking: cancer with
domestic animals by passive smoking
from: Auch Katzen kriegen
Raucherlungen [Also cats get smoker's lungs]; gmx news,
http://portal.gmx.net/de/themen/wissen/tiere/haustiere/4529870-Auch-Katzen-kriegen-
Raucherlungen,cc=000007091900045298701JreI6.html;
translation by
Michael Palomino
<Berlin (dpa/tmn) - Also when smokers
say that health is not important they should resign to
nicotine to protect their cat, animal rights activists
said. It's proved that passive smoking can provoke
cancer at the animals, Action Animal in Berlin reported.
The four-legged friends are more in danger than other
domestic animals. So, cats in smoker's households have a
doubled cancer rate than the cats in non-smoking
households. When two persons are smoking in the
household, the risk will be fourfold, was said in
reference to US American studies.
Autopsy of cats from smoker's households have
significantly more black layers in their lungs. It's
presumed that cats get more ill than other animals
because they adapt the pollutants not only by their
lungs but also by their gastro-intestinal system by
their intensive fur tending.>
-----

13.
<Waiter passive smoking up to 2 boxes of cigarettes
per day>
from: 20 minutes online, 13 February 2008;
http://www.20min.ch/news/schweiz/story/31304807;
translation Michael Palomino
<Service staff always is exposed to passive smoke. Now
a survey searched about the cigarette smoke which is
breathed without intention.
Service staff in restaurants, bars or discos is suffering
by the smoking guests. Daily they breathe a quantity which
corresponds to 15 to 38 cigarettes. This is the result of
a survey presented on Wednesday in the Valais canton
center for tobacco prevention (CIPRET).
The survey which was performed in Valais last year is one
of the first ones concerning with passive smoke charges.
The results were presented last May already.
For the survey there were distributed 1,500 badges with
nicotine measuring instruments to the public in the
beginning of 2007. 630 of them were handed back for
analysis of CIPRET as was reported in Swiss Medical Review
on Wednesday.
Almost all badge bearer
were affected
Almost all of the badge bearers between three months up to
82 years were exposed to passive smoking. The most exposed
were the service staff who were breathing the quantity of
smoke which corresponds to the consumption of 15 to 38
cigarettes every day - depending from the working
location.
Only 5.7% of the experimentees had a low exposure to
passive smoke (corresponding to a consumption of less than
0.2 cigarettes per day). All other persons within the
survey were affected more or less. The dose was 1 or 2
equivalents up to more 10 equivalents daily.
Argument for prohibition
of smoking
298 women and 299 men sent back their badge to CIPRET.
Another 26 measuring devices were installed permanently in
rooms or offices.
The survey of the Romand institute for working safety in
Lausanne wants to quantify the exposure to passive smoke,
having arguments for the realization of a prohibition of
smoking, the researchers write.
Petition launched
CIPRET had launched a petition for a prohibition of
smoking in public places. A whole-sale solution for whole
Switzerland can need a long time because this needs a new
national law, were the arguments of the organization.
With this petition CIPRET is backed in the Valais canton's
parliament. In the Great Council were made some petitions
also claiming for a prohibition of smoking in public
sphere.
Source: SDA/ATS>
-----
14. Foetus
is smoking during passive smoking - sudden infant
death syndrome more often
from: n-tv online: Verqualmte
Schwangerschaft. Plötzlicher
Kindstod häufiger [Smoked pregnancy. Sudden infant death
syndrome more often]; 15
February 2008;
http://www.n-tv.de/919861.html?150220081722; translation
Michael Palomino
<According to a survey babies are
dying more often because of sudden infant death when
mothers are exposed regularly to cigarette smoke during
their pregnancy. Not only active smoking, but also
passive smoking can rise the risk for the baby.
"Even a little charge of nicotine to the growing foetus
in the uterus can have the effect that the reaction to
lack of oxigen is affected significantly", Prof. Harald
Morr from German Lung Foundation in Hannover indicated
according to a new survey of Canadian researchers.
According to these indications nicotine hampers special
cells in the body which can detect lack of oxigen and
should react to it. For example, when a baby's position
is on it's stomach and with the face on the cushion, the
cells would indicate at once the degraded oxygen supply.
The baby's reaction is a turn of it's head to the side.
The experts warns that this live saving alarming system
is reduced significantly.
The protecting mechanism is provoked by certain body's
own hormones. Only in the last months of the live the
baby's body begins to produce these hormones. By
nicotine the this ripening process is hampered. "For
this it's not necessary that the mother would have
smoked herself - passive smoking is already enough",
Morr says. By this in the transition period - until the
hormones are built and the alarm system would function -
the babies are specially endangered to die on sudden
infant death syndrome.>
-----

15. Computers
from smokers not repaired because of passive smoking
effects
from: n-tv online: Technique: No guaranty for Macs filled
with smoke. (orig.: Technik: Keine Garantie für verqualmte
Macs. Apple schockt Raucher
http://www.n-tv.de/technik/Apple-schockt-Raucher-article606549.html
<Smokers have hard life in USA. Now Apple resigns to
guarantees of computer repair because computers having
been in smoker's smoke could endanger service technitians.
Consumerist reports about three users claiming.
All three had problems with their good computers and
wanted a repair within guarantee deadline. But Apple
resigned work of service staff with their computers
because their computers are "contaminated" by cigarette
smoke. "Second hand smoke" is a not acceptable health
risk, was indicated.
The clients indicated that this was not indicated in the
purchase treaty that smokers would loose their guarantee.
But Apple indicated that all three clients had a dear
guarantee "AppleCare". Also Consumerist could not provoke
any response from the computer manufacturer.
kwe>
(orig. German:
Raucher haben's in den USA nicht leicht. Jetzt müssen
sie auch noch damit leben, dass Apple ihnen
Garantieleistungen verweigert, weil ihre vollgequalmten
Geräte die Service-Techniker gefährden könnte.
The Consumerist berichtet von drei
Nutzern, die dem Portal ihr Leid geklagt haben.
Alle drei hatten Probleme
mit ihren edlen Rechnern und gaben sie innerhalb der
Garantiezeit zur Reparatur. Doch Apple lehnte es ab,
seine Serviceleute an den Geräten arbeiten zu lassen,
weil die Computer durch Zigarettenrauch "kontaminiert"
seien. Der "Second-Hand-Rauch" stelle für die Techniker
ein nicht hinnehmbares Gesundheitsrisiko dar, hieß es.
Die empörten Kunden wiesen
Apple daraufhin, dass in den Garantiebestimmungen
nirgends ein Hinweis zu finden sei, dass durch Rauchen
am Rechner die Garantie erlöschen könnte. Die Einwände
ließen Apple aber bisher ebenso kalt, wie die Tatsache,
dass alle drei sich die teure Garantieerweiterung
"AppleCare" geleistet hatten. Auch The Consumerist
konnte dem pingeligen Computerhersteller keine
Stellungnahme entlocken.
kwe>)
-----

16. 28.5.2010: Passive smoking is promoting
Diabetes 2
from: n-tv online: Health: Danger in tobacco smoke:
passive smoking provoking Diabetes (orig. German:
Gesundheit: Gefahren, die im Tabakqualm lauern:
Passivrauchen macht zuckerkrank); 28.5.2010;
http://www.n-tv.de/wissen/gesundheit/Passivrauchen-macht-zuckerkrank-article894437.html
Translation:
<Despite protection law from passive smoking in Hamburg
many restaurants are full of cigarette smoke.
Passive smoking promites the risk for Diabetes. Scientists
of Helmholtz Cetner of Munich and of German Diabetes
Center in Dusseldorf detected a connection between
quantity of cigarette smoke inhauled with outbreak of
Diabetes 2. In journal "European Journal of Epidemiology"
they published the results of ain investigation about
kooperative health research in Augsburg region (KORA).
There was known allready from diverse epidemiologic
studies that active smoking is aumenting the risk for
Diabetes 2 (often called adult onset diabetes). But
passive smoking was not investigated yet sufficiently.
So there were investigations by scientists between 1999
and 2001 with 1,351 persons without illness between 55 and
74 years on diabetes. Christa Meisinger from helmholz
Center of Munich and her collegues were using a special
sugar cargo test (OGTT). No one had diabetes at the
beginning of the investigation. But some had high levels
of a pre-stage diabetes.
Passive smokers are in
danger
After seven years the scientists were inspecting 887 of
the test persons from the the first random test if there
had developed any Diabetes 2. For the active smokers the
known connections were confirmed: Who had smoked at the
beginning of the investigation had a significant higher
risk of Diabetes. With passive smokers the effect also was
clear: Non smokers who were exposed to passive smoking at
ahome or at their work station, had a risk of Diabetes
more than the double than test persons without active nor
passive smoking.
In another investigation only pre diabetes was considered.
Again diabetes risk had aumented massively by acrive or
passive smoking compared with the total of the test
persons.
dpa>
<Trotz des
Passivraucherschutzgesetz in Hamburg bleiben viele
Kneipen verraucht.
Passivrauchen erhöht das Risiko für die Zuckerkrankheit.
Wissenschaftler des Helmholtz Zentrums München und des
Deutschen Diabetes-Zentrums in Düsseldorf haben nach
Angaben einen Zusammenhang zwischen dem Einatmen von
Tabakqualm und der Erkrankung an Typ 2-Diabetes
gefunden. Die im Fachmagazin "European Journal of
Epidemiology" veröffentlichten Ergebnisse basieren auf
einer Auswertung von Daten der Studie für Kooperative
Gesundheitsforschung in der Region Augsburg (KORA).
Bekannt war durch verschiedene epidemiologische Studien
bereits, dass Aktivrauchen zu einem erhöhten Risiko für
Typ 2-Diabetes (oft auch Altersdiabetes genannt) führt.
Ob auch Passivrauchen das Entstehen der Erkrankung
beeinflusst, war bisher nicht hinreichend untersucht
worden.
Um dies zu überprüfen, testeten die Wissenschaftler von
1999 bis 2001 zunächst 1351 nicht erkrankte Probanden im
Alter von 55 bis 74 Jahren auf Diabetes. Christa
Meisinger vom Helmholz Zentrum München und ihre Kollegen
nutzten dazu einen besonders genauen
Zuckerbelastungstest (OGTT). Zum Zeitpunkt der
Basisuntersuchung war keiner der Probanden an Diabetes
erkrankt. Allerdings ergab der OGTT bei einigen
Probanden einen Blutzuckerwert, der eine
Diabetes-Vorstufe anzeigte.
Gefährdete
Passivraucher
Nach sieben Jahren untersuchten die Wissenschaftler an
887 Studienteilnehmern aus der ersten Stichprobe, ob sie
einen Typ 2- Diabetes entwickelt hatten. Für die
Aktivraucher bestätigten sich die schon bekannten
Zusammenhänge: Wer zum Zeitpunkt der ersten Untersuchung
geraucht hatte, wies ein signifikant erhöhtes
Diabetesrisiko auf. Aber auch Passivrauchen hat einen
deutlichen Effekt: Nichtraucher, die zum ersten
Untersuchungszeitpunkt zu Hause oder am Arbeitsplatz
Passivrauch ausgesetzt waren, hatten ein mehr als
doppelt so hohes Risiko, an Typ 2-Diabetes zu erkranken
wie Studienteilnehmer, die weder aktiv noch passiv
rauchten.
In einer weiteren Auswertung bezogen die Wissenschaftler
nur die in der Basisuntersuchung erkannten Prädiabetiker
ein. Bei diesen war das Diabetesrisiko durch Aktiv- und
Passivrauchen im Vergleich zur gesamten Studiengruppe
noch einmal deutlich erhöht.
dpa>
-----
10.12.2010: Children exposed to passive smoking
suffer more often dangerous infections of
meningococcus
from: Spiegel online: Health of children: passive smokers
suffer more of dangerous infections (orig. German:
Kindergesundheit: Passivraucher leiden öfter an
gefährlichen Infektionen); 10.12.2010;
http://www.spiegel.de/wissenschaft/medizin/0,1518,733919,00.html
Translation:
<Reuters / HHS
When parents are smoking at home, so they are damaging
health of their children. A new analysis confirmed that
smoke is a risk for infections with mengingococcus
bacteria. These bacteria can cause difficultmeningitis.
Passive smoking is very dangerous for children. When there
is smoking prohibited in working stations, in railway
stations or in restaurants - so cigarrettes are only
allowed in the own flat. So children are passive smoking
against their will. According to a projection of World
Health Organization WHO 166.000 children are dying per
year by passive smoking. Scientists named heart problems,
general respiratory problems, asthma and lung cancer as
the mostly causes.
An international team of scientists investigates now it
passive smoking also augments the risk of difficult
bacterial infections. Scientist Chien-Chang Lee from
harvard School of Public Health in Boston analyzed 42
earlier studies about the connecton of passive smoking and
infections with meningococus, pneumococcus and haemophilus
influenzae B. This was reported in journal "PLoS
Medicine".
Infection with these germs can cause very different
consequences because the germs are occupying the body and
can attack divers organs. In the study the scientists put
the focus on meningitis and on epiglottis inflammation, on
bacteria in the blood (bacteriemia) and agents on body
localities where were heavy symptoms of illnesses. Teh
bacteria mostly were given by droplet infectino wandering
by the respiratory ducts into the body. In Germany the
Permanent Vaccinaton Commision suggests a vaccionation
against all three agents.
Infections with pneumococcus and haemophilus influenzae B
were some more in smoker's households, but not relevant
statistically - could be casual aberration.
But sensitivity to meningococcus was doubled with passive
smoking children, especially with children from 0 to 6
years. Passive smoking is heavy for respiratory ducts, so
the germs attack more often there. According to the
scientists also the immune system suffers by the smoke.
All together gets a higher risk.
wbr>
<Wenn Eltern zu Hause
rauchen, schaden sie der Gesundheit ihres Kindes: Einer
neuen Analyse zufolge erhöht der Qualm das Risiko einer
Infektion mit Meningokokken. Diese Bakterien können eine
gefährliche Hirnhautentzündung auslösen.
Passivrauchen ist besonders
für Kinder problematisch. Selbst wenn Rauchverbote
greifen, so dass an Arbeitsplätzen, in Bahnhöfen oder
Kneipen nicht mehr gequalmt werden darf - in den eigenen
vier Wänden darf sich jeder Zigaretten anzünden. So
rauchen Kinder oft unfreiwillig mit. Laut einer
aktuellen Hochrechnung der Weltgesundheitsorganisation
WHO sterben pro Jahr 166.000
Heranwachsende durch Passivrauchen. Die
Forscher nannten Herzleiden, allgemeine
Atemwegserkrankungen, Asthma und Lungenkrebs als
häufigste Folgen.
Ein internationales
Forscherteam hat jetzt untersucht, ob Passivrauchen auch
das Risiko erhöht, an schwerwiegenden bakteriellen
Infektionen zu erkranken. Die Forscher um Chien-Chang
Lee von der Harvard School of Public Health in Boston
analysierten dafür 42 früher durchgeführte Studien.
Geprüft haben sie den Zusammenhang von Passivrauchen und
Infektionen mit Meningokokken, Pneumokokken und
Haemophilus Influenzae B, wie die Forscher im
Fachmagazin
"PLoS Medicine" berichten.
Die Ansteckung mit diesen
Keimen kann sehr unterschiedlich verlaufen, da die
Bakterien sich im Körper ausbreiten und verschiedene
Organe befallen können. In der Studie achteten die
Forscher auf Fälle bakterieller Hirnhaut- oder
Kehldeckelentzündung, den Fund von Bakterien im Blut,
der sogenannten Bakteriämie sowie das Auftauchen von
Erregern an anderen Körperstellen, wo sie schwere
Krankheitssymptome auslösten. Die Bakterien werden meist
per Tröpfcheninfektion weitergegeben, wandern also über
die Atemwege in den Körper ein. In Deutschland empfiehlt die
Ständige Impfkommission allen Kindern
Immunisierungen gegen alle drei Erreger.
Infektionen mit Pneumokokken
und Haemophilus Influenzae B traten bei Kindern aus
Raucherhaushalten etwas häufiger auf, allerdings war
dies statistisch nicht relevant - es könnte sich um eine
zufällige Abweichung handeln.
Die Anfälligkeit
gegenüber Meningokokken verdoppelte sich allerdings
für passivrauchende Kinder. Besonders schwer betroffen
waren laut der Studie Kinder unter sechs Jahren.
Passivrauchen belastet die Atemwege, so dass sie von sie
angreifenden Keimen wahrscheinlich leichter eingenommen
werden. Nach Aussage der Forscher leidet auch die
Körperabwehr an sich unter dem Qualm. Beides zusammen
würde ein erhöhtes Risiko erklären.
wbr>