Kontakt /
                  contact          Main page        back        Inhalt
<<     >>
D

Lies and profit with "normal medicine" (part 2)

How medicine after the invention of radiation equipment was driving to the wrong "side" -

profit strategies in medicine business

4. Cholera and TB - Pettenkofer for hygiene and immune system - Koch for quarantine
5. TB lie by Robert Koch - press media cheering and protecting the liar - Hoechst selling the lie
6. Psychological nursing as a factor: Cochrane's statistics about the influence of rations and food care parcels in war camps in relation with diseases



Spritze am Bein angesetzt
drohende Spritze Die Fettsucht
Brustkrebs, Röntgenfoto operation, meist
                          Symptombekämpfung Das Pillenmeer
                          der Schul-"Medizin" Insulin-Inhalator
Normal "medicine" is making faked propaganda stating that their "pills" would help, but at the same time more illnesses are caused...

by Michael Palomino (2012)

Teilen / share:

Facebook







from:
Langbein, Kurt / Ehgartner, Bert: The Medicine Cartel. 7 Lethal Sins of Health Industry (orig. German: Das Medizinkartell. Die 7 Todsünden der Gesundheitsindustrie); Piper edition, Munich 2002; summary and chronology by Michael Palomino

Comment
All occasional inventions are indicated as "occasional". The lies in normal "medicine" are precisely presented in a chronology and with the argument chains. In normal "medicine" the factor making career and money is more important than the health of the human. Why do the health insurances pay for this normal "medicine" when there are always more ill persons produced instead of healthy persons?

Michael Palomino
Das Buch "Das
                          Medizinkartell" von Kurt Langbein und
                          Bert Ehgartner (2002), Buchdeckel


Abbreviations
BMJ British Medical Journal (p.276) NIH "US" National Institutes of Health with headquarters in Bethesda, Maryland (p.324)
JAMA Journal of the American Medical Association (p.339) RAC Recombinant DNA Advisory Committee (p.328)


nach oben / vers le haut / arriba /
                  top

Chapters

4. Cholera and TB - Pettenkofer for hygiene and immune system - Koch for quarantine
5. TB lie by Robert Koch - press media cheering and protecting the liar - Hoechst selling the lie
6. Psychological nursing as a factor: Cochrane's statistics about the influence of rations and food care parcels in war camps in relation with diseases


Inhalt / contenu / contenido
                  / contents         nach oben / vers le haut /
                  arriba / top

4.
Cholera and TB - Pettenkofer for hygiene and immune system - Koch for quarantine

3000 B.C.: In old Egypt tuberculosis (TB) is well known, but is very rare (p.39).

In Roman Empire Hippocrates is writing about tuberculosis (TB), but he means that the tubercles are the cause. But the tubercles are only the symptom of the illness. Hippocrates does not see the way of the infection (p.39). There are yellowish spots as little like millet seed (p.40).


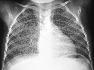
TB
                        lung with tubercles, X-ray photo
TB lung with tubercles, X-ray photo [1]
World
                        map with the estimated TB rates in 2009
World map with the estimated TB rates in 2009 [2]

Persons with tuberculosis (TB) are suffering a chronic undernourishment and are suffering a weak immune system. Symptoms of tuberculosis are add to this <fatigue and weakness, missing appetite and loosing of weight, swollen lymph nodes, some fever above all in the afternoon, sweat in the night and a constant not stopping slight cough without much sputum.> [web01]

19th century
European towns are a stable with human beings and animals

[European towns in 19th century partly are absolutely inhuman, and there are narrow conditions like in the ghettos of Nazi times. So there are many germs. When other conditions also are bad like the long working day (12 hours without sun), an ever lasting hunger, and weak immune system, so TB arrives. Here are the details]:

-- in the European town many animals are living in the stables, above all many horses for horse-drawn vehicles, and add to this all people can ride a horse
-- add to this many families also have some small domestic animals in the town

-- on the streets and paths of the European towns of 19th century excrements of animals can be found everywhere, and street cleaning groups are collecting them. These groups have to pay a concession because they sell this dung to the farmers as fuel

-- water comes from common wells or directly from rivers yet where also sewage water is, without filter and without cleaning
-- in the workers' districts there is housing shortage with "adventurous sanitary conditions".

All in all in the European towns of the 19th century the danger of outbreaking epidemics is always high (p.43).

Life conditions during the 19th century
Child labor in a cloth mill in South
                        Carolina USA, 1908
Child labor in a cloth mill in South Carolina USA, 1908 [3] (“She just happened in…she was working steadily”)
Women and children in a German coal mine,
                        19th century
Women and children in a German coal mine, 19th century [4]
Flats were overcrowded, flat in Berlin
                          1907
Flats were overcrowded because child mortality was going down and because of the lack of contraceptives in the working class. Here is an example of an extended family in a flat in Berlin 1907 [5].

The social conditions on the whole world were brute because there were no worker's law and in general there were no contraceptives. These conditions can just be compared with the Jewish ghettos of Nazi times. No danger of epidemics can be found only
-- in "bourgeois" conditions in one family houses
-- in the noble castles where "classical" music is performed with dances and drinking orgies.

The
                          nobles never had any problem getting a flat.
                          Example is here the castle of Ludwigsburg in
                          Germany
The nobles never had any problem getting a flat. Example is here the castle of Ludwigsburg in Germany [6]
Policy in some countries of the world does not speak about this topic until today (2012) and is not bettering the conditions.


since the 1930s
Cholera emerging in Europe coming from India
(p.43); in India the social conditions are that bad that cholera is breaking out "regularly". British Empire ships bring cholera to Europe. In 1829 Cholera can be watched also in Orenbourg in southern Ural mountains, in 1830 in Moscow, in 1831 in Riga and in whole Central Europe (p.44). [One can call it also as a "globalization"...]

Cholera: bacteria of excrements - diarrhea and vomiting at the same time - spreading over the whole world
Cholera is an inflammation of the small intestine provoking heavy diarrhea and heavy vomiting at the same time. In a second stadium the body is dry and the face is pinched. In the third stadium there are mental problems getting confused, coma, eczema, eventually also pneumonia, inflammation of the parotid gland and sepsis. Cholera is caused by excrements in the drinking water or by excrements in the food, with the bacteria Vibrio cholerae. The bacteria is in the excrements and in water polluted by excrements, or in rivers and in the sea polluted by excrements. Also fishes and food from such waters can have the bacteria [web02].

First reports about cholera epidemics are from the 16th century. From 1817 on cholera is developing as a pandemia (a long disease spreading over several continents [web03]).
-- 1817-1823 there is a cholera pandemia originating in Calcutta (India) spreading over East Asia, Pacific, Middle East up to southern Russia, but stopped by the hard winter of 1823/1824
-- 1826-1837 there is another cholera pandemia originating in Bengal (India) spreading wider this time up to Russia (197,000 deads), Central Europe (Hungary 200,000 deads, Germany, France) and Scandinavia (Finland and Sweden), and also in Great Britain (England and Wales with 21,500 deads), and emigrants to "USA" bring it also to the "USA", with millions of deads [web04].


Also soldiers bring cholera "home", or British soldiers in India and in Afghanistan never come home again because they are killed by local cholera [web04].

When we see the world map of WHO with the reported cholera outbreaks in the years 2010 and 2011, so we see that above all India where a "union" of humans and animals can be found until today in many houses, has not learnt ANYTHING until today (2012) and leaved it's population in catastrophic conditions whereas there are no earthquakes or wars.

World map of cholera outbreaks
                              2010-2011
World map of cholera outbreaks 2010-2011 [8]


The symptoms of Cholera disease - European doctors have no idea
According to Langbein/Ehgartner the symptoms of Cholera are first a certain indisposition a light deafness. Then follow attacks of vomiting and diarrhea like rice water. Then follows the collapse, a thickening of blood and the circulatory collapse. The skin becomes blue and "wavy", the eyes are deep in their holes, feet and hands are getting cold like ice, and there are heavy and painful cramps of the muscles. Cholera affected persons develop an indifference, then 50% suffer a failure of heart of kidneys and then death follows. This cholera procedure can be within 5 hours or needs 3 or 4 days (p.44).

The doctors in Europe have no idea about cholera and they are absolutely surprised (p.44). They presume that contact of skin is the transmitter (contagial doctrine), or that polluted water and their fumes would be the cause, according to "miasma doctrine" (p.45).

Suspicions about malaria - suspicions about cholera
According to the medical suspicions in these days malaria is provoked by bad air coming from calm ponds. That's why this illness was also called "mal-aria" = "bad air", according to the "miasma doctrine". The same procedure was assumed in the case of cholera. Also British doctors in India mean that bad fumes would be the cause for cholera (p.45).

All in all European doctors are split about the causes of cholera. There are "duels of argumentation" with votes in the public [which is absolutely populist and not at all scientific] (p.45).

European measures against cholera - the population smells a discrimination

City governments are taking rigorous compulsory measures against cholera now:
-- complete territories are blocked
-- in Austria-Hungary quarantine measures are taken
-- "cholera barracks" are introduced separating also families with it (p.46).

As a consequence the suspicion of the population against the governments and against the doctors is increasing:

-- there are upheavals against the nobles, there are murdered doctors, and there are occupations of castles
-- there is the rumor that the doctors receive options for every person killed by cholera
-- then these rumors are even reinforced because cholera is spreading only in the lower classes
-- and then there is another rumor that the rich want to get rid of the poor having spread the pathogens (p.46).

Add to this all these dramatic measures [meaning that the pathogen would be spread by the air of "calm pots"] have no effect. Fumigating, disinfection or remedies for wounds, all this has no effect. And therefore even more rumors are coming up, and many more members of the middle and the upper class are taking their flight from the centers of the towns when cholera is breaking out.

In 1831 for example there is an upheaval in Kaliningrad against the burial of a cholera victim in an "epidemic pit". The procession is destroying pharmacies, is overrunning the police, is chasing doctors, and at the end military forces are shooting into the mass causing 7 killed people and many wounds and 177 detentions (p.46).

"Cholera newspapers" - all measures have no effect
The governments want to win the help of the population:
-- "cholera newspapers" are founded making propaganda for the collaboration of the population
-- and cholera hospitals are installed (p.47).

The authorities believe that cholera would be an infectious disease, but all measures are failing. So, infection cannot be the reason, but the discriminations are more and more reinforced (p.47).

1832
Hamburg is eliminating all "caution measures" against cholera
and the enigma is going on: Nobody knows who the spreading of cholera is happening. The epidemics have to be accepted (p.47).

1842
Big fire in Hamburg - reconstruction with sanitary reforms
After the big fire in 1842 Hamburg is constructing an underground canalization system from 1842 to 1853 with a central sewage deposit site, according to English model. The inauguration is in 1853 (p.55).

Details about water supply in Hamburg (and may be these details count for the whole world):

<The first water supply (in Hamburg called "Water Arts") were taking the water from the Alster River. But this Alster River also served as a sewage basin with human excrements and of the sewage of the handicraft enterprises of these times (laundry sewage, tannery and bleaching factories).

Later the water was taken from Elbe River but this water of course was not either clean. In the best case the water - before reaching the consumer - passed some still basins where the big trash and dirt was sinking to the ground and was separated from the water.

As a consequence of the Big Fire [in Hamburg in 1842] there was a resolution in 1844 to install a statal water supply for the territories of the center (Altstadt and Neustadt). The leader of these works was ordered to be the Englishman William Lindley.> [web05]
Cholera pandemia from 1842 to 1862
World map of cholera pandemia from 1842
                            to 1862 [9] with the indication of trade
                            routes of the different colonial countries
vergrössern World map of cholera pandemia from 1842 to 1862 [9] with the indication of trade routes of the different colonial countries

Port towns were especially affected by epidemics. Pathogens reached always there first.

1848
Hamburg inaugurating it's central water supply ("Water Art") in Rothenburgsort - but without central sand filter
Hamburg gets it's own central water supply. The drinking water is taken two kilometers above of the town directly from Elbe river and then is lead by a 800 m long channel into three big clearing basins (p.55), but without sand filter yet. Hamburg's government thinks that this would not be necessary (p.56).
There are details speaking a clear language: Hamburg government and industry provoked together that there was no central filter installed in Rothenburgsort:

<In 1848 statal Water Art in Rothenburgsort was inaugurated, but was working with not filtered water. Well, Lindley had a central filter in his project, but this was not realized by cost reasons. Already in these times there were also other economical reasons rejecting a central filtration by the water works: There were producers offering little filter systems for the consumer and these producers wanted to make much money with these littler filters - not considering that these little equipments were not working effectively and that the water quality was going down year by year - because of the growth of the population in Hamburg.> But the nearby village  of Altona has installed a central water filter which will be a great advantage against cholera later [web05].

Berlin: Water supply with sand filter
Bacteria in the sand filter are killing the cholera pathogen, but this is not known in these times (p.56).

1848/1849
Cholera: Medicine has got no idea
Epidemics are accepted and no fight is possible (p.47).

1850
Munich: Doctor Max von Pettenkofer becomes a Royal pharmacist - and puts through a new hygiene
-- Pettenkofer is installing three chairs of hygiene at three Bavarian universities (p.49)
-- Pettenkofer is rated as one of the founders of prevention medicine, of hygiene education and of the idea that fresh air and good food is reinforcing the body against illnesses
-- Pettenkofer is presenting his calculation that any prevention is worthwhile when illnesses of habitants can be reduced (p.50), and at the same time he is appealing to the own personal responsibility of any human being for itself (p.50-51).

The conditions in about 1850

There are deads by diphtheria, scarlet, measles, pertussis and TB
-- 1/3 of the children between 0 and 1 year are be killed by diphtheria, scarlet, measles, and pertussis
-- about 1/3 of the adults is killed by TB (p.36).

Population explosion
At the same time population is developing in a kind of an explosion, and in those town which have no canalization yet are epidemics without end which were unknown before in Europe: cholera, typhus (p.38)

[The cause for the population explosion can be found with the reduced child mortality, because disinfection of wounds and operation instruments was invented, and slowly but steadily the general hygiene conditions were bettering in Europe. Add to this the lower classes had no contraceptives, and there was no knowledge about natural contraception with root juices like in the jungle of South "America" which have an effect for several years].

since 1850
Doctor Pettenkofer in Munich fighting for a canalization and for a well ruled sewage service and for a good water supply
Pettenkofer is arguing that every flat should have flowing water, so everybody could wash themselves more often (p.50).

Max von
                        Pettenkofer, chemist and then the first
                        hygienist of Munich, portrait of 1860 appr.
Max von Pettenkofer, chemist and then the first hygienist of Munich, portrait of 1860 appr. [12]

Pettenkofer (born as a son of a farmer in 1818 in Lichtenheim, died in 1901 in Munich, buried on the Old South Cemetery of Munich) was a chemist and hygienist. After he had passed grammar school "Altes Gymnasium" (financed by his uncle Franz Xaver Pettenkofer, a pharmacist) he studied pharmacy, natural sciences and medicine in Munich and got a Dr. title for medicine, surgery and obstetrics at the end. He also got the certificate for being a pharmacist. Then he was doing chemistry research in Würzbourg, then in Giessen at the laboratories of Justus von Liebig. In 1847 he got to be a professor for medical chemistry ad Ludwig Maximilian University of Munich [LMU]. In 1865 he became rector there, and in the same year he was the first German professor for hygiene. From 1876 to 1879 he installed the first hygiene institute. From 1890 to 1899 he was president of Bavaria Academy of Sciences. In 1893 he finished being professor, and in 1901 he closed his Royal Pharmacy flat in Munich residence [web07].


Main merits of Pettenkofer in hygiene are:
-- he put through hygiene as an own branch of medicine
-- together with the town's administration and with town's engineers he developed a "health technique" in city planning
-- in Munich he put through the canalization and a central drinking water supply.

Main merits of Pettenkofer in chemistry are (until 1850 appr.)
-- in 1844 he discovered creatinine, an important metabolic product of the muscles
-- in the laboratories of Justus von Liebig he developed the bile acid proof, add to this he bettered the method of concrete production (1847)
-- he created [destructive] copper amalgam (in 1848) [provoking many new diseases]
-- at the coin production center he put through a better method melting precious metals and producing coins (1848-1849)
-- he detected the regular repeating characters of the chemical elements (in 1850) and got the basic data for the periodic system with it, but the Bavarian Academy of Sciences rejected more support for his research
-- in 1851 he described the production of illuminating gas of wood (wood gas)
-- in 1860 appr. he is investigating some metabolic balances together with Carl von Voit
-- he develops respiration devices with the "Pettenkofer principle", and this principle has not changed until today (2012)
-- Pettenkofer invents the meat extract (soup cube according to Liebig), the industrial production with South American beef
-- "add to this the medical chemistry owes him well usable reference methods for sugar, urine parts and arsenic".


Max von
                                Pettenkofer, portrait of about 1880 with
                                a full beard
Max von Pettenkofer, portrait of about 1880 with a full beard [14]

The main merits of Pettenkofer in epidemiology are following after the outbreak of cholera in Munich in 1854 [see 1854 in the chronology].

Pettenkofer gets many tributes and memberships:
-- from 1846 on he is member of Bavarian Academy of Sciences
-- in 1849 he gets to be a member of Supreme Medical Board ("Obermedizinalausschuss")
-- in 1872 he gets to be a honorary citizen of the town of Munich
-- in 1883 he gets to be a member of supreme hereditary nobles
-- in 1893 he gets the Golden Citizen's Medal of capital of federal state of Munich
-- in 1896 he gets the title "Excellency" ("Exzellenz")
-- in 1897 he gets the Harben medal of Royal Institute of Public Health of England, and the Golden Medal of Chemical Society
-- in 1899 he gets the Golden Medal of the town of Munich
-- in 1900 he gets an Order of Merit of Bavarian Crown and is accepted in the Prussian Order "Pour le Mérite" for sciences and arts
-- in 1968 remembering his 150th birthday West Germany (GFR) is editing a 5 DM memorial coin with Pettenkofer
-- schools and streets get Pettenkofer's name (e.g. in Berlin Friedrichshain-Kreuzberg)
-- in Munich the Institute for Hygiene and Medical Microbiology of Ludwig Maximilian University (LMU) in Munich has got his name, the Pettenkofer Institute
-- since 2007 alto a kind of bacteria has got Pettenkofer's name: Staphylococcus pettenkoferi, a bacteria harming only people with damaged immune system [web09].

1852
Virchow claiming that good education, wealth and liberty would bring more health
In 1852 pathologist Rudolf Virchow claims in Germany that hunger epidemics would lead to a missing resistance against cholera. General health could be fostered by "good education, wealth and liberty" (p.37).

In: Schnipperges, Heinrich: Rudolf Virchow, 1994, p.97.

Virchow is considering "bacteriology" in a skeptical way (p.37) and claims "the balance of functions" as a base of health (p.38).

Virchow's study shows the lacks:
-- 10% of the persons with under weight have a three times higher TB risk than persons with 10% over weight
-- lack of light and air is also a factor for more TB
-- much dust is also a factor for more TB
-- not hygienic conditions in general are also a factor for more TB (p.42).


Rudolf Virchow,
                                  portrait
Rudolf Virchow, portrait [13]

Rudolf Ludwig Karl Virchow (born in Schivelbein, Pommern, 13 October 1821, died on 5 September 1902 in Berlin), studied medicine getting a Dr. title in 1843 at Friedrich Wilhelm University with topics of pathology. Then he studied at Berlin Military Doctors' Academy "Pépinière" with a scholarship, worked at Charité hospital in the autopsy department, and he was the first who proved as a pathologist at Charité hospital the pattern of thrombosis, a world wide pioneering work. In 1845 Virchow was also the first describing the pattern of leukemia.

In 1847 he began with an "archive for pathologic anatomy and physiology", together with Benno Reinhardt. This archive is called Virchow Archive until today. Because of his revolutionary activity in 1848 he had to leave Berlin and elected from several offers (also ETH in Zurich) the town of Würzbourg as his next station of life where he also married and had 6 children. In 1856 he returned to Berlin, was chief of the newly created ordinariate for pathology and took his old job in autopsy at Charité hospital, working there for 46 years until his death. The pathologic anatomic collection was expanded under his leadership and in 1899 the Pathologic Museum was installed, today's "Berlin Medicine Historic Museum" at Charité hospital. Up to his higher age he was weak and fast, had political social activities in Fortschrittspartei ("Progress Party"), was local deputy from 1859 to 1902 and a Prussian deputy from 1862 to 1902 always working for a liberal and scientific enlightened society, against Bismarck.

Virchow's main merits in medicine are:
-- his theory of pathology of cells got world wide significance. He stated clearly that "illnesses are the product of harmed body cells".
-- he worked as a medicine historian and publicist and was editing several reviews
-- he fostered relations to sole bath of Durkheim with a raisin cure
-- he was working for a medical basic supply of the whole population, was installing the first local hospitals in Berlin (Friedrichshain in 1874, Moabit in 1875 (which closed in the meantime), Am Urban in 1890)
-- he supported the installation of parks and children's playgrounds bettering the situation of the lower classes, and he also supported the installations of market halls
-- as a hygienist he is advising the government in matters of epidemics [web10]
-- he is putting through the obligatory investigation of trichinae ("Trichinenschau") with fresh slaughtered meat in whole Prussia [web10, web11]
-- "Virchow supported a channeled canalization and countered the doctor of Frankfurt Georg Varrentrapp who supported the waste service and the usage as dung. Since 1869 together with James Hobrecht, Virchow was essentially working for Berlin's canalization and central water supply which was inaugurated in about 1870. Drainage of the town was passing 12 independent radial systems leading to sewage farms out of the town. This was the most clean solution for the elimination of sewage"
-- Virchow planned and realized together with the towns council Arnold Marggraff the Berlin canalization
-- in 1881 Virchow reached his project of an installation of a clean and central slaughterhouse.

On the political field Virchow in 1869 applied in Prussian House of Deputies that there should be a disarmament, that there should be arbitral courts, and he applied the creation of the United States of Europe. In 1873 he created the term of "cultural fight" to be free of the miserable church. From 1880 to 1893 he also was a member of German Reichstag where he supported his idea of a basic medical supply. At the same time he rejected duels with Bismarck considering this a "non contemporary kind of discussion". He was for communal self administration, for minority rights, for example considering Polish groups in Prussia, and he was against antisemitism and against colonial policy.

Furthermore Rudolf Virchow was working on the sectors of anthropology, ethnology and archeology. He was a friend and supporter of Heinrich Schliemann and Franz Boas. He founded "Berlin Anthropologist Society" together with Bastian and Hartmann, and in 1870 he founded the "German Society for Anthropology, Ethnology and Prehistory". Virchow also took part in the foundation of several Berlin museums (Märkisches Museum, Völkerkundemuseum). Virchow had an interdisciplinary capacity and he was a pioneer for the Old Stone Age (Palaeolithic Age). At the same time he rejected Darwin and the man of Neanderthal.

At 4 January 1902 he was on the way to a lecture jumping from the tramway, crashed and broke the femoral neck. He never could walk any more and died on 5 September of the same year. His grave is on Berlin cemetery of Alten St. Matthäus Kirchhof in Berlin-Schöneberg.

Rudolf Virchow got some monuments:
-- since 1910 on Karlplatz in front of Charité Hospital (by Fritz Klimsch)
-- in 2004 a sculpture at the Langenbeck-Virchow house at Luisenstrasse 58/59 in Berlin (by Marcus Golter 2004)
-- a bust (copy of marble bust in the deanship of 1882) at Pathologic Institute of Charité (by B. Afinger).

Virchow's name can be found also
-- at a hospital in Berlin-Wedding
-- at a clinic in Glauchau
-- at a research center for Experimental Biomedicine in Würzbourg
-- and also a "moon crater" is called "Virchow.

In 1872 Rudolf Virchow got the "Olga decoration" by the King of Württemberg [web10].


There is a layering with the TB cases
Statistics state clearly that the lower classes have a higher TB death risk. Therefore TB is also called a "proletariat's illness". TB is also included into opera works, for example in "La Traviata" or in "La Bohème" (p.39). A small and white face [like TB affected have] is becoming a romantic and glorified ideal of beauty (p.40).

1853
Hamburg: Inauguration of the central canalization
(p.55)

1854
Cholera epidemic in Munich
(p.49)

This cholera in Munich provokes 3,000 deaths [web08]. According to other sources there were 2,223 deaths. The cause is polluted drinking water [web 09], [but wold wide medicine does not know this yet].

Pettenkofer's reaction to cholera in his town of Munich: as much hygiene as possible

The following life Pettenkofer is only fighting in the sector of epidemiology. [It seems that he had lost familiar members during this cholera epidemic]. Pettenkofer means that the structure of the soil and the structure of the underground waters would be the main factors for cholera publishing this in a booklet in 1855: "Investigations and observations about spreading of cholera" (orig. German: "Untersuchungen und Beobachtungen über die Verbreitung der Cholera"). Pettenkofer and his pupils are pioneers and are the first performing local visits and detailed statistics concerning the proceedings of epidemics. Pettenkofer is working without thesis or fixed ideas like stupid Mr. Koch in Berlin, but Pettenkofer is working with the model of his teacher Liebig as a "positivist", with strict scientific results following his experiments. There follow investigations and experiments concerning clothes, heating, ventilation, canalization and water supply.

By all this Pettenkofer is getting to be the "founder of hygiene, pioneer of environmental medicine, experimental pioneer in field research, chemist and nutrition physiologist".

The traditional hygiene level of CO2 in the indoor air has got the name of Pettenkofer - the Pettenkofer number. Pettenkofer indicated a maximum of 0.10% [web07].

Summary

1860
Doctor Max von Pettenkofer is establishing himself
Pettenkofer's merits and inventions are:
-- invention of the meat extract under Liebig's name
-- invention of copper amalgam as dental filling [a negative invention as it results later]
-- he is the inventor of a "good German concrete"
-- he is
the inventor of illuminating gas of wood
-- he is
the inventor of a new coin technique
-- he is
the inventor of a new restoration method for oil paintings.

His greatest work is hygiene research. Pettenkofer is brilliant with clear proofs and ideas. Only about Cholera he wrote 71 booklets (p.48).

1860
Hamburg: already 50 km sewage tubes are realized
(S.55)

1865
Doctor Pettenkofer becoming professor for hygiene in Munich
and now he can act and educate his pupils according to his own taste (p.49)
and is installing an Institute for Hygiene (p.50).

1869
Doctor Pettenkofer has got the suspicion that a germ is provoking cholera
(p.48) meaning that also healthy persons could transmit cholera. The main cause would be excrements provoking cholera when the soil is appropriate and when the bodies of the people are weak. The germ itself does not provoke the illness (p.49).

But yet with Pettenkofer there is the dominant idea that polluted air would be the transmission path. Also Pettenkofer claims that in higher floors would be less danger for cholera, and mostly in danger would be people living in cellars or in the ground floors (p.49).

since 1870 appr.
TB epidemics are going down
1780-1800: 1.12%
1840 England: 0.348%
1880 England: 0.202% (p.42).

Because only a little part of the TB affected is isolated, so the internment of TB affected people cannot be a factor for this decrease (p.42).

1873
New cholera epidemic in Munich
This time 1,490 people are killed by cholera, again by polluted drinking water [web08], [but is only presumed, is not known yet].

1877
Virchow putting through water pipes and canalization in Berlin
(p.38-39) and then also the epidemics are decreasing (p.39).

1878
Munich: Doctor Pettenkofer putting through the first central slaughterhouse - and a canalization
Water supply of Munich is running with mountain water. Now a new canalization with a central waste management is built up into Isar River far below Munich (p.50).

1880
Robert Koch called to Berlin
Koch is becoming an advisor of the statal board of health (Reichsgesundheitsamt). Research for TB pathogen is going on (p.39).

1882
Koch against TB
Robert Koch is infecting laboratory animals with TB tuberculous tissue resp. with TB threads. These animal tests are performed with rabbits and guinea pigs (p.40). But the TB threads cannot be increased in the nutrient solutions (p.40-41), but later - as will be detected - can be increased in the blood serum of different animals. Koch can take photos of the TB threads by the microscope presenting the photos in 1882 (p.41).

Tuberculosis pathogen (threads)
Tuberculosis pathogen (threads) [15]
Robert Koch with a microscope in the
                        background, in 1880 appr.
Robert Koch with a microscope in the background, in 1880 appr. [16]

With this procedure Koch has isolated the TB pathogen. He now claims the following equation:

"Pathogen + host = illness" (p.51).

But Pettenkofer is going on believing that the pathogen is spread by the air and is not believing to the "bacteriologists" (p.51).

since 1882
The chase against the TB pathogen
Different measures are claimed now:
-- disinfection of flats
-- burning of clothes and bedclothes.

But TB is going on to be widespread, again and again and without any limit (p.41).

The investigations show that only 5 to 8% of the TB infected people also suffer an outbreak of TB (p.42). The immune system is killing the pathogen, but the researchers don't see this. The research how this functions precisely is simply not happening (p.43).

Another study by Koch proves that ultraviolet radiation is killing the TB pathogen. Therefore sun light principally is enough as a prevention against TB, but also this is not seen by the researchers.

Koch is beginning his war against any germ in general now
Robert Koch now claims the thesis that the sane organism would be free of germs, and this is absolutely WRONG now (p.42). Koch now wants to exterminate all germs and wants to reintroduce quarantines with Prussian drill (p.51). [Koch does not accept the immune system as a decisive factor].

1883
New cholera epidemic in Egypt - expeditions of Robert Koch and Louis Pasteur
"Cholera expeditions" are heading to Egypt where is cholera provoking much harm in Alexandria. There are for example a team of Pasteur, and Koch also wants to visit the center of the epidemic directly with his staff and wants to make direct publishing in "German Medical Weekly" ("Deutsche Medizinische Wochenschrift" and in other dailies (p.51).

When Koch's expedition is arriving the epidemic already has decreased. Koch and his staff only can dissect only some dead bodies with cholera, more is not possible. Heat is hard and because of this heat experiments are impossible because the heat destroyed all bacteria solutions and nutrient solutions. Gelatine is converted in a liquid (p.52).

Also Pasteur from Paris is with his staff in Alexandria. Where Koch is, also Pasteur can be found (p.52).

German cholera expedition in
                        Alexandria in 1883 with Robert Koch (third from
                        the right)
German cholera expedition in Alexandria in 1883 with Robert Koch (third from the right) [17]
Louis Pasteur in 1885
Louis Pasteur in 1885 [18]

Propaganda media are fighting for Koch and Pasteur
All in all press media are now firing the competition between Koch and Pasteur as it would be a national fight. There is propaganda and pomposity (p.52). Then the French microbiologist Louis Thuillier from Pasteur's staff is killed himself by cholera. Therefore the French team is retiring from Egypt (p.53).

1884: Koch in Calcutta - laboratory studies
Koch's team is changing it's working place from Alexandria to Calcutta where cholera is breaking out in an endemic way [always again and again because of the catastrophic life conditions there]. Koch and his staff are performing new laboratory works there which are possible there during the winter months because of the lower temperatures. Koch succeeds in preparing a pure culture of cholera pathogens. He is isolating the "comma bacillus", called like this because of his form of a comma (p.53).

Cholera pathogen "Vibrio
                        cholerae", the popular expression was
                        "comma bacillus"
Cholera pathogen "Vibrio cholerae", the popular expression was "comma bacillus" [19]

Cholera pathogen (lat. Vibrio cholerae) has got a form of a half moon with a flagellum at one end for moving [web12]
[and it seems that a popular expression "comma bacillus" was created].


1885 appr.
Koch's team coming back - cheerings in the German press - Koch's lies and epidemics

After the return of Robert Koch to Germany the whole press is claiming that cholera had been defeated and is comparing this fact with the victory against France in 1871. But only the pathogen had been discovered, and not one single remnant has been found. Even any animal experiment is missing: The infection by germs for a vaccination had not been performed yet (p.53).

Now Koch is inventing all possible things arguing with polluted water, with polluted clothes etc. Press media are celebrating Koch despite of all his lies as a Prussian "hero" against France, and the "germ hunters" in the medical fraction are on a tear (p.54).

1890
Hamburg's pride having a water supply and a sewage system
Hamburg is the model for whole Germany:
-- all houses have got a connection with the central sewage system
-- there are more than 400 km of tubes in the earth for that
-- almost every house has got a water tap in the house or in it's court yard (p.55).

But until 1892 Hamburg rejects to have a central sand filter for the drinking water. Drinking water is taken from Elbe River. The water is lead into clearing basins where animals are swimming like worms, little fishes, sow bugs, shells, sponges, or also dead mice and other dead bodies of animals. They block the tubes, or the animals come out of the water tap and the children are keen on to catch these animals coming out of the water tap, or market women are selling eels from the water supply ("Water Art"). Hamburg's water also serves as drinking water for the deep-sea vessels and has got a "good reputation" (p.56).

Hamburg Jungfernstieg (Virgin
                Bridge) in 1890 with horse-drawn vehicles
Hamburg Jungfernstieg (Virgin Bridge) in 1890 with horse-drawn vehicles [20],
leaving their products in the street, and with this any town was always in danger for cholera

Summer 1892
Heat wave in Hamburg - conditions for cholera
In an extreme situation the risk of the missing sand filter is well shown: Elbe River has got the lowest water level since decades, it's water is 22º Celsius warm, and the flood is driving Elbe River back and more back than normal until to the location where the drinking water is taken out. And now cholera germ is getting into the drinking water system (p.56).

Since August 1892 cholera epidemic is dominating Hamburg despite of all water systems, despite of tap water, despite of clearing  basins, and despite of sewage systems (p.54-55).


Sand filter is decisive
Berlin has a central sand filter- and has got NO cholera. - Hamburg has NO central sand filter installed - and gets cholera (p.56).

Koch in Hamburg - and he is ordering quarantine
Since the second half of the year, since August 1892, 400 persons are killed daily by cholera (p.56). Koch reaches Hamburg on 24 August 1892 and is horrified of the narrow conditions of living in the districts near the port and is calling the "path district" ("Gängeviertel") as "pestilence cave" and utters the designating sentence: "Gentlemen, I forget that I am here in Europe." (orig. German:
"Meine Herren, ich vergesse, dass ich in Europa bin.") (p.57)

Hamburg's
                          "Gängeviertel" ("path
                          district") 1893 Hamburg's "Gängeviertel" ("path district") 1893 [21]

Parts of Hamburg's center (with mostly half-timber houses) were additionally "packed" by the growing population, so there were almost only paths at the end the the flats had hardly any light any more. The population mostly was of middle and poorer classes, and there were some commercial places producing products of little shape. Carriages and horse-drawn vehicles hardly could circulate there. "High" visits described this "Gängeviertel" with words like "air of pestilence", "drain", "labyrinths", "dirt", "stupor" and paths which could past only in a bowed posture etc., this described Johann Hinrich Wichern in 1847. From 1883 to 1888 one part of the center ("Grossen Grasbrook") was destroyed for the building of a storage district, and 24,000 persons had to look for another flat in the other center districts of Gängeviertel "Altstadt" or "Neustadt". Therefore the overpopulation went on increasing, or they had to change to the periphery and had to accept long trips to work. In 1892 Robert Koch found the following words for this "Gängeviertel": "unhealthy flats, plague caves and breeding places for any kind of infective germ". [web12]

The habitants had to provide their water with water carriers or they took it directly from the inflows of Elbe River, but these inflows also served as sewer and as waste disposal site. Only after cholera epidemic of 1892 a big street was built up (Kaiser-Wilhelm-Strasse) passing this center of Hamburg, and from 1908-1914 another big street was built up there (Mönckebergstrasse). New worker's settlements were built up in Barmbek and on the Veddel (three islands [web13]). But a big part of the workers stayed in the center between the port and the geese market, and this part converted into a "breeding center of criminality" and also was called "Little Moscow". Only after 1933 restoration was beginning here, this time also considering the old structures and the old street names etc. After 1945 only some few half-timber houses survived [web12].


Now Koch can execute his quarantine against Hamburg's affected population (p.54). Quarantine and block of whole districts is performed with the threat of high prison punishments (p.55): There is isolation, prohibition of nightlife, and carbolic is sprayed so whole Hamburg is in a chlorine cloud (p.57).

September 1892
End of cholera in Hamburg - Koch is a German hero again - balance: Koch does not want to recognize the immune system as a factor
(S.57). This cholera epidemic kills 8,605 persons [web08].

Cholera sickbay in Hamburg
                Eppendorf in 1892
Cholera sickbay in Hamburg Eppendorf in 1892 [7]

The balance:
-- nearby village Altona with a central sand filter in the water supply has got only a few cholera cases (p.60)

Details: Altona was an independent town in these times and had installed a central sand filter in it's water supply and there were "almost no cases of cholera" [web05].

-- but Koch means that only the germ would be responsible for this cholera (p.60), but if that had been true whole Hamburg had died because they had the same drinking water but only in the narrow and neglected "path district" ("Gängeviertel") had the big majority of the cases

-- Koch does not want to accept any influence of the immune system yet

-- according to Langbein/Ehgartner cholera is "an illness following misery" for hungry stomachs. Langbein/Ehgartner say: "A well filled stomach is more or less completely blocking any access for cholera germs." (p.61)

(orig. German:  "Ein wohlgenährter Magen jedoch bietet für Cholerabakterien eine nahezu unüberwindliche Barriere." (S.61)


End of September 1892
Koch requires a national epidemic law for emergency measures - Pettenkofer is for more hygiene
Koch wants to fix his emergency measures in a national epidemic law. Pettenkofer in Munich is against him because in Munich had never been this cholera because the hygiene would be in order [and therefore Pettenkofer appeals for more prevention]. The press now is presenting a duel between Koch and Pettenkofer. Koch claims that Pettenkofer would not be on the latest level. When there is a duel Koch is shouting Pettenkofer down with the majority of the public (p.58).

[Well, these Bismarck methods of Berlin's Mr. Koch are really not scientific].

Pettenkofer's self experiment: He survives a cholera infection without any problem
Pettenkofer counters Koch's populism and lets send cholera germs from Koch's laboratory to Munich (p.58), and is eating these cholera germs, but is suffering only a little diarrhea, but no weaknesses, and is well surviving this cholera infection and sends his report to Koch's laboratory (p.59). Pettenkofer's assistant Rudolf Emmerich is repeating the experiment eating cholera germs and suffers 5 days heavy diarrhea but then all is over - but one has to consider that Emmerich reinforced his diarrhea eating plums as a base for more cholera germs (p.60).

Details: Wikipedia says in it's German article about Pettenkofer:

<In the connection with the famous duel with Robert Koch about the cause of cholera Pettenkofer in 1892 was even eating cholera germ cultures and as a surprise he got not ill. Pettenkofer's meaning was that the surrounding conditions were really a gibber factor for the coming up of the disease and the only presence of the germ should not mean automatically an outbreak of the illness. He and some of his pupils repeated this experiment and suffered no illness or only slightly which was a confirmation for Pettenkofer. But he was wrong admitting one certain "infecting element Y", which - according to a chemical reaction - would facilitate the outbreak of the illness.> [web07]

(original. German: Im Zusammenhang mit dem berühmten Zwiestreit mit Robert Koch über die Ursache der Cholera schluckte Pettenkofer 1892 sogar eine Kultur von Cholera-Bakterien und erkrankte überraschenderweise nicht. Pettenkofer vertrat die Ansicht, dass die Umweltbedingungen von erheblich größerer Bedeutung für die Entstehung einer Krankheit sind, als die bloße Anwesenheit von Krankheitserregern. Er und einige seiner Schüler, die den Versuch wiederholten, erkrankten nicht oder nur leicht, wodurch sich Pettenkofer bestätigt sah. Allerdings irrte er insoweit, als er ein bestimmtes „contagiöses Element Y“ annahm, das – gleich einer chemischen Reaktion – die Entstehung einer Krankheit erst ermöglichte.>) [web07]


Koch's team now is playing down Pettenkofer's experiment
Look how the arrogant Mr. Koch from Berlin is acting against the experiment of Pettenkofer from Munich:
-- Koch is not reacting at all
-- Koch's laboratories claim that all this would be only a coincidence
-- Koch's team is even spreading the wrong rumor that Pettenkofer would be immune because he had had cholera already before
-- and now this team of Mr. Koch claims also that the bacteria sent to Pettenkofer only had been "weakly virulent" because one had "suspected" what Pettenkofer was planning to do with them.

Koch with his populist claims reaches that Pettenkofer's experiment is not well answered in the press. Now Pettenkofer gets depressive and is giving up his works about cholera and lets "win" this Koch (p.60).

May 1893
Hamburg inaugurating it's filtration plant on Elbe island "Kaltehofe"
This filter plant <is almost completely preserved and can be sighted on the Elbe island Kaltehofe.> [web05]

The filtration
                            plant of water supply ("Water
                            Art") of Hamburg on the island
                            "Kaltehofe" of Elbe River, opened
                            in 1893
The filtration plant of water supply ("Water Art") of Hamburg on the island "Kaltehofe" of Elbe River, opened in 1893 [10]

Well
                          houses with filtration equipment on the island
                          of "Kaltehofe" near Hamburg
Well houses with filtration equipment on the island of "Kaltehofe" near Hamburg [11]
Details:

This island is a cut meander of northern Elbe River which was rectified from 1875 to 1879 winning new territories for homes and commercial areas. Filtration site is working then for almost 100 years from 1893 to 1990. Since 1990 the water basins are rest and breeding places for the birds. In the north of the island there is a little boat builder's yard. The filtration site was preserved and since 2011 is an industrial monument under the name "Hamburg Wasser" ("Hamburg Water"), with a museum and with a nature trail [web06].


End of 19th century
Towards the end of 19th century the town of Munich with hygiene professor Pettenkofer is rated as one of the cleanest towns of Europe [web07].

1901
Pettenkofer shooting himself in Munich
With 83 years Pettenkofer is shooting himself in Munich (p.60) [although he had big successes in Munich with his hygiene policy. A precise reason for this suicide is missing].


Inhalt / contenu / contenido / contents       nach oben / vers le haut /
                  arriba / top

5.
TB lie by Robert Koch - press media cheering and protecting the liar - Hoechst selling the lie

until the 1880s
Medical research is only for prevention
-- disinfection measures are performed
-- "vaccines" are invented (p.61).

Until these days Koch and Pasteur are famous for their proofs having detected the pathogens, but they hardly can heal. But politics want more: They want to see a therapy and healing processes (p.61).

24 March 1882
Lecture of Koch "About TB" with the announcement that the "parasite" would be prehensile

(p.61). But Koch is a blockhead kept in the scheme of germ and host. He claims that anthrax, cholera or TB are working all in the same way. And therefore Koch is promising a cure that is impossible to be found when he is not putting his blockhead into question (p.62) [he does not want to see the immune system as a vital factor].

at the end of the 1880s
Koch concentrating on TB research

The assistants of Koch are executing his orders, but they are not informed about the aim of all this, but they only can perform unskilled labor (p.62).

1890
10th International Medicine Congress at Berlin with a spirit of optimism against TB
The press expects new remedies of the three main representatives Rudolf Virchow, Josef Lister and Robert Koch (p.62).

Koch claims that with guinea pigs he had stopped TB already. Now the whole world wide press claims that a remedy against TB had been found. After the congress Koch claims also in the German Medical Weekly (Deutsche Medizinische Wochenschrift) that a healing of TB would be possible (p.63).

in: Gradmann, Christoph: Robert Koch und das Tuberkulin. Deutsche Medizinische Wochenschrift 124 (1999), p.1253-1256.

Koch has got some "ideas" for a remedy against TB
-- any infectious disease would be also an invasion of bacteria
-- an invasion, an infection and an illness should be the same thing
-- only a body which is practically free of "illness provoking" germs should be a healthy body
-- Koch rejects to accept the immune system as a factor
-- Koch means that bacteria would eat the body, and dead TB tissue would be "eaten" tissue (p.64).

With this Koch states the thesis that the bacteria would eat the body with toxic segregations, and now the body parts having been polluted by the bacteria's segregations had to be isolated (p.64).

1890
Project of Koch: "Koch's lymph" ("Kochsche Lymphe"), then called "Koch's remedy" or also called "tuberculin"

Well, but
-- the content of this "Koch's lymph" is secret whereas the German medical law is prohibiting any "secret medicine"
-- the content are dead germ cultures killed by heating (p.63).

Koch means that this tuberculin should destroy the tissue environment of the affected region inhibiting the bacteria any access to any further tissue in the body. IN this way the bacteria should be starved out, and in this way any further spreading should be hindered. Well, only Koch and his next staff know about these ideas and hypothesis (p.64), and as it seems there are no animal tests at all (p.64-65).

Berlin planning a new Koch Institute as a parallel of Pasteur Institute - the question of profits
(p.64-65); Koch should be the director. It should be a representative institute. But Koch is requiring a high salary and at the same time he is predicting high profits with TB remedies, and after 6 years Koch wants to surrender the rights of tuberculin to the Prussian state. Koch's calculation is the following:

Of one million humans 6,000 to 8,000 have TB. When there are 30 million humans [in Prussia?] so there are 180,000 TB cases.

The reaction of the Prussian government is not so euphoric. Prussian government does not want to give Koch such a high profit. Now Koch is playing a poker and claims that there would be "more favorable offers" from the "USA". But the present Reich Chancellor Caprivi resigns to Koch's requirements despite of all and is not giving him the direct profit in industrial form (p.65).

At the same time Koch wants to enable further independent research and does not want to be dependent on the government because he has no habilitation as a professor, but Koch has strong enemies in the researchers groups as e.g. Virchow, and Koch always needs the help of his protector, undersecretary [Ministerialrat] Friedrich Althoff. Koch does not want to be a professor at all, because he does not want to be a "ruminating" professor (p.66).


since 13 November 1890
Koch's "tuberculin" on the national market
The conditions are strange:
-- this "tuberculin" can only be bought by Koch's assistant Arnold Libbertz, and therefore Koch is creating his first monopoly
-- a real "tuberculin mania" is created, Berlin is converted into a pilgrimage site, Koch is a world wide star, and also souvenirs are produced, in the cabarets a Robert Koch song and a bacillus song is created, and Berlin is converted into a second Lourdes
-- new lung healing centers are founded, in barracks, in hotels, and in new houses
-- there are hurried news about healing successes, there is an euphoria, and Koch is covered by begging letters (p.67).

beginning of 1891
Skeptical reactions and anger about lethal cases with "tuberculin" - Koch's lie is coming up: he never had performed any autopsy with guinea pigs
-- tuberculin partly is provoking a worse state of the body of the TB affected people, among others with lethal consequences by the "Koch's cure"
-- masses of funeral cars are coming to the newly founded lung healing centers, and the sanatoriums remain empty.

And not only this: Other doctors even are succeeding with the proof that this tuberculin has no effect at all (p.68).

Now Mr. Koch gets into a heavy pressure for publishing the composition of this "tuberculin", and there is coming out that Koch cannot present any guinea pig as tested animal. And healed guinea pigs do not exist at all. He never has performed any autopsy with any laboratory animal (p.68).

Researcher Virchow is furious, and Virchow pupil Johannes Orth is creating the term "tuberculin swindle". The rumor is coming up that Koch would only want to finance his divorce with the patented selling of tuberculin (p.68).

25 January 1891
Koch applies holiday until 30 April 1891 - is approved - Egypt and half surrender

Koch is disappearing with his young darling to Egypt (p.68). But this has consequences in Berlin:
-- the works for the Koch Institute are canceled
-- Koch comes back and resigns to a part of profit sharing and is declaring formally "his resign to any dotation"
-- and Koch gets new and hard conditions:

oo he has to resign to have a private practice

oo the rights of any further invention has to fall to the state (p.69).

But during his whole life Koch does never want to confess that his "tuberculin" never had any effect (p.69).

May 1892
Hoechst snatching the "tuberculin"
and by this action is entering pharmaceutical industry. Koch's staff member Libbertz is employed at Hoechst controlling the tuberculin production (p.69). Koch is getting rich now, also Koch's staff members Emil von Behring and Paul Ehrlich, Behring even richer than Koch (p.70).

[Conclusion: Industry is making billions of profits with a "medicament" from which is proved that it has got no effect, and Prussian state is permitting this only because Koch has surrendered some rights. But there is never any juridical action because of manslaughter respectively because of poisoning].

Then Behring and Ehrlich were pioneering researchers on the sector of healing diphtheria on the base of a sheep serum [web14].

1897
Koch presenting an improved "tuberculin"
(p.69)

since 1897
Koch traveling around researching for pathogens
He is looking for the pathogens of cattle plague, malaria, blackwater fever, Texas fever, tsetse illness, and lepra. Koch is often in South Africa, passing East Africa during 1906 and 1907 (p.70) searching for sleeping sickness (p.71).

1907
Doctor Clemens von Pirquet saving tuberculin
Clemens is a pediatrist of Vienna. He claims that Koch's invention of "tuberculin" at least could be used "as a diagnose instrument: scarification and the following contact with tuberculin in the scarification would show a reaction if the person has got antibodies in his body, if he had had contact with the pathogen already or not (p.70).
->> therefore there is a proof of a quiet infection without the outbreak of the illness
->> but Koch is becoming desperate with this result because he rejects the term of virulence, because there is a pathogen without provoking an illness
->> and only after the proof with TB and cholera Koch accepts the virulence theory.

Amateur Koch wants to go on healing without having investigated the body well, and the immune system does not exist at all for him (p.70).

[Principally the Koch Institute never deserved the name of "Koch"...]

1910
Death of Robert Koch by heart attack
Until his death Koch is never changing his theory of pathogens, and is not changing his TB theory either. In his last lectures he is going on presenting his impoverished picture of medicine without any immune system (p.71).


Inhalt / contenu / contenido / contents          nach oben / vers le haut /
                  arriba / top

6.
Psychological nursing as a factor: Cochrane's statistics about the influence of rations and food care parcels in war camps in relation with diseases


Archibald Leman Cochrane, portrait
Archibald Leman Cochrane, Portrait [22], an analyst and logician of medicine.


1930s about ?
Critic doctor Archibald Cochrane (1909-1988) founds the medicine statistics
(p.71-73)
-- with the thesis that the early detection of breast cancer harms more than it's useful
-- he founded the Archie-Cochrane-Center in Copenhague with a Cochrane library
-- there is always the principle that nothing is "holy"
-- and there is always the principle: "What is sounding logic does not have to be logic" (p.71).

beginning of 1930s
Cochrane with studies in psychology and TB studies

Cochrane studies psycho analysis in Berlin, Vienna and The Hague following his teacher Theodor Reik who lets change his teaching seat by NS government. Archibald Cochrane, called "Archie" (p.74) also is working with studies in TB (p.75). Cochrane can observe again and again that
concerning many therapy procedures his questions for proofs are rejected by the professors as "illegitimate", but he is never given any reason for this habit (p.74).

1936-1939
Cochrane lets allocate oneself to an English sanitary battalion in Spain
Cochrane is curing soldiers of Republican side there, and there on the battlefield Cochrane gets his experience of "reality" (p.74).

1941
Cochrane is German war prisoner on Crete, then in a camp in Thessaloníki

(p.74-75); in this camp in Saloniki Cochrane can observe all possible diseases: First there are skin infections and dysentery, then there coma epidemics like typhus, diphtheria and hepatitis, and all this with hunger rations of 600 calories daily. German occupation has got no medicaments (p.75) [but all medicaments are at the Eastern Front against Communism].

Cochrane is curing with emergency measures the symptoms, for example diphtheria (p.75), with much drinking and much sugar (p.76), and daily the diphtheria patients are treated their mouths taking out [pus] (p.75). By these emergency measures Cochrane can hinder that the affected people are dying with diphtheria, and all in all there is only one single lethal case. Cochrane is realizing: The human body has got force of resistance, and: The university theories are for nothing and are not true at all (p.76).

End of 1941 appr.
Cochrane is relocated to a German camp in Hilburghausen - and there are food parcels from the inmate's homes as a factor
In Hilburghausen [in Turingia in the middle between Francfort on the Main and Leipzig] Cochrane makes the following experience:
-- there are high food rations of 1,500 to 2,000 calories per day, and there are 3 doctors in the camp
-- Cochrane has to treat above all TB
-- and Cochrane cannot do much about it, but he realizes how important is the cure and the conditions for the affected people
-- and now Cochrane realizes another important point: Affected people not getting food parcels from home is falling ill more often and is suffering heavier diseases, e.g. Yugoslavs and Russians in the camp. (p.76).


1942-1945
X-ray equipment in the camp of Hilburghausen

With the X-ray equipment can be performed a really precise investigation about virulence or outbreak of TB in the camp (p.76-77). But there is also the moment when the German surgeon major rejects any further medical investigation for the affected telling to Cochrane: "Doctors are super fluent!" (p.78)

[All in all the X-ray equipment is not a big progress against the illness[.

Since 1943 Cochrane is performing precise statistics about the ill inmates and with this his first own epidemiological work is beginning (p.77).

In 1945 Cochrane is finishing his camp statistics:

Cochrane's table about tuberculosis lethal cases in war prisoner's camps 1941-1945, psychological factor of food care parcels

Inmates

Remark

Death rate

Russians

without food care parcels

5.1% got TB

Frenchmen

with arbitrary partially higher food rations

0.2% got TB

British

with food care parcels

0 TB



(p.77)


In: Cochrane, Archibald: Effectiveness and Efficiency. Random Reflections on Health Services; In: Nuffield Provincial Hospitals Trust. London 1972 (reprinted in 1989 in association with the BMJ), S.66ff.

Cochrane and his generation are realizing: The whole medicine theories are wrong because the preconditions are other ones. Cochrane requires for any medicine the proof of sense first. Langbein/Ehgartner:

"In future - that was his intention - medical methods only should be applied when there would be a well founded evidence for it's sense." (p.77)

(orig. German:
"In Zukunft, so sein Vorsatz, sollten medizinische Methoden nur dann angewendet werden, wenn es eine gesicherte Evidenz für deren Sinnhaftigkeit gibt." (S.77)

[Immune system had been forced by the food parcels because it was a greeting from home].

since 1945
Cochrane requiring statistical science in medicine
-- Cochrane is going more into details with his statistics
--
Cochrane is creating minimum standards for clinical studies (p.77)
--
Cochrane is creating new terms like "randomization" (= arbitrary definition in a study's group)
-- Cochrane is creating evidence based standards (p.78).

Cochrane is realizing with many other doctors that the sentence "doctors are super fluent" is not so wrong in some cases (p.78) [because motivation is curing much by the stimulation of the immune system].

1988
Copenhagen: Cochrane dies - his assets
Cochrane is leaving on Earth a network of "Cochrane Collaboration" doctors, biostatistics and more researchers. But the Cochrane pupils cannot put themselves through totally (p.73).

17 September 1994
New Scientist: Doctors of the Cochrane Institute claim that 80% of the medical action would be non scientific

Langbein/Ehgartner:

"80% of all medical action had never been tested in a wide range and seriously according to scientific standards." (p.74)

(orig. German:
"80% aller medizinischen Handlungen sind niemals umfangreich und seriös nach wissenschaftlichen Standards getestet worden." (S.74)


In: New Scientist, 17 September 1994, p.23ff.

Inhalt
                    / contenu / contenido / contents         nach oben / vers le haut /
                  arriba / top

<<     >>

Teilen / share:

Facebook







Sources
[web01] http://de.wikipedia.org/wiki/Tuberkulose
[web02] http://de.wikipedia.org/wiki/Cholera
[web03] http://de.wikipedia.org/wiki/Pandemie
[web04] cholera epidemics: http://www.mybude.com/wissen/katastrophen/3984-cholera-epidemien.html
[web05] Hamburg, water supply: http://www.flickr.com/photos/chartmann/6674423037/
[web06] Hamburg, water supply: http://de.wikipedia.org/wiki/Kaltehofe
[web07] Max von Pettenkofer: http://de.wikipedia.org/wiki/Max_von_Pettenkofer
[web08] cholera in Munich: http://www.oktoberfest.de/de/article/Das+Oktoberfest/Geschichte/Kriege,+Bomben+und+Cholera/635/
[web09] http://en.wikipedia.org/wiki/Staphylococcus_pettenkoferi
[web10] Virchow: http://de.wikipedia.org/wiki/Rudolf_Virchow
[web11] investigation of trichinae: http://de.wikipedia.org/wiki/Trichinenschau
[web12] path district ("Gängeviertel") in Hamburg: http://de.wikipedia.org/wiki/G%C3%A4ngeviertel
[web13] Veddel: http://de.wikipedia.org/wiki/Hamburg-Veddel
[web14] Behring and cure of diphtheria with sheep serum: http://de.wikipedia.org/wiki/Emil_von_Behring

Photo sources
-- injection into a leg: http://www.pw1.tsn.at/schueler/pirpamer/pirpamer.htm
-- threatening injection: http://www.planet-wissen.de/pw/showdocument,,,,,,,,,,,,,,,,,,,2236A4DC833B45F2E0440003BA5E0921,,,.html
-- fat addiction: http://www.einslive.de/magazin/specials/2007/09/bier_abc.jsp?pbild=2
-- breast cancer, X-ray photo: http://members.aon.at/manfreda/Brustkrebs-Vorsorge_Mammo.htm
-- operation: http://www.sporttrauma.org/
-- pills without end: http://www.fr-online.de/in_und_ausland/wissen_und_bildung/aktuell/?em_cnt=1679115&em_src=649722&em_ivw=fr_wissen
-- inhalator for insulin: http://www.cbc.ca/health/story/2006/07/13/insulin-inhaled.html
-- Medicine Cartel, cover: http://www.amazon.de/Das-Medizinkartell-Kurt-Langbein/dp/3492044077

[1] TB lung with tubercles, X-ray photo: http://www.mevis-research.de/~hhj/Lunge/Tb.html
[2] tuberculosis rates worldwide, map of 2009: http://wwwnc.cdc.gov/travel/yellowbook/2012/chapter-3-infectious-diseases-related-to-travel/tuberculosis.htm
[3] child work in a cloth mill in South Carolina in 1908: http://threadsofhistory.blogspot.com/2009/09/machines-and-middle-class-textile.html
[4] women and children's work in a coal mine, 19th century: https://www.in-die-zukunft-gedacht.de/de/page/68/epoche/130/dokument/729/epochen.html (Ullstein Bild 00013245)
[5] misery of living because of many children and sinking child mortality and missing contraceptives, flat in Berlin 1907:
https://www.in-die-zukunft-gedacht.de/de/page/68/epoche/130/dokument/579/epochen.html (Ullstein Bild)
[6] castle in Ludwigsbourg  (Alexander Johmann CC):
http://www.reisefuehrer-deutschland.de/baden-wuerttemberg/stuttgarter-region/ludwigsburg/ludwigsburger-schloss-groesstes-barockschloss-deutschlands.htm
[7] cholera sickbay in Hamburg-Eppendorf 1892 (SZ photo): https://www.in-die-zukunft-gedacht.de/de/page/68/epoche/130/dokument/555/epochen.html
[8] world map of WHO with outbreaks of cholera 2010 to 2011: https://rocketcare.utoledo.edu/disastermedicine/?p=6877
[9] world map with the outbreak of cholera from 1842 to 1862: http://brianaltonenmph.com/biostatistics/risk-management/
[10] filtration plant in Hamburg on the Elbe island "Kaltehofe" in 1893: http://de.wikipedia.org/wiki/Kaltehofe
[11] Well houses with filtration equipment on the island of "Kaltehofe" near Hamburg: http://fotos.cconin.de/kaltehofe/kaltehofe10.htm
[12] Max von Pettenkofer, portrait: http://de.wikipedia.org/wiki/Max_von_Pettenkofer
[13] Rudolf Virchow, portrait: http://de.wikipedia.org/wiki/Rudolf_Virchow
[14] Max von Pettenkofer in his age with full beard: http://www.orden-pourlemerite.de/mitglieder/max-joseph-von-pettenkofer?m=3&u=4&p=3
[15] tuberculosis pathogen (threads): http://www.wissenschaft.de/wissenschaft/hintergrund/292020.html?page=2
[16] Robert Koch with microscope: http://www.apotheken-wissen.de/welt-tuberkulose-tag/
[17] German cholera expedition in Alexandria in 1883 with Robert Koch: http://heureka-stories.de/Erfindungen/1876---Die-Bakteriologie/Die-ganze-Geschichte
[18] Louis Pasteur in 1885: http://inspirationalartworks.blogspot.com/2010/05/edelfelt-portraits.html?zx=56315e750d0cf44d
[19] Cholera pathogen "Vibrio cholerae", popular name "comma bacillus": http://de.wikipedia.org/wiki/Vibrio_cholerae
[20] Hamburg Virgin bridge (Jungfernstieg) in 1890 with horse-drawn vehicles: http://commons.wikimedia.org/wiki/File:Hamburg_Jungfernstieg_1890.png
[21] Hamburgs "path district" ("Gängeviertel") in 1893: http://de.wikipedia.org/wiki/G%C3%A4ngeviertel
[22] Archibald Leman Cochrane, portrait: http://www.spartacus.schoolnet.co.uk/SPcochrane.htm


^