Bio-Rohkost-Produkte und mehr - kommt mit der Post!
Kraftvolle Produkte von Regenbogenkreis

Heilung und Vorbeugung durch Nahrung - Regenbogenkreis - Lübeck - Versand: D, Ö, CH
Rohköstlichkeiten
Regenwaldprodukte
Algen (Ausleitung)
Energetisierung von Wasser
Bücher+DVDs (Kochen+Heilen)

Kontakt / contact     Hauptseite / page
                  principale / pagina principal / home     zurück
                  / retour / indietro / atrás / back
ESP

Merkblatt: Die Karies (Zahnkaries)

Vom Zucker zum Karies und zurück

von Michael Palomino (2009)

Teilen / share:

Facebook



Natürlich bleiben
Aqua Pond24. de Ihr Partner für
                              Aquarium, Aquaristik, Teich und Koi

Aqua-Pond24 (Bayern) - Versand: D, Ö, CH, Lux


Lebensmittel, die garantiert Karies verursachen

-- Getränke, die Zucker und Citronensäure gleichzeitig enthalten, fressen die Zähne weg: Limonaden, Coca Cola
-- Getränke mit Zucker und Milchsäure: gezuckerte Konsensmilch
-- Speisen, die so an den Zähnen haften, so dass sie nur schlecht geputzt werden können: alle Sachen, die Caramel enthalten (Mars, manche Eissorten), Honig


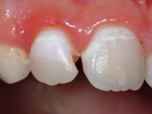
Der Beginn von Karies: weisse Flecken - braune Punkte

"Kreidefleck" an einem vorderen Schneidezahn (02) Kreidefleck an einem vorderen
                          Schneidezahn (02) So fängt der Karies immer an: In den
                          Grübchen ("Fissuren") der
                          Backenzähne bleiben Speisereste oder
                          Zahnbelag, und dann sieht die Karies
                          kreuzartig aus

So fängt der Karies immer an: In den Grübchen ("Fissuren") der Backenzähne bleiben Speisereste oder Zahnbelag, und dann sieht die Karies kreuzartig aus
Kugel-Diamantbohrer, Schema
Kugel-Diamantbohrer,
                        Schema Krone: die Konuskrone für den Backenzahn
                        oder Mahlzahn Krone:  die Konuskrone für den Backenzahn oder Mahlzahn


Der Zahn

Der offene
                        Unterkiefer im Modell zeigt, wie weit die Zähne
                        im Kiefer verwurzelt sind. Auf dem Kiefer sitzt
                        das Zahnfleisch. Der offene Unterkiefer im Modell zeigt, wie weit die Zähne im Kiefer verwurzelt sind. Auf dem Kiefer sitzt das Zahnfleisch [19], auch "Gingiva" genannt [20]. Der weiss dargestellte Teil der Zähne ist die Zahnkrone aus Zahnschmelz. Der ocker dargestellte Teil der Zähne ist  der Zahnhals und die Zahnwurzelteil aus Dentin. Das Gebiss ist unvollständig, weist aber die wichtigsten Zähne auf: Schneidezähne, Eckzähne, Prämolaren, Molaren mit zwei Wurzeln, und zuhinterst ein Weisheitszahn, der noch nicht durchgebrochen ist [6].

Wenn im Greisenalter ein Knochenrückgang zu beklagen ist (Atrophie), so fallen alle Zähne aus und die Person hat einen sogenannten "Greisenkiefer" [20].

Zähne sind aufgebaut (von innen nach aussen):
-- Zahnpulpa in der Pulpakammer ("Nerv" [4]) mit Wurzelkanal zum Zahnbett (Parodontium) [5]
-- Zement
-- Dentin
-- Zahnschmelz [5]. Die Zahnkrone ist mit Zahnschmelz umgeben, die härteste Substanz des Körpers, mit einem hohen Anteil an anorganischen Bestandteilen [34].

Die Zahngestalt wird von oben nach unten eingeteilt in
-- Zahnkrone (Zahnbereich über dem Zahnfleisch)
-- Zahnhals (Zahnbereich, der vom Zahnfleisch abgedeckt ist)
-- Zahnwurzel (Zahnbereich, der vom Kieferknochen gehalten wird) [5].

Zahn, Schema eines Schneidezahns mit
                          Beschriftung, von innen nach aussen:
                          Zahnpulpa, Zahnwurzel, Blutgefässe und Nerven,
                          Zahnbein (Dentin), Zahnschmelz, Zement,
                          Alveolarknochen; von oben nach unten: Krone
                          [Zahnkrone], Zahnhals, Zahnwurzel [45].
Zahn, Schema eines Schneidezahns mit Beschriftung, von innen nach aussen: Zahnpulpa, Zahnwurzel, Blutgefässe und Nerven, Zahnbein (Dentin), Zahnschmelz, Zement, Alveolarknochen; von oben nach unten: Krone [Zahnkrone], Zahnhals, Zahnwurzel [45].
x
Zahn, Schema eines Backenzahns oder
                          Mahlzahns mit Beschriftung, von innen nach
                          aussen: Pulpa, Dentin, Dentinkanäle,
                          Zahnschmelz, Zement, Kieferknochen [46]
Zahn, Schema eines Backenzahns oder Mahlzahns mit Beschriftung, von innen nach aussen: Pulpa, Dentin, Dentinkanäle, Zahnschmelz, Zement, Kieferknochen [46]

Die meisselförmigen bzw. schaufelförmigen Schneidezähne sowie die Prämolaren haben nur eine Zahnwurzel, die Mahlzähne dagegen zwei Zahnwurzeln [34].

Backenzahn (Mahlzahn,
                "Molar"), eine einigermassen realistische
                Darstellung
Backenzahn (Mahlzahn, "Molar"), eine einigermassen realistische Darstellung

Jeder Backenzahn (Molar [und Prämolar]) hat jeweils ein Grübchen (Fissur), die so genannte Zahnfurche

Die Grübchen (Fissuren) der Backenzähne (Molaren)



Jeder Backenzahn (Molar und Prämolar) hat
                          jeweils ein Grübchen (Fissur), die so genannte
                          Zahnfurche (hier ein Schema im Querschnitt)
Jeder Backenzahn (Molar und Prämolar) hat jeweils ein Grübchen (Fissur), die so genannte Zahnfurche (hier ein Schema im Querschnitt)
Hier
                          sind die Zahnfurchen (Fissuren) der
                          Backenzähne in einer Zeichnung dargestellt,
                          mit dem ersten und zweiten Prämolar, mit dem
                          ersten und zweiten Molar und mit dem
                          Weisheitszahn, dem dritten Molar [44]. Man
                          sieht, dass jeder Mahlzahn seine eigene
                          Furchenzeichnung hat: der erste Prämolar wie
                          ein Brücke, der zweite Prämolar ähnlich des
                          Sternzeichens Fische, der erste Molar wie ein
                          grosser Baum (Zeder), der zweite Molar wie ein
                          Kreuz, und der dritte Molar (Weisheitszahn)
                          wie ein Fünfstern [6].
Hier sind die Zahnfurchen (Fissuren) der Backenzähne in einer Zeichnung dargestellt, mit dem ersten und zweiten Prämolar, mit dem ersten und zweiten Molar und mit dem Weisheitszahn, dem dritten Molar [44]. Man sieht, dass jeder Mahlzahn seine eigene Furchenzeichnung hat: der erste Prämolar wie ein Brücke, der zweite Prämolar ähnlich des Sternzeichens Fische, der erste Molar wie ein grosser Baum (Zeder), der zweite Molar wie ein Kreuz, und der dritte Molar (Weisheitszahn) wie ein Fünfstern [6].

Die Grübchenkaries - versiegelte Grübchen

Und dieses Grübchen (Fissur, Zahnfurche) in den Backenzähnen ist jeweils immer der Anfang von Karies (so genannte "Grübchenkaries", "Fissurenkaries"), wenn von Anfang an nicht richtig geputzt und kontrolliert wird [3], eine so genannte "Prädeliktionsstelle" [12], und viele dumme Eltern wissen das einfach nicht, weil die dummen Regierungen diese Gefahr vor Karies nicht vermitteln, und die Medien informieren die Bevölkerung auch nicht... [3].

So fängt der Karies immer an: In den
                          Grübchen ("Fissuren") der
                          Backenzähne bleiben Speisereste oder
                          Zahnbelag, und dann sieht die Karies
                          kreuzartig aus vergrössernSo fängt der Karies immer an (hier ein erster und ein zweiter Molar-Mahlzahn): In den Grübchen ("Fissuren") der Backenzähne bleiben Speisereste oder Zahnbelag, und dann sieht die Karies kreuzartig aus (Grübchenkaries, Fissurenkaries) [16].

Die heutige Zahntechnik kann diese Grübchen mit Kunststoff versiegeln [12,17]: Der Zahnschmelz wird <mit Säure oberflächlich leicht angeraut und mit einer dünnen Kunststoffschicht überzogen> [12]. Dies ist auf alle Fälle angebracht, weil diese vielen verschiedenen Grübchen ("Fissuren") oft unzugänglich sind und geradezu Karies provozieren [17].

Ein
                        Mahlzahn mit versiegelten Grübchen
                        ("Fissuren"), mit Grübchenversiegelung
                        / Fissurenversiegelung Ein erster Molar-Mahlzahn mit versiegelten Grübchen ("Fissuren"), mit Grübchenversiegelung / Fissurenversiegelung

<Die Beschichtung der Grübchenversiegelung nutzt sich im Laufe der Zeit ab und sollte kontrolliert und bei Bedarf erneuert werden.> [12]

Milchzähne sind weicher und deswegen mehr gefährdet als die bleibenden Zähne
Die Zähne des Milchgebisses sind weicher und somit schneller von Karies durchbrochen, da der Zahnschmelz maximal 1 mm stark ist. Für die Milchzähne gilt also besondere Pflege [29].


Die erste Vorstufe von Karies: Zahnbelag (Plaque)

Zahnbelag ist normalerweise gelb [31], bei Rauchern grau [32].

Zahnbelag (Plaque), Schema: Die Zahnärzte
                          teilen die Plaque an Zähnen verschieden ein,
                          je nach Plaque-Befall des Zahns zwischen 0
                          Plaque (Nr. 0) und über 2/3 Plaque (Nr. 5)
                          [15].
Zahnbelag (Plaque), Schema: Die Zahnärzte teilen die Plaque an Zähnen verschieden ein, je nach Plaque-Befall des Zahns zwischen 0 Plaque (Nr. 0) und über 2/3 Plaque (Nr. 5) [15].
x
Gelber Zahnbelag
                        (Plaque), hier vor allem in den
                        Zahnzwischenräumen, aber auch in Zahnfurchen gut
                        zu sehen
Gelber Zahnbelag (Plaque), hier vor allem in den Zahnzwischenräumen, aber auch in Zahnfurchen gut zu sehen [43]
"Angefärbte" Plaque, mit einer
                        Farbtablette sichtbar gemacht
"Angefärbte" Plaque, mit einer Farbtablette sichtbar gemacht [15]

Zucker und andere Kohlehydrate sind die Voraussetzung für die Kariesbildung. In den Speiseresten im Mund sind die Bakterien, die dann Säuren bilden, und wenn man die Zähne nicht putzt bzw. wenn die Speiseresten (oder der Zucker oder andere Kohlehydrate) lange im Mund verbleiben können, so wird der Zahnschmelz durch die Säuren schrittweise aufgelöst [8].

Werden Zähne nur oberflächlich geputzt, so bleibt auf den Zähnen Zahnbelag (Plaque) kleben [11]. Zahnbelag (Plaque) ist eiweisshaltig, zuckerhaltig und bakterienhaltig, hellgelb bis dunkelgelb und deswegen nur schwer erkennbar [31]. Plaque kann aber mit "Färbetabletten" (Kau- oder Lutschtabletten) sichtbar gemacht werden [11]. Bei Rauchern ist der Zahnbelag "perlgrau" [32].

Die Bakterien im Zahnbelag (die Plaque-Bakterien)

Im Zahnbelag (Plaque) sind die Bakterien drin, die Eigenzucker produzieren und so Säuren freisetzen. Und diese Säuren zerfressen dann die Zähne. Ein starker Zerstörer ist das Bakterium Streptococcus Mutans, <ein Hauptbewohner der Plaque, und kann sich durch die Produktion von "Eigenzucker" auch an glatte Oberflächen wie z.B. Zahnschmelz heften und so aggressive Säuren freisetzen.> [34]

Lebensmittel gegen Karies

Entwicklungsländer mit "starken" Zähnen: Dort werden auch die Eierschalen gegessen

Es gibt aber "Entwicklungsländer" in Afrika, deren Menschen sehr gute und starke Zähne haben, weil die traditionelle afrikanische Ernährung sehr viel Kalk beinhaltet, z.B. indem Eier mit den Eierschalen gegessen werden bzw. die Eierschalen werden zerkaut oder können gemahlen und als Pulver in Milch oder Wasser eingenommen werden [3]. Und in diesen Ländern gibt es nicht viele süsse Lebensmittel der "Zivilisation", die mit Zucker und Säuren die Zähne kaputtmachen [6]. In anderen "Entwicklungsländern" wie in Süd-"Amerika" in Peru werden die Zähne der Bevölkerung systematisch mit Zucker und Säuren in Lebensmittel und Getränken kaputtgemacht [3].

Fluoridierung von Lebensmitteln gegen Karies

Gewisse "Industrieländer" fluoridieren Speisesalz [7] oder das Trinkwasser [3], so dass die gesamte Bevölkerung weniger Karies hat [7].

Karies-Lebensmittel - die "Kariogenität"

Zucker + Säuren = Karies

Wenn in Lebensmitteln Zucker und Säuren gleichzeitig enthalten sind, so fördert dies die Kariesbildung sehr. Das sind
-- alle Lebensmittel (Speisen und Getränke), die Zucker und Zitronensäure gleichzeitig beinhalten (z.B. gewisse Kuchenfüllungen wie beim  Birnenweggen, chemisch präpariertes Apfelmus in Dosen, viele Limonaden, viele Bonbons) [9]
-- alle Lebensmittel (Speisen und Getränke), die Zucker und eine andere Säure gleichzeitig beinhalten (z.B. Getränke mit Zucker und Ananas wie in Peru die "Chicha morada", oder die Sojamilch in Peru, die nicht nur Milchsäure enthält, sondern auch noch gezuckert ist, oder die gezuckerte Kondensmilch in der Schweiz und in Peru) [3].

Karies lässt sich sehr vermeiden, wenn man auf Speisen und Getränke verzichtet, die Zucker und / oder Säuren enthalten [10], bzw. die Lebensmittelindustrie kann Karies in der Bevölkerung verhindern, wenn statt Zucker alternative Süssstoffe und keine Säuren als Konservierungsstoffe mehr eingesetzt werden. Als Getränk nimmt man z.B. Hahnenwasser mit Zitrone [3], in "Entwicklungsländern" Mineralwasser aus Flaschen oder abgekochtes Wasser mit Zitrone, weil Hahnenwasser nicht sauber ist und oft zu einer Hepatitis A führt [27].

Es hängt aber nicht nur am Zucker, ob Lebensmittel die Zähne für Karies anfällig machen. Neuere Untersuchungen besagen, dass auch gekochte Stärke anfällig auf Karies macht und eine grössere "Kariogenität" besitzen als Zucker (Kartoffelchips, Pommes Frites). Wieso ist das so: <Süsse Stoffe werden innerhalb von etwa 2 Stunden abgebaut. Bei Stärkeprodukten ist der Zeitraum, in dem Stärke zu Glukose abgebaut wird, wesentlich länger.> [28]

Am schlimmsten bleiben aber sicherlich die Lebensmittel und Getränke, die gleichzeitig Zucker und Säuren enthalten [6].

Milchsäure z.B. ist ein Stoffwechselprodukt, das durch Milchsäurebakterien aus Zucker gebildet wird, das den Zahn entkalkt und Karies auslöst. Milchsäure ist auch in Sauerkraut oder in saurer Milch enthalten [29].

Man müsste also gewisse Zuckerungen von Milchprodukten absolut verbieten, z.B. die gezuckerte Kondensmilch, die gezuckerte Sojamilch etc. [6].

Die zweite Vorstufe von Karies: Der "Kreidefleck"

Wenn der Zahnbelag (die Plaque) nicht regelmässig weggeputzt oder durch eine Zahnhygienikerin oder durch einen Zahnarzt entfernt wird, so können sich weisse Flecken auf den Zähnen bilden, die so genannten "Kreideflecken" [2], englisch "White Spot" [38]. Das ist die zweite Vorstufe von Karies [2]:

Kreidefleck an einem
                        vorderen Schneidezahn (01)
Kreidefleck an einem vorderen Schneidezahn (01)
Kreidefleck an einem vorderen
                          Schneidezahn (02)
vergrössernKreidefleck an einem vorderen Schneidezahn (02)
xxxxxxxxxxxxxxxxxxxxxxxx
Auf
                          dem Foto sind viele weisse Flecken
                          ("Kreideflecken") zu sehen, die
                          Vorstufe von Karies, und ausserdem sind vier
                          Zähne von Karies derart angefressen, dass
                          Teile der Zähne bereits fehlen. Die Zahnkaries
                          hatte scheinbar leichtes Spiel, weil die
                          Person kaum die Zähne putzt und die Wirtschaft
                          Produkte verkauft, die viel Zucker und
                          Zitronensäure oder andere Säuren enthalten
                          (Limonaden, Birnenweggen, Getränke mit Zucker
                          und Ananas etc.). Die Karies ist zwischen den
                          Zähnen entstanden und hat jeweils gleich zwei
                          Zähne auf einmal angefressen. Mit einer
                          wöchentlichen Reinigung mit einem Dentalfaden
                          ("Zahnseide") wäre das nicht
                          passiert ... [14]
Auf dem Foto sind viele weisse Flecken ("Kreideflecken") zu sehen, die Vorstufe von Karies, und ausserdem sind vier Zähne von Karies derart angefressen, dass Teile der Zähne bereits fehlen. Die Zahnkaries hatte scheinbar leichtes Spiel, weil die Person kaum die Zähne putzt und die Wirtschaft Produkte verkauft, die viel Zucker und Zitronensäure oder andere Säuren enthalten (Limonaden, Birnenweggen, Getränke mit Zucker und Ananas etc.) [14].

Die zweite Vorstufe von Karies: Der "Kreidefleck" durch die Entkalkung des Zahnschmelzes - Behandlung von "Kreideflecken" - die Prävention mit Zahnpasten mit Fluor zum Aufbau von Zahnschmelz - Kontrollen

Der "Kreidefleck" ist die [zweite] Vorstufe zur Karies (auch "Initialkaries" (caries insipiens) genannt): Die Karies ist im Anfangsstadium, es handelt sich um eine raue, kreidig verfärbte Stelle im Schmelz an der Zahnoberfläche [2].

Der "Kreidefleck" entsteht allgemein durch Verarmung an Mineralien, bzw. wenn dem Zahnschmelz Kaliumsalze entzogen werden [10]. Wenn es zum Verlust von Mineralien im Zahnschmelz kommt (z.B. durch eine kariöse Entkalkung einer Stelle des Zahnschmelzes durch Überschuss von Wasserstoffionen) in Kombination mit Zahnbelag (Plaque, die schwache Säuren enthält), so bildet sich ein so genannter Kreidefleck [5].

Ein Verlust von Mineralien im Zahnschmelz kommt auch regelmässig bei schwangeren und stillenden Frauen vor, weil das Kind die Mineralien aus dem Körper der Mutter saugt [27].

Die Zähne werden auch kariesanfällig, wenn die Nahrung zu wenig Kalk enthält, also z.B. beim Fehlen von Milchprodukten und Eiern [11].

Behandlung der "Kreideflecken"
Kreideflecken können mit Fluoridgel behandelt werden [6]. Der Zahnarzt schmiert die Zähne des Patienten mit einem Fluoridgel ein [3], wodurch die so genannte "Remineralisation" erfolgt, bei guter Mundhygiene [10]. Es kann sein, dass die Kreideflecken etwas grösser sind und die Behandlung wiederholt werden muss. Also werden die Zähne einmal pro Woche über 2 bis 3 Wochen mit Fluoridgel eingeschmiert [3].

Die regelmässige Kontrolle beim Zahnarzt zur Entdeckung von Plaque und "Kreideflecken"
Bei Kindern können sich Kreideflecken sehr schnell entwickeln [weil Kinder sehr viel Zucker naschen, und weil die Milchzähne weicher sind], und deswegen ist eine halbjährliche Kontrolle bei Kindern sinnvoll [5].

Die halbjährliche Kontrolle beim Zahnarzt in "Entwicklungsländern" - die fehlende Prävention durch Zahnpasten mit Fluorid und zum Aufbau von Zahnschmelz

Eine halbjährliche Kontrolle für Erwachsene zur Entdeckung der "Kreideflecken" sollte vor allem in Ländern durchgeführt werden, wo es keine guten Zahnpasten wie Elmex, Aronal und Meridol gibt, also in "Entwicklungsländern" wie Peru, wo die Regierung bis heute (2009) scheinbar keine Minister hat, die sich in der Prävention gegen Karies auskennen, und wo die staatliche Prävention gegen Karies entsprechend nicht oder kaum existiert, bzw. im Urwald existiert bis heute (2009) oft gar keine Zahnheilkunde, und wo die traditionelle Ernährung nicht viel Kalk beinhaltet. Prävention mit Elmex und Aronal existiert in Peru nicht, die Zahnpasten sind in Peru aus unverständlichen Gründen nicht im Angebot [3]. Dies dürfte auch für andere "Entwicklungsländer" zutreffen, ein absolut unnötig trauriger Zustand für die Bevölkerungen [6].

Prävention gegen Karies bzw. gegen Kreideflecken: Fluorprophylaxe mit Fluorid-Gelee, fluoridhaltigem Salz oder Fluorid-Tabletten

Fluoride zur Fluoridierung sind Aminfluorid, Magnesiumfluorid und Natriumfluorid [12]. Fluorid verhindert die Bildung zahnschädigender Bakterien und somit die Bildung weisser Kreideflecken und von Karies
-- mit fluoridhaltiger Zahnpaste oder Fluor-Gelee
-- mit Einpinseln der Zähne mit Fluoridlösungen
-- mit Auftragen von Fluorid-Lack
-- mit fluoridiertem Speisesalz
-- an Kinder durch Tabletten oder Zusätze in Nahrungsmitteln [12].

<Während der Zahnbildung wird Fluor von innen her in den Schmelz eingelagert, nach der Zahnbildung reichert es sich aus der Mundflüssigkeit in den oberflächlichen Schmelzschichten an. Fluor wirkt einer Entmineralisierung des Schmelzes und somit der Karies auf verschiedene Weise entgegen:
1) es hemmt den Bakterienstoffwechsel in der Plaque, wodurch weniger Zucker zu Säure vergoren wird,
2) fluorhaltige Schmelzkristalle sind weniger säurelöslich als das Kalzium-Apatit des normalen Schmelzes.> [12]

Zu viel Fluor darf es aber auch nicht sein, denn das kann zur "Fluorose" führen [12].

Fluorose

Zahn mit Fluorose durch massive
                          Überdosierung von Fluor
vergrössernZahn mit Fluorose durch massive Überdosierung von Fluor
Hier sind alle Zähne von Fluorose
                          betroffen, durch massive Überdosierung von
                          Fluor
vergrössernHier sind alle Zähne von Fluorose betroffen, durch massive Überdosierung von Fluor

Fluor-Zahnpasta und Zahnschmelzaufbau in einem: Elmex und Aronal
In "Industrieländern" in Europa ist es möglich, mit vitaminhaltiger Zahnpasta Aronal am Morgen und mit Fluor-haltiger Zahnpasta Elmex am Abend eine perfekte Mundhygiene 100%-ig ohne Karies und einen starken Zahnaufbau ohne Empfindlichkeiten zu erreichen. Man kann auch die Elmex sensitive benützen, wenn man vor der normalen Elmex Angst hat.

Wenn man die Zähne gut mit Elmex und Aronal pflegt, dann genügt eine jährliche Kontrolle. In "Entwicklungsländern", wo die Regierungen und die Journalisten keine Ahnung haben und Elmex und Aronal nicht vorhanden sind, muss man die Zahnpflege entsprechend umstellen: Man muss viel gründlicher putzen, und man muss sich die Zähne alle halbe Jahre mit Fluorid-Gelee gelieren lassen. Wer diese Umstellung nicht vornimmt und mit anderen, weniger wirksamen Zahnpasten gleich putzt wie mit Aronal und Elmex, der bekommt dann die "Migrationskaries" [6].

Elmex und Aronal im
                        Doppelpack, das ist in Europa gegen Karies und
                        sensible Zähne eine bewährte Prophylaxe, aber in
                        den "Entwicklungsländern" wie z.B. in
                        Peru gibt es diese beiden Zahnpasten nicht! [6] Elmex und Aronal im Doppelpack, das ist in Europa gegen Karies und sensible Zähne eine bewährte Prophylaxe, aber in den "Entwicklungsländern" wie z.B. in Peru gibt es diese beiden Zahnpasten nicht! [6]

Prävention gegen Karies zwischen den Zähnen mit Zahnfaden ("Zahnseide")
Wenn man weiss, dass sich Karies auch zwischen den Zähnen in den Zahnzwischenräumen ansetzen kann und dann gleich zwei Zähne gleichzeitig auffrisst, erst dann weiss man die Zahnseide zu schätzen. Man spannt die Zahnseide zwischen die Zähne und reibt mit dem Zahnfaden an den Zahnseiten den Zahnbelag ab [6].

Zahnseide, z.B. von
                        glister (amway)
Zahnseide, z.B. glister (von amway)
Und dann braucht es
                        etwa zwei bis dreimal Übung, bis man den Dreh
                        raushat, wie man mit dem Faden an alle
                        Seitenwände der Zähne rankommt. Zwischen den
                        Schneidezähnen den Faden anzubringen ist nicht
                        so schwer, aber für die hinteren Mahlzähne
                        braucht es schon etwas Routine, weil die
                        Handstellungen jeweils ändern.
Und dann braucht es etwa zwei bis dreimal Übung, bis man den Dreh raushat, wie man mit dem Faden an alle Seitenwände der Zähne rankommt. Zwischen den Schneidezähnen den Faden anzubringen ist nicht so schwer, aber für die hinteren Mahlzähne braucht es schon etwas Routine, weil die Handstellungen jeweils ändern. Die Handstellungen sind auch verschieden, je nachdem, ob man am Oberkiefer oder am Unterkiefer mit Zahnseide putzt [27].

Bei fehlender Prävention und fehlender Kontrolle: Der Kreidefleck wird zu Karies

Wenn der Kreidefleck nicht behandelt wird, so bricht die Oberfläche des Kreideflecks ein und es bildet sich harte, dunkle Karies [5], die sich in den Zahn hineinfrisst, ein so genanntes "Kariesloch" [6]. Die Karies kann sich tief in die Zähne hineinfressen, so dass der Zahnarzt dann von einer "Mine" spricht... [27]


Karies: Der Befund

Zahnkaries  wird auch als "Zahnfäule" bezeichnet [39].

Die Bezeichnung der Orte, wo Karies am Zahn entsteht und wo die Füllung angebracht wird (Kavität)
Die Karies wird ausgebohrt. So entsteht eine "Kavität" ("Höhle"), und dann wird mit einer Füllung aufgefüllt.
Karies-Kavität gemäss Black, Klasse 1
Karies-Kavität gemäss Black, Klasse 1
xxxxxxxxxxxxxxxxxxxxxxxxxxxx
Karies am Mahlzahn und Backenzahn in den Furchen (Fissuren)
x
Karies-Kavität gemäss Black, Klasse 2
Karies-Kavität gemäss Black, Klasse 2
xxxxxxxxxxxxxxxxxxxxxxxxxxxx
Karies am Mahlzahn und Backenzahn an den Seiten (lateral). [Wenn diese Karies sich im Zahnzwischenraum entwickelt, dann kann leicht auch der Nachbarzahn mit Karies "angesteckt" werden].
x
Karies-Kavität gemäss Black, Klasse 3
Karies-Kavität gemäss Black, Klasse 3
xxxxxxxxxxxxxxxxxxxxxxxxxxxx
Karies am Schneidezahn an den Seiten. [Auch hier kann die Karies den Nachbarzahn "anstecken"].
Karies-Kavität gemäss Black, Klasse 4
Karies-Kavität gemäss Black, Klasse 4

Karies am Schneidezahn an den Seiten tief bis tief ins Zahnfleisch [die Zahnwurzel ist gefährdet]

Karies-Kavität gemäss Black, Klasse 5
Karies-Kavität gemäss Black, Klasse 5

Karies am Schneidezahn tief unten im Zahnfleischbereich [die Zahnwurzel ist sehr gefährdet].







[28]


Die verschiedenen Tiefen von Karies am Zahn

Kariesarten

-- Schmelzkaries (caries superficialis, Abk. C1): Die Karies ist im Zahnschmelz, noch an der "Oberfläche" des Zahns [2]
-- Dentinkaries (caries media): Die Karies hat das Dentin erreicht und ist bis in die Mitte des Zahns (deswegen "media"), bis ins Dentin, vorgedrungen [2]
-- tiefe Karies (caries profunda) [4]
-- Zahnfäule (caries dentium) [2]

Kariesarten (Karieslöcher und Behandlung)
Der erste Kariesort ist immer das Grübchen (Fissur) [3].
Oberflächenkaries (caries superficialis),
                          Schema, die Behandlung (das Ausbohren der
                          Kariesstelle) ist schmerzlos [4]
Oberflächenkaries (caries superficialis) [4], bzw. die Fissurenkaries (Grübchenkaries)  [12], Schema. Die Behandlung (das Ausbohren der Kariesstelle) ist schmerzlos [4]
x
Mittlere Karies (caries media), Schema,
                          die Behandlung (das Ausbohren der
                          Kariesstelle) ist schmerzlos [4]
Mittlere Karies (caries media), Schema [4]. Die Grübchenkaries hat sich weiter in die Tiefe gefressen [6]. Die Behandlung (das Ausbohren der Kariesstelle) ist schmerzlos [4]
x
Tiefe Karies (caries profunda), Schema,
                          die Karies ist nahe am Zahnmark, das sich in
                          der Zahnmarkhöhle befindet (allgemein als
                          "Nerv" bezeichnet), und die
                          Behandlung (das Ausbohren der tiefen
                          Kariesstelle) ist mit Schmerzen verbunden,
                          eventuell ist das Zahnmark ("Nerv")
                          auch schon mit Karies infiziert [4]
Tiefe Karies (caries profunda), Schema, die Karies [Grübchenkaries] ist nahe am Zahnmark, das sich in der Zahnmarkhöhle befindet (allgemein als "Nerv" bezeichnet), und die Behandlung (das Ausbohren der tiefen Kariesstelle) ist mit Schmerzen verbunden, eventuell ist das Zahnmark ("Nerv") auch schon mit Karies infiziert [4]

Wenn die Karies bis zur Wurzel durchdringt, so liegt Wurzelkaries vor. Dann gibt es nur Wurzelbehandlung oder Zahnentfernung [8].

Die Selbstkontrolle - die Kontrolle beim Zahnarzt

Man kann mit einem beleuchteten Spiegel und einem Zahnarztspiegel selber seine eigenen Zähne nach eventuellem Karies absuchen, wenn man die verschiedenen Kariesarten und die Vorstufe des "Kreideflecks" kennt [3]. Da sich aber die Karies bzw. die Kreideflecken auch an kaum sichtbaren Stellen ansetzen, ist die Kontrolle beim Zahnarzt absolut notwendig [5].

Karies unter den Zahnfüllungen

Es ist so, dass sich nicht nur auf den Zähnen Karies bilden kann, sondern auch unter den gelegten Zahnfüllungen [27]. Wenn die Füllungen nicht gut gelegt sind bzw. der Randschluss nicht nahtlos verläuft [32], oder wer seine gefüllten Zähne nicht gut pflegt, der wird bei der Revision seiner Zahnfüllungen staunen, dass der Zahnarzt auch unter den Füllungen auf neue Karies stösst. So werden die Löcher im Zahn immer tiefer, die Zähne werden immer empfindlicher, weil das Loch immer näher an den Nerv herankommt, und die Kariesfüllungen werden in Rechnung gestellt. Man soll also nicht darauf hoffen, dass die Füllungen absolut dicht sind, sondern die Infiltration von Karies an den Füllungsrändern ist leider eine Realität, wenn die Zähne nicht gut gepflegt werden [27].

Zahnhalskaries
Karies kann sich auch an frei liegenden Zahnhälsen breitmachen ("Zahnhalskaries") [39].

Karies zwischen den Zähnen ("Interdentalkaries") frisst zwei Zähne gleichzeitig an

Wenn man die Zähne nur unzureichend oberflächlich putzt, und wenn die Zahnzwischenräume nie mit Zahnseide oder durch eine Dentalhygienikerin gereinigt werden, so lagert sich zwischen den Zähnen in den Zahnzwischenräumen ("Interdentalraum") Zahnbelag ("Plaque") ab, der sich dann zu Kreideflecken ("Initialkaries") und schliesslich zu rotbrauner Karies zwischen den Zähnen ("Interdentalkaries") entwickelt [26]. Wenn die Entwicklung nicht entdeckt wird, so kann die Karies in den Zahnzwischenräumen zwei Zähne auf einmal schädigen [27].

Die rotbraune Karies zwischen den
                                  Zähnen greift zwei Zähne gleichzeitig
                                  an. So passiert das, wenn man keine
                                  Ahnung hat und auf die Prävention mit
                                  Zahnseide oder Dentalhygienikerin
                                  verzichtet, hier sichtbar an einer
                                  Zahnpatientin aus Peru (2009).

Die rotbraune Karies zwischen den Zähnen greift zwei Zähne gleichzeitig an. So passiert das, wenn man keine Ahnung hat und auf die Prävention mit Zahnseide oder Dentalhygienikerin verzichtet, hier sichtbar am Gebiss einer Zahnpatientin aus Peru (2009).

Karies zwischen den
                        Zähnen: Die rotbraune Karies auf diesem Foto ist
                        zwischen den Zähnen entstanden und hat jeweils
                        gleich zwei Zähne auf einmal angefressen. Mit
                        einem täglichen Zähneputzen und mit einer
                        wöchentlichen Reinigung mit einem Dentalfaden
                        ("Zahnseide") zwischen den Zähnen wäre
                        das nicht passiert ... [14] Karies zwischen den Zähnen: Die rotbraune Karies auf diesem Foto ist zwischen den Zähnen entstanden und hat jeweils gleich zwei Zähne auf einmal angefressen. Mit einem täglichen Zähneputzen und mit einer wöchentlichen Reinigung mit einem Dentalfaden ("Zahnseide") zwischen den Zähnen wäre das nicht passiert ... [14]

Die Karies setzen sich eigenartigerweise meistens symmetrisch an, auf der rechten und linken Kieferseite jeweils gleich. Das ist nicht nur bei diesem Foto so, sondern das ist meistens so [11].

Flaschenkaries bei Babys
Kinder, die häufig gesüsste Flaschennahrung erhalten, bekommen an den Oberkieferfrontzähnen eine sogenannte "Flaschenkaries" mit gravierenden Zerstörungen der Milchzähne. Für die angefressenen Schneidezähne müssen dann oft nicht nur Füllungen angewandt werden, sondern auch Überkronungen, oder der zerfressene Zahn muss gezogen werden (Extraktion) [12].

Dumme Eltern füllen ihre Babys mit Zuckertees ab, oder es werden den Babys Honig-Schnuller in den Mund gesteckt, um sie zu "beruhigen", z.T. die gesamte Nacht hindurch [30]. Dumme, ahnungslose Eltern sind zu allem fähig... [6] und die Kinderzahnheilkunde ("Pädodonthie") hat dann die Arbeit [31] und die dummen Eltern sind dann noch wütend auf das Baby, das so viel "kostet" [27].

Flaschenkaries mit
                        dem Befall fast aller Milchzähne mit Karies Flaschenkaries mit dem Befall fast aller Milchzähne mit Karies. Die dummen Eltern schädigen ihre Kinder mit zuckerhaltigen Säftchen und Honig-Schnullern eventuell fürs ganze Leben, wenn die Milchzähne gezogen werden müssen und benachbarte Zähne sich verschieben. Und die dümmsten Eltern geben dann dem Kind die Schuld, dass es so viel Karies hat und der Zahnarzt so viel kostet...

Die Flaschenkaries:
<Häufig sind alle oberen Schneidezähne komplett zerstört und auch einige Backenzähne zeigen schon Karies. Die Kinder leiden unter Zahnschmerzen, Zahnfleischbluten und wiederkehrenden eitrigen Entzündungen der zerstörten Zähne. Ohne zahnärztliche Therapie wird so nicht nur der kindliche Allgemeinzustand beeinträchtigt, sondern auch die [späteren] bleibenden Zähne nehmen Schaden.> Oft müssen Kinder unter 3 Jahre dann unter Narkose behandelt werden, weil solch kleine Kinder noch nichr ruhig auf einem Stuhl sitzen können [18].

Wenn Milchzähne gezogen werden müssen und eine Lücke bleibt, dann passiert folgendes: Gehen Milchzähne im frühen Kindesalter wegen Karies verloren, so wächst der Kiefer enger heran und die nachfolgenden Zähne haben dann oft nicht ausreichend Platz, so dass die endgültigen Zähne dann kreuz und quer stehen [21]. Wenn die Milchzähne wegen Karies zu früh ausfallen oder entfernt werden, so besteht eine Inaktivitätsatrophie und es kommt zu einem Rückgang des Kieferknochens. Wenn kein Zahnersatz eingepflanzt wird und eine Lücke bleibt, so zieht sich der Kieferknochen noch weiter zurück [26] und die Nachbarszähne links oder rechts und oben bzw. unten verlieren einen Teil ihres Halts [11].

Migrationskaries
Wenn ein Mensch in einem anderen Land aufgrund ihm nicht bekannter Umstände mehr Karies bekommt, so wird diese Karies als "Emigrationskaries" bezeichnet. Die Emigrationskaries ergibt sich z.B.
-- durch veränderte Ernährung mit mehr Zucker [10]
-- durch Unwissenheit über die Zusammensetzung von Getränken (z.B. mit Zucker und säurehaltiger Ananas) [3]
-- durch schlechte bis wirkungslose Zahnpasten im neuen Land, wo es keine Elmex oder Aronal gibt [3].


Die Kariesbehandlung 01: Das Ausbohren der Kariesstelle

Je nachdem, wie tief die Karies bereits in den Zahn eingedrungen ist, wird der betroffene Zahn nun eine Delle oder ein Loch erleiden. Manche Kariespunkte sind nur oberflächlich und schnell zu behandeln, andere Kariesstellen sind wie eine Mine und gehen bis tief in den Zahn hinein. Karies kann sich auch unter den Füllungen bilden, wenn Karies durch Nahtstellen oder Brüche von Füllungen infiltriert. Wenn man also eine Füllung herausnehmen lässt, so können da noch "böse" Überraschungen auf den Patienten / die Patientin warten, denn die Rechnung wird dann entsprechend noch eine Kariesbehandlung beinhalten, oder wenn da noch Spritzen nötig werden, die nicht geplant waren [3].

Die verschiedenen Zahnarzt-Bohrer zum Ausbohren der Kariesstelle
Spitzer Diamantbohrer, Schema
Spitzer Diamantbohrer, Darstellung
Kugel-Diamantbohrer, Schema
Kugel-Diamantbohrer, Darstellung
Projektil-Diamantbohrer, Schema
Projektil-Diamantbohrer, Darstellung
Umgekehrt konischer Diamantbohrer, Schema
Umgekehrt konischer Diamantbohrer, Darstellung

Unterarten der Zahnarzt-Bohrer sind: Kegelbohrer, Versenkbohrer, Rosenbohrer, Fissurenbohrer, Radbohrer, Spiralbohrer [1]

Alternative Methoden gegenüber dem Bohren sind
-- Bohrgel Carisolv
-- Laserbehandlungen
-- Pulverstrahltechniken [28].


Die Kariesbehandlung 02: Die Zahnfüllungen: Das Füllen des ausgebohrten Lochs

Nach der Herstellung der kariesfreien Löcher (die "Kavität" ist erstellt) folgt die "Füllungstherapie" mit verschiedenen Materialien [12], entweder mit flüssigem Füllmaterial oder mit Füllungen zum Einsetzen (Gussfüllung, Einlagefüllung, Inlay) [20].

Die Unterfüllung (Isolationsschicht)
Bei tiefen Karieslöchern wird auf den Lochboden eine Isolierschicht angebracht, um die Pulpa gegen chemische und thermische Reize zu schützen. Es müssen harte, chemisch neutrale und isolierfähige Materialien sein, z.B. Phosphatzement [36].

Über die Unterfüllung folgen die verschiedenen Füllmaterialien (bei oberflächlichen Löchern ohne Tiefe ohne Unterfüllung):

Cyano Veneer
ist ein günstiges, weisses Füllmaterial mit einer sehr kurzen Aushärtungszeit, das aber nicht sehr kaufest ist. Cyano Veneer wird hauptsächlich bei Milchzähnen eingesetzt [4] für Kinder, die noch nicht stark kauen können [6].

Kompositharz
Kompositharze sind <zahnfarbene Füllungsmaterialien aus Kunststoff, der durch anorganische Bestandteile verstärkt wird. Gegenüber reinem Kunststoff haben Komposite wichtige Vorteile. Weil wenig gebohrt werden muss, ist die Komposit-Füllung zahnerhaltend, im Gebrauch nutzen sich Füllungen aus Komposit weniger ab. Bei der Herstellung (Polymerisation) schrumpfen sie zwar weniger, dennoch kann zwischen Zahn und Füllung eine Spalt entstehen und zu erneuter Karies führen.> Die Verankerung erfolgt in Ätz-Klebe-Technik in das vorbereitete Loch ("Kavität") [28].

Zahnfüllungen aus Kompositharz sind nicht sehr haltbar und sollten alle 10 Jahre ausgewechselt werden [11]. Wenn man die gefüllten Zähne über ein paar Monate nicht gut putzt, so kann Karies leicht am Rand der Füllung durchsickern und Karies unter der Zahnfüllung auslösen [3].

Solitaire
<Dieses zahnfarbene Füllungsmaterial (auf Polyglas-Basis) soll der Abriebfestigkeit eines natürlichen Zahns entsprechen und auch für die Backenzähne geeignet sein. Das Material kann sogar, zum Schutz vor Randspaltkaries, Fluorverbindungen auf der Oberfläche speichern.> [34]

Keramik

Keramik-Zähne (Mineralzähne und Mantelkronen) werden aus "dentalkeramischen Massen" hergestellt. Die Komponenten  sind
--  60-80% Feldspat
-- 15-25% Quarz
-- 0-5%  Karolin [5].

Bezeichnungen: Hochleistungskeramik [24].

Inlays
Inlays sind <Einlagefüllung (auch Gussfüllung), dessen Form ausserhalb des Mundes meist durch Gusstechnik hergestellt wird. Sie wird nach Ausarbeitung und Politur mit Zement im ausgebohrten Hohlraum befestigt.> [26]

Pinlays
Ein Pinlay ist ein Inlay mit einem "Pin", also mit einem Verankerungsstiftchen. Das Stiftchen kann unter Umständen den Zahnnerv schädigen [31].

Zähne auch mit Füllungen gut putzen
Es gilt generell die Warnung: Wer sich mit seinen Zahnfüllungen zu sicher fühlt und seine Zähne mit Füllungen nicht täglich richtig putzt, der riskiert Zahnkaries unter den Füllungen, und so wird die Füllung immer grösser [3] und am Ende ist der ganze Zahn weg [6].

Provisorische Zahnfüllungen: Fletcher-Zement
Fletcher-Zement ist ein <provisorisches Verschlussmittel für Kavitäten, enthält Zinkoxid, Gummiarabicum und Mastix.> [12]


Die Kariesbehandlung 03: Das Polieren

Zum Polieren der Füllungen braucht es eigene Werkzeuge, die Finierer und Fräser [12].

Beispiele für Finierer und Fräser
Zum
                        Polieren der Zahnfüllungen braucht es Finierer
                        (hier eine Darstellung)
Zum Polieren der Zahnfüllungen braucht es Finierer (hier eine Darstellung) ...
und
                        Fräser, hier ein knospenförmiger Fräser mit
                        Querhieb (Darstellung)
und Fräser, hier ein knospenförmiger Fräser mit Querhieb (Darstellung).


Die Kariesbehandlung 04: Wurzelbehandlung (Endodontie)

Wurzelkaries
                        (Darstellung)
Wurzelkaries (Darstellung) mit entzündetem Nerv
und Gasbildung unter der  Zahnwurzel [41]
Wurzelbehandlung
                        (Darstellung)
Wurzelbehandlung (Darstellung) [42]

Die Zahnwurzel kann durch Karies angegriffen werden ("Wurzelkaries", "Wurzeloberflächenkaries", kurz WOK) [38]. Eine Wurzelbehandlung ist eine Behandlung des Zahnwurzelkanals, somit also eine Wurzelkanalbehandlung [38,40]. Im Röntgenbild sind entzündete Zahnwurzeln feststellbar (dunkler Schatten). Eventuell muss die erkrankte Zahnwurzel entfernt werden und der Wurzelkanal aufgefüllt und versiegelt werden [40]. Bei Backenzähnen mit zwei Wurzeln bleibt dann noch eine Wurzel, die den Zahn versorgt. Bei Schneidezähnen, Eckzähnen und Prämolaren ist aber nur eine Wurzel vorhanden [13].

Die Verfahren bei einer Wurzelbehandlung

Der Wurzelkanal wird "aufbereitet", ausgehöhlt und ausgespült und für die Füllung vorbereitet. Dann wird der Wurzelkanal mit der Wurzelfüllung gefüllt. Eine "Wurzelkappe" aus Metall deckt den ausgefüllten Wurzelkanal ab. Damit ist eine "Wurzelkanalbehandlung" abgeschlossen. Auf der Wurzelkappe ist ein Wurzelstift, und darauf dann eine "Stiftkrone" oder "Stiftaufbauten" [38].

Die Verfahren heissen auch:

-- Extirpation: <radikale Entfernung erkrankter Organteile oder eines ganzen Organs (Pulpa-Extirpation als Mittel der Devitalisation); wird mit sogenannten Extirpationsnadeln unter örtlicher Betäubung durchgeführt> [10]

-- Wurzelamputation: <Methode zur Erhaltung eines mehrwurzligen Zahnes durch Abtragen einer erkrankten Wurzel> [38]

Abgestorbene Zähne sind im Kältetest feststellbar. Abgestorbene Zähne werden nicht mehr mit Nährstoffen versorgt und werden mit der Zeit spröde und brüchig, und abgestorbene Zähne verfärben sich mit einem Nachdunkeln. Mit Inlays oder Kronen kann man tote Zähne stabilisieren und das Nachdunkeln verschleiern [40].

Die Wurzel kann auch durch Gewaltweinwirkung brechen ("Wurzelfraktur"), längs oder quer [38].


Zahnkronen

Wenn die Zahnhartsubstanz vom Karies total weggefressen ist, dann werden auf die Zahnstümpfe mit Zement neue Zahnkronen angebracht bzw. "einzementiert" [10] mit provisorischen oder definitiven Zementen [39]. Die Kronen werden auch "Onlays" oder "Overlays" genannt [20].

Teilkrone - Verblendkrone
Teilkronen decken den Zahn nur teilweise ab, Vollkronen (Verblendkronen) decken den Zahnstumpf komplett ab. Die Herstellung von Teilkronen erfordert mehr Aufwand. Es werden Halbkronen und Dreiviertelkronen unterschieden [35].

Die Zahnkronen für Schneidezähne
Krone
                        für den Schneidezahn, der Kronen-Aufbau
Krone für den Schneidezahn, der Kronen-Aufbau (Schema) [28]
Kronen: die Jacketkrone für den
                        Schneidezahn
Kronen: die Jacketkrone für den Schneidezahn (Schema) [27]

Stiftzahnkrone
                          ("Stiftzahn", Stiftkrone,
                          Richmond-Krone, Logan-Krone) für Schneidezähne
                          mit geschraubtem Stift
Stiftzahnkrone ("Stiftzahn", Stiftkrone, Richmond-Krone, Logan-Krone) für Schneidezähne mit geschraubtem Stift [34]

Stiftzahnkrone ("Stiftzahn",
                        Stiftkrone, Richmond-Krone, Logan-Krone) für
                        Schneidezähne mit gegossenem Stift [34]
Stiftzahnkrone ("Stiftzahn", Stiftkrone, Richmond-Krone, Logan-Krone) für Schneidezähne mit gegossenem Stift [34]

Stiftzähne werden in den Wurzelkanal zementiert [34]. Stiftzahnkronen sind immer Vollkronen [37].

Die Zahnkronen für Backenzähne
Krone: Metallkrone [29], z.B. Stahlkrone
                          zur Restauration von Milchzähnen und zur
                          provisorischen Versorgung von bleibenden
                          Zähnen bei Kindern [34]

Eine einfache Metallkrone ist eine "Vollgusskrone", aus einem Stück gegossen, mit dünn auslaufendem oder stufigem Rand [37]. Die Metallkrone [29] ist z.B. eine Stahlkrone zur Restauration von Milchzähnen und zur provisorischen Versorgung von bleibenden Zähnen bei Kindern [34]

x

Krone: Metallkeramikkrone: Metallkrone
                          auf dem Zahnstumpf mit Keramik- oder
                          Kunststoffüberzug [29]
Krone: Metallkeramikkrone oder Metallplastikkrone: Die Metallkrone sitzt auf dem Zahnstumpf mit Keramik- oder Kunststoffüberzug [29], auch Veneerkrone [37]

Krone: Die Teleskopkrone ist die
                              Krone für den Backenzahn oder Mahlzahn,
                              mit einem unteren und einem oberen Teil
                              ("Doppelkrone") [35].
Krone: Die Teleskopkrone ist die Krone für den Backenzahn oder Mahlzahn, mit einem unteren und einem oberen Teil ("Doppelkrone") [35].

Krone: die
                          Konuskrone für den Backenzahn oder Mahlzahn
Krone: Die Konuskrone ist die Weiterentwicklung der Teleskopkrone mit einer konischen Form [28]


Zahnverlust und die Folgen bei Zahnlücken

Gründe für Zahnverlust:
-- Karies (Hauptursache für den Verlust der Backenzähne)
-- Zahnfleischerkrankungen
-- Zahnentfernungen aus prothetischen Gründen
-- Entfernen der Weisheitszähne [39]
-- ausgeschlagene Zähne durch Gewalteinwirkung [27].

Die Folgen, wenn ein Zahn im Gebiss fehlt

Wenn ein Zahn fehlt (z.B. am Unterkiefer), so verlängern sich die "Gegenzähne"  gegenüber ("Elongation", z.B. am Oberkiefer) [10]. Die Nachbarzähne neben der Zahnlücke wandern in die Lücke hinein bzw. "rücken nach", und dies in Richtung der Schneidezähne ("Mesialwanderung") [29]. Wenn den Zähnen keine Beachtung geschenkt wird und immer mehr Zähne ausfallen, so bleibt nur noch ein "Restgebiss" [32]. In "Entwicklungsländern" ohne traditionelle Zahnerhaltung durch entsprechende Nahrung wie Eier und Eierschalen werden dann oft alle restlichen Zähne gezogen und Zahnprothesen ("dritte Zähne") verordnet, z.B. im Urwald von Peru, wo Menschen schon mit 22 Jahren keine Zähne mehr haben, weil sie so viel Zuckerlimonade konsumieren und keine Zähne putzen, bzw. weil es der korrupten, peruanischen Regierung eigentlich total egal ist, ob die Bevölkerung Zähne hat oder nicht, und weil deswegen jegliche Erziehung zur Zahnpflege fehlt und alles von den Eltern abhängt, die aber z.T. noch Analphabeten sind, und wenn nicht, das Geld für den Zahnarzt nicht haben und nichts von Chemie verstehen. Sie wissen nicht, dass die Limonaden Zucker und Zitronensäure beinhalten, denn Konsumentenschutz gibt es in "Entwicklungsländern" nicht, und es gibt keinen Kassensturz, der die Industrie dazu drängen würde, Süssstoffe statt Zucker einzuführen [33].

Zahnprothesen

Das können herausnehmbare Teilprothesen oder Vollprothesen sein [39].

Zahnimplantate

Zahnimplantate sind künstliche Zähne, die nach Zahnverlust den Platzhalter spielen [39].

Pasten beim Zahnarzt

Eugenol, schmerzstillende und antibakteriell wirkende Paste
Eugenol - der Hauptbestandteil des Nelkenöls - wird mit Zinkoxidpulver angerührt und wirkt schmerzstillend und antibakteriell in der Notfallzahnmedizin und zum Befestigen von provisorischen Kronen und Brücken [10].

Myrrhetinktur
Myrrhetinktur ist eine zusammenziehend wirkende Mundspülung [29] und lässt kleine Wunden schneller heilen [6]. Man kann damit auch das Zahnfleisch einpinseln [29].

Salbeitee
Salbeitee ist gleichzeitig ein zusammenziehendes Mundwasser [34] und lässt kleine Wunden schneller heilen [6].


Zahnpasta

Sensodyne
ist eine <Zahnpasta gegen hypersensible Zähne, enthält 3% Strontiumchlorid.> [34]

Meridol
ist eine <spezielle Verbindung des organischen Aminfluorid (Olaflur) mit dem anorganischen Zinnfluorid. Wird zur chemischen Plaque-Bekämpfung verwendet [29].


Zahnbürsten

<Die ideale Zahnbürste sollte einen kurzen Kopf mit gradlinig abgeschnittenen, am Ende abgerundeten Borsten aus synthetischem Material (Perlon, Nylon o.ä.) aufweisen.> [39]

Zähneputzen sollte v.a. durch vertikales "Rollen" bestehen, um die Speisereste aus den Ritzen herauszuholen [39].

Schäden durch falsches Bürsten bezeichnet man auch als "Zahnbürstentrauma" [39].

Harte Zahnbürsten und Zahnbürsten mit langen Köpfen sollten also verboten werden, weil sie nur Schaden bereiten: Harte Zahnbürsten zerstören das Zahnfleisch, und mit langen Köpfen kann man nicht genau putzen [6].


Nahrung gegen Karies

Mehle aus Getreiden von Mühlsteinen mit Steinstaub putzen automatisch die Zähne

In einer Studie über Knochen stellte die Anthropologin Bettina Jungklaus fest: Getreide auf Steinen gemahlen enthält Steinstaub, der beim Kauen die Zähne automatisch sauberschmirgelt. Gleichzeitig verkürzen sich die Zähne ein wenig. In der Zeit vor der Einführung der Kartoffel in Europa und vor der Einführung der modernen Mühlsysteme (aus Metall) hatten die Menschen also wegen des Steinstaubs gesündere Zähne [47] - und die afrikanische Bevölkerung, die bis heute ihr Getreide auf Mühlsteinen mahlt, hat diese Zahnputzmethode bis heute bewahrt und brilliert mit gesunden Zähnen gegenüber der "Zivilisation". Mit der Produktion von Mehlen, das auf Mühlsteinen gemahlen wurde, könnte man also in Industrieländern und in anderen Ländern viel Karies verhindern [48].

Auch eine einseitige Ernährung mit Maisbrei schadet den Zähnen, weil sich viel Plaque bildet, z.B. in der Sklaverei bei den Eingeborenen der Guale in Florida. Es wurden ihnen Fische, Meeresfrüchte und Landfrüchte verboten (La Florida Bioarchaeology Project) [47].


-----


n-tv online,
              Logo

8.10.2010: Karies wird beim Küssen übertragen

aus: n-tv online: Wissen: Vorsicht beim Küssen: Zahnkrankheiten sind übertragbar; 8.10.2010;
http://www.n-tv.de/wissen/Zahnkrankheiten-sind-uebertragbar-article1673141.html

<Parodontitis- und Kariesbakterien können beim Küssen übertragen werden. Experten weisen darauf hin, dass vor allem schwerere Fälle von Parodontitis spezielle Keime entwickeln würden, die beim Küssen in andere Münder gelangen können.

Entscheidend für den Ausbruch einer Zahnkrankheit sei aber nicht das Küssen, sondern nach wie vor die Mundhygiene. Das sagte Dietmar Oesterreich, Vizepräsident der Bundeszahnärztekammer. Wer Zähne nicht regelmäßig putzt oder raucht, bietet den Bakterien mehr Angriffsfläche. Parodontitis ist eine Entzündung des Zahnbetts, die zum Rückgang des Zahnfleisches und zur Lockerung von Zähnen führen kann.

Auch Karies, das klassische "Loch im Zahn, wird durch übertragbare Bakterien ausgelöst. Säuglinge sind für diese Krankheit besonders anfällig. Mütter sollten deshalb heruntergefallene Schnuller nie im eigenen Mund, sondern lieber in Wasser reinigen, rät Oesterreich.

dpa>

-----

Spiegel
              online, Logo

17.12.2010: <Kariesschutz: Fluorid schützt anders als gedacht> - die in Grafiken "schützende" Schicht scheint nicht zu stimmen

aus: Spiegel online; 17.12.2010; http://www.spiegel.de/wissenschaft/medizin/0,1518,735237,00.html

<Fluorid gilt als Erfolgsrezept im Kampf gegen Löcher im Zahn. Der Grund: Es bildet eine stabile Schicht, die den Zahn so hart macht, dass Bakterien keine Chance haben. Forscher ziehen diesen Erklärungsansatz jetzt aber in Zweifel. Denn die Fluoridschicht ist viel zu dünn, um das Versprechen zu halten.

Die Bilder aus der Werbung leuchten jedem Kind ein: Wer seine Zähne schützen will, greift am besten zu Fluorid - denn das macht den Zahn stabil und lässt fiese Bakterien einfach abprallen. Tatsächlich härten Fluoride die oberste Schmelzschicht des Zahns. Erreger haben es nicht mehr so leicht, darauf zu wachsen.

Doch jetzt haben Wissenschaftler der Universität des Saarlandes eine überraschende Entdeckung gemacht: Beim Zähneputzen mit einer fluoridhaltigen Zahncreme dringt das Fluorid sehr viel weniger tief in den Zahnschmelz ein als man bisher angenommen hat. Das stellten die Forscher fest, als sie die Wirkung zweier verschiedener Fluoride auf künstlichem Zahnschmelz untersuchen wollten.

Wie Frank Müller und seine Kollegen im interdisziplinären Fachmagazin "Langmuir" berichten, benutzten sie dazu eigens hergestellte Stückchen aus Hydroxylapatit. Damit simulierten sie eine Art normierten Zahnschmelz. Die Plättchen behandelten sie zum einen mit einer herkömmlichen Natriumfluoridlösung. Diese hat einen neutralen pH-Wert und wird auch zur Fluoridierung von Zahncremes eingesetzt. Zum anderen testeten sie eine Lösung des Aminfluorids Olaflur, das ebenfalls für die Zahnhygiene eingesetzt wird. Bei Letzterem liegt der pH-Wert mit 4,2 im sauren Bereich.

Überraschenderweise hatten die beiden Behandlungen völlig unterschiedliche Auswirkungen auf den Testzahnschmelz. Das konnten die Physiker mit Hilfe der sogenannten Photoelektronenspektroskopie beobachten: Beim neutralen Natriumfluorid bildete sich auf der Oberfläche der Kunstzähne das gegen Säure widerstandsfähige Fluorapatit. Beim sauren Olaflur dagegen raute die Zahnoberfläche auf. Dabei entstand relativ viel Kalziumfluorid. Diese chemische Veränderung macht den Zahnschmelz möglicherweise nicht stabiler, sondern sogar empfindlicher, spekulieren die Forscher.

Nur Millionstel Millimeter

Zudem lag die Eindringtiefe des Fluorids in beiden Fällen weit unter den bisher geschätzten Werten: Beim Natriumfluorid maß die neugebildete Schicht lediglich knapp zehn Nanometer (zehn Millionstel Millimeter), beim Olaflur etwa 100 Nanometer. Das könnte daran liegen, dass die Oberfläche bei Olaflur so porös wurde, vermuten die Forscher.

Zwar stellen die Ergebnisse nicht in Frage, dass Fluorid vor Karies schützt. Allerdings lassen sie Zweifel an den bisherigen Erklärungsansätzen aufkommen. Denn die fluoridhaltige Schicht, die sich auf der Zahnoberfläche bildet, ist nicht etwa einige Mikrometer (Tausendstel Millimeter) dick, wie frühere Studien nahegelegt hatten. Stattdessen ist sie um einen Faktor von fast 100 dünner als gedacht.

Es sei fraglich, ob eine derartig dünne Schicht tatsächlich als eine Art schützende Haut fungieren kann oder ob das Fluorid seine schützende Wirkung auf andere Weise ausübt, schreiben die Wissenschaftler. Schließlich müssten solche dünnen Schichten sich theoretisch schon bei einer herkömmlichen Belastung der Zähne innerhalb kürzester Zeit abschleifen. Es sei denkbar, dass die Fluoridbehandlung noch weitere, bisher nicht bekannte chemische Veränderungen im Zahnschmelz hervorruft, die für den bereits hinreichend belegten Schutzeffekt verantwortlich sind.

Außerdem müsse man daran arbeiten, den Einfluss des pH-Wertes genauer zu charakterisieren. Die Wissenschaftler wollen daher als nächstes untersuchen, ob saure oder neutrale Fluoridlösungen effektiver vor Karies schützen.

cib/dapd>

-----

Welt online,
              Logo

28.2.2011: <Unbekannter Erreger für Kinder-Karies entdeckt> - Scardovia wiggsiae

aus: Welt online; 28.2.2011; http://www.welt.de/gesundheit/article12664390/Unbekannter-Erreger-fuer-Kinder-Karies-entdeckt.html

<US-Forscher haben im Zahnbelag von Kindern einen bislang unbekannten Karies-Erreger identifiziert. Die Entdeckung soll bessere Therapien ermöglichen.

US-amerikanische Wissenschaftler haben einen bisher unbekannten Karies-Verursacher aufgespürt. Es handelt sich um ein Bakterium namens Scardovia wiggsiae. Meistens kommt es zwar in Kombination mit Streptococcus mutans vor, dem bekanntesten Karies-Erreger, in manchen Fällen ist es jedoch auch alleine für die Löcher in den Zähnen verantwortlich.

Die Entdeckung soll helfen, effektivere Anti-Karies-Therapien zu entwickeln und Wirkstoffe zu finden, die speziell auf die Erreger zugeschnitten sind, schreiben Anne Tanner von der Harvard University in Boston und ihre Kollegen im Fachmagazin „Journal of Clinical Microbiology".

Karies ist eine Infektionskrankheit der Zähne. Sie wird durch Bakterien verursacht, die Zucker zersetzen und dabei Säure erzeugen. Diese greift den Zahn an und kann im weiteren Verlauf der Erkrankung zu den gefürchteten Löchern führen - wenn nicht durch eine gute Zahnhygiene und eine ausgewogene Ernährung vorgebeugt wird.

Vor allem bei Kindern ist Karies gefährlich, da über die Milchzähne gleich die nachrückenden, bleibenden Zähne mit angegriffen werden können.

Streptokokken häufigste Erreger

In den meisten Fällen ist das Bakterium Streptococcus mutans der Hauptverursacher der Löcher. Da jedoch nicht alle Kariespatienten diesen Erreger im Mund beherbergen, vermuteten die Wissenschaftler, dass es noch andere wichtige Kariesauslöser geben muss.

Sie untersuchten daher den Zahnbelag von 82 Kindern, die zwischen zwei und sechs Jahre alt waren. 42 von ihnen litten unter einer frühkindlichen Kariesform, bei der gleich die ersten Milchzähne von heftigem Zerfall betroffen sind. Die anderen 40 Kinder waren kariesfrei.

Die im Zahnbelag lebenden Bakterien wurden von den Wissenschaftlern unter ganz speziellen Bedingungen kultiviert – etwa unter Ausschluss von Sauerstoff, bei einem sauren pH-Wert und auf Blutnährboden. Als die Forscher diese Kulturen anschließend untersuchten, fanden sie die Erbsubstanz von über 5.100 Bakterienarten, die sie mit Hilfe von speziellen Datenbanken identifizieren konnten.

Unter 5100 Arten zwei Hauptverdächtige

Beim Vergleich der Bakterien von kariesgeplagten und kariesfreien Kindern zeigte sich, dass die Bakerienarten Streptococcus mutans und Scardovia wiggsiae signifikant häufiger bei Kindern mit Karies auftauchten: Achtzig Prozent der Kinder mit Karies hatten beide Bakterienarten im Mund, wohingegen achtzig Prozent der kariesfreien Kinder frei von diesen beiden Bakterien waren.

Darüber hinaus entdeckten die Forscher, dass das Bakterium Scardovia wiggsiae in manchen Fällen auch dann im Zahnbelag von an Karies erkrankten

Kindern vorkam, wenn das Bakterium Streptococcus mutans fehlte. Damit sei es wahrscheinlich, dass Scardovia wiggsiae zumindest in diesen Fällen der Hauptverursacher der Zahnerkrankung sei, sagen die Wissenschaftler.

dapd/oc>

========

n-tv
                online, Logo

24.4.2012: Karies von Anfang an vermeiden - auch Babygebiss putzen

aus: n-tv online: Gesundheit: Karies vermeiden: Kindergebiss vom ersten Zahn an putzen ; 24.4.2012;
http://www.n-tv.de/ticker/Gesundheit/Karies-vermeiden-Kindergebiss-vom-ersten-Zahn-an-putzen-article6103596.html

<Berlin (dpa/tmn) - Kleine Kinder sind zu selten beim Zahnarzt. Nur knapp ein Drittel der unter Sechsjährigen nimmt an der jährlichen Vorsorgeuntersuchung beim Zahnarzt teil - das geht aus dem Zahnreport 2012 der Krankenkasse Barmer GEK hervor.

Wird ein Kindergebiss nicht vom ersten Zahn an gründlich gepflegt, kann das zu Schäden auch an den bleibenden Zähnen führen. «Mit dem Durchbruch des ersten Milchzahns sollten Eltern mit der Zahnbürste beim Kind anfangen», sagte Prof. Dietmar Oesterreich von der Bundeszahnärztekammer in Berlin. Laut Barmer-GEK-Zahnreport 2012 werden Kleinkinder zu selten zum Zahnarzt gebracht - mit der Folge, dass fünf Prozent aller Zahnfüllungen auf Milchzähne entfallen.

Der erste Zahn erscheine meist mit dem sechsten Lebensmonat, erläuterte Oesterreich. Von diesem Zeitpunkt an bis zum zweiten Lebensjahr sollten Eltern einmal täglich die kleinen Beißer mit einem Hauch fluoridierter Kinderzahncreme bürsten. Zahncreme für Erwachsene ist höher dosiert und daher für Kinder bis zum sechsten Lebensjahr ungeeignet. Ab dem zweiten Lebensjahr empfehle es sich, zweimal täglich mit etwas Kinderzahnpasta zu putzen. «Fluoride wirken vor allem an der Oberfläche von Zähnen gegen Karies», sagte Oesterreich.

Durch falsche Ernährungsgewohnheiten - zu viel süße oder saure Getränke - und mangelnde Zahnpflege komme es bei Kindern zwischen null und drei Jahren häufig zum sogenannten Nuckelflaschenkaries, kritisierte Oesterreich. Das heißt, vor allem die Frontzähne im Oberkiefer werden schnell von Bakterien zerstört. Die Beschwerden könnten von Schmerzen und Schwellungen über Abszesse bis hin zum Zahnverlust reichen. In der Folge sei das Risiko hoch, dass auch die bleibenden Zähne von Karies betroffen sind.

«Der Zahnschmelz der bleibenden Zähne ist in der Phase des Durchbrechens besonders empfindlich gegenüber Bakterien, er reift noch nach», erläuterte der Zahnmediziner. Kariesbakterien, die sich in den ersten Lebensjahren eines Menschen überdurchschnittlich stark im Mund vermehren, hätten daher besonders leichtes Spiel, die neuen Zähne zu befallen. Ein gesundes Milchzahngebiss diene außerdem zum einen als Platzhalter für die zweiten Zähne und sei darüber hinaus wichtig für eine gute Sprachentwicklung.

«Schäden am Milchgebiss haben später häufig Schäden der bleibenden Zähne zur Folge», erklärte der Autor der Studie, Professor Thomas Schäfer vom Institut für Sozialmedizin, Epidemiologie und Gesundheitssystemforschung in Hannover. Früherkennungsuntersuchungen bei Kleinkindern müssten daher gestärkt werden, vor allem bei sozial schwachen Familien und alleinerziehenden Müttern.

Quelle: n-tv.de / dpa>

========

n-tv
                  online, Logo

Deutschland 19.8.2013: <Kasse zahlt Versiegelung der hinteren Backenzähne>

aus: n-tv online; 19.8.2013;
http://www.n-tv.de/ticker/Gesundheit/Kasse-zahlt-Versiegelung-der-hinteren-Backenzaehne-article11196841.html

<Köln (dpa/tmn) - Zum Schutz vor Karies können bei Kindern die hinteren Backenzähne versiegelt werden. Für die Kosten kommen die Krankenkassen auf. Sollen weitere Zähne versiegelt werden, müssen die Eltern zahlen.

Eltern können zum Schutz vor Karies die bleibenden hinteren Backenzähne ihrer Kinder versiegeln lassen. Das geschieht in der Regel mit einem weiß eingefärbten Kunststoff, der in die Furchen der Kauflächen gefüllt wird. Die Krankenkassen kommen bei 6- bis 17-Jährigen für die Kosten auf, erläutert das Institut für Qualität und Wirtschaftlichkeit im Gesundheitswesen (IQWiG) in Köln. Rät der Zahnarzt zur Versiegelung weiterer Zähne, müssten die Eltern selbst dafür aufkommen.

Durch die Behandlung sinke das Risiko deutlich, dass die Kaufläche eines Backenzahns mit Karies befallen werde, erläutert das IQWiG auf seinem Portal Gesundheitsinformation.de. Das regelmäßige und gründliche Zähneputzen lasse sich dadurch aber nicht umgehen.

Quelle: n-tv.de , dpa>

========

Deutsche Wirtschaftsnachrichten online, Logo

24.6.2014: <Neue Technologie: Kein Bohren und keine Spritzen beim Zahnarzt> - Zahnlöcher wachsen mit Hilfe elektrischer Ströme wieder zu

aus: Deutsche Wirtschaftsnachrichten online; 24.6.2014;
http://deutsche-wirtschafts-nachrichten.de/2014/06/24/neue-technologie-kein-bohren-und-und-keine-spritzen-beim-zahnarzt/

<Eine neue Technologie hilft ungesunden Zähnen mittels elektrischen Strömen sich selbst zu heilen. Karies und Zahnfüllungen von kleineren Hohlräumen könnten somit bald der Vergangenheit angehören. Die Behandlungsmethode ist schmerzfrei und könnte schon in drei Jahren in britischen Zahnpraxen Realität werden.

Forscher des King’s College in London entwickelten eine Technologie, die mit niederfrequenter Elektrizität Zähnen helfen kann, die von Hohlräumen betroffen sind, sich selbst zu heilen. Die Technologie basiert auf einer „elektrisch beschleunigten und erweiterten Remineralisierung“ und kann Karies im Anfangsstadium sowie Zahnfüllungen stoppen. Die Wiedereinlagerung von Mineralstoffen könnte außerdem zu einer neuen Behandlungsmethode für verfaulte Zähne im fortgeschrittenen Stadium beitragen. Schon in drei Jahren wäre die Technologie in britischen Zahnarztpraxen anwendbar.

Bevor der Zahnarzt mithilfe eines Röntgenbildes Hohlräume im Zahn diagnostizieren kann, verliert der Zahnschmelz an Mineralien und verfault schließlich. Zähne können sich daher selbst regenerieren, wenn ihnen die fehlenden Mineralien eingeflößt werden. Eine natürliche Wiedereinlagerung erfolgt täglich durch Speichel oder Fluoriden. Die Forscher untersuchten, wie man diesen Prozess beschleunigen kann.

Die neue Behandlung sieht dabei zwei Schritte vor. Erst wird der Zahn von jeglichen Hindernissen wie beispielsweise Gewebe befreit, damit der Remineralisierungsprozess beginnen kann. Im zweiten Schritt werden die elektrischen Ströme eingesetzt, um die Mineralien kontinuierlich in den Zahn zu führen. Der Behandlungsprozess ist schnell, günstig und schmerzfrei.

Der Dentalforschung ist die Remineralisierung bereits seit den 80er Jahren bekannt, jedoch war es bisher schwer diese auch bei großen und tiefen Zahnverletzungen zu realisieren. „Mit dem elektrischen Verfahren, können wir die Remineralisierung, die sonst Wochen dauern würde, um einiges beschleunigen und besser ausführen“, sagt Nigel Pitts, Professor des King ‘s College London der Washington Post.

Bisherige Behandlungsmethoden bei denen lokale Betäubung durch Spritzen notwendig waren und Karies aus Hohlräumen geschnitten werden musste, wären somit hinfällig. „Für einige Patienten ist der Zahnarztbesuch eine echte Phobie. Wenn Patienten entspannter sind, werden sie auch zur regelmäßigen Untersuchung wieder kommen”, so Pitts.

Pitts und sein Partner, Zahnarzt Christopher Longbottom, haben gemeinsam das Unternehmen Reminova gegründet, um Geld für weitere Patientenstudien in  Zusammenarbeit mit dem Kings College zu sammeln.

Die WHO schätzt, dass weltweit 60 bis 90 Prozent der Schüler und fast 100 Prozent der Erwachsenen unter Karies leiden. Die schmerzfreie Behandlungsmethode könnte dazu beitragen, dass Patienten nicht länger abgeschreckt sind bei schwerwiegenderen Problemen wie Zahnfleischerkrankungen den Zahnarzt aufzusuchen.>

========

Epoch Times online, Logo

11.3.2016: Kokosöl als Vorbeugung gegen Karies, Wirkung ist bewiesen - bei Fluorid ist die Wirkung NICHT bewiesen
Kokosöl kann Karies besser vorbeugen als giftiges Fluorid
http://www.epochtimes.de/gesundheit/kokosoel-kann-karies-besser-vorbeugen-als-giftiges-fluorid-a1313299.html

Epoch Times, Freitag, 11. März 2016 09:37

<Forscher vom Athlone-Institute-of-Technology (AIT) in Irland haben entdeckt, dass Kokosöl wirksam und ohne schädliche Nebenwirkungen das Wachstum von schädlichen Bakterien hemmt, die Karies und Mundinfektionen verursachen können.

Das Team fügte Enzyme Kokosöl und einigen andere Ölen hinzu, um nachzuahmen, wie diese Öle normalerweise während der Verdauung verarbeitet werden. Sie wendeten dann die "verdaute" Form von jedem der Öle auf mehrere Stämme von Bakterien an, einschließlich Streptococcus mutans, ein allgemeines säureproduzierendes Bakterium, welches häufig im Mund gefunden wird, sowie Candida albicans, ein höchst problematischer Hefestamm, der Mundsoor-Infektionen verursachen kann.

Die Ergebnisse zeigten, dass nur das Kokosöl klare antibakterielle und Hefe-bekämpfende Eigenschaften bei der Einwirkung auf verschiedene Bakterienstämme aufwies. Das Kokosöl war in der Tat in der Lage, alle Arten von Bakterienstämmen zu bekämpfen, ohne irgendwelche negativen Nebenwirkungen auszulösen oder die Entwicklung von Antibiotika-resistenten "Supererregern“ zu fördern, wie Antibiotikamedikamente dies tun.

"Enzymmodifiziertes Kokosöl in Zahnhygiene-Produkte zu integrieren, wäre eine attraktive Alternative für chemische Zusätze (wie Fluorid), zumal es bei relativ niedrigen Konzentrationen arbeitet", sagte Dr. Damien Brady, führender Forscher von AIT. "Auch weil Antibiotikaresistenz zunimmt, ist es wichtig, dass wir unsere Aufmerksamkeit auf neue Wege lenken, mikrobielle Infektionen zu bekämpfen."

Dr. Brady stellte ferner fest, dass das menschliche Verdauungssystem von Natur aus antimikrobielle Aktivität aufweist, zumindest wenn ihm die richtigen Lebensmittel und Nährstoffe gegeben werden. Mehr Kokosöl zu verbrauchen, kann somit effektiv Immunität erhöhen und das Auftreten von schädlichen Krankheitserregern im Mund und dem ganzen Körper vereiteln.

Kokosöl ist effektiver bei der Vorbeugung gegen Karies als Fluorid

Interessanterweise wurde in diesem Fall konkret bewiesen, dass Kokosöl schädliche Bakterien bekämpft und Karies verhindert. Dahingegen wurde nie legitim aufgezeigt, dass Flourid Zahnverfall bekämpft oder verhindert, wenn es im Mund angewendet wird. In der Tat, nicht nur, dass nie nachgewiesen wurde, dass Flourid Karies verhindert; neuere Studien haben gezeigt, dass Fluorid den Zähnen tatsächlich schadet.

"Einmal eingenommen, greifen Fluoridverbindungen die strukturelle Integrität unseres Inneren an", sagt Shane Ellison, Autor, Chemiker und Gründer von ThePeoplesChemist.com.

"Collagen, ein bahnartiges Netzwerk, welches unser Skelett-System mit den Muskeln verbindet, wird durch Fluorid auseinandergerissen. Wir fühlen das als Gelenksteife, Bänderverletzung und Knochenschmerzen. Der gleiche Mechanismus führt zu einer Bräunung der Zähne, ein Ergebnis, welches als Fluorose bekannt ist.“ 

(NaturalNews/mh)>

========

Sputnik online, Logo

25.1.2020: Gel als Vorbeugung gegen Karies:
Vorbeugen gegen Karies jetzt effektiver? Chinesische Forscher stellen Erfindung vor
https://de.sputniknews.com/wissen/20200125326376141-vorbeugen-gegen-karies-effektiver-chinesische-forscher-stellen-erfindung-vor/

<Chinesische Forscher haben eine neue Methode entwickelt, um Karies vorzubeugen. Sie haben ein Peptidgel entwickelt, welches die Wiederherstellung von Zähnen fördert. Die Ergebnisse ihrer Forschung haben sie in der Fachzeitschrift ACS Publications veröffentlicht.

Nach Angaben der Weltgesundheitsorganisation (WHO) ist Zahnkaries die meistverbreitete nicht infektiöse Krankheit in der Welt. Normalerweise wird Karies behandelt, indem Ärzte das beschädigte Zahngewebe entfernten und den entstandenen Hohlraum mit anderen Materialien füllten – entweder mit Zahnamalgam oder mit Komposit.

Nun kamen die chinesischen Spezialisten unter der Leitung von Quan Li Li auf die Idee, auf naturgegebene Methoden zurückzugreifen. Sie modifizierten das antimikrobielle Peptid H5, das sich im menschlichen Speichel befindet. Dieses Peptid ist nämlich in der Lage, vom Zahnschmelz absorbiert zu werden und eine große Menge an Bakterien und Pilzen abzutöten.

Das Team fügte einem Ende von H5 eine Phosphoserin-Gruppe hinzu, die ihrer Ansicht nach dazu beitragen könnte, mehr Kalzium-Ionen zur Reparatur des Zahnschmelzes anzuziehen als natürliches H5. Die Zähne könnten somit länger vor einer Demineralisierung geschützt werden, denn die durch das Gel geschaffene Barriere soll den Kariesbakterien länger standhalten und zugleich dem Zahnschmelz die Möglichkeit geben, sich zu regenerieren.

Die Wissenschaftler testeten anschließend ihre Erfindung an Molaren (Mahlzähne) aus. Sie merkten, dass die modifizierte Version des Peptids sich besser in den Zahnschmelz absorbieren lässt und besser vor Demineralisierung schützt. Die Forscher unterstrichen jedoch, dass dieses Mittel keineswegs die Zähne heilen oder wieder füllen könne, es diene lediglich der Vorbeugung gegen Karies.

dg/gs>

========




Teilen / share:

Facebook





Quellen

[1] http://www.zahnratgeber.de/index.php?action=&tid=10&letter=B&special=lexikon
[2] http://www.zahnratgeber.de/index.php?action=&tid=10&letter=C&special=lexikon
[3] Erfahrung von Michael Palomino
[4] http://www.zahnratgeber.de/index.php?action=&tid=10&letter=C&special=lexikon
[5] http://www.zahnratgeber.de/index.php?action=&tid=10&letter=D&special=lexikon
[6] Schlussfolgerung von Michael  Palomino
[7] http://www.spitta.de/Produktfamilien/Fachinformationen/Prophylaxe/87_index+M53bf01a3a0d.html
[8] http://www.groefke.de/karies.html
[9] Informationen vom Verbraucherschutz
[10] http://www.zahnratgeber.de/index.php?action=&tid=10&letter=E&special=lexikon&PHPSESSID=
1b1171d5eed7505c57bb9c97c1353303

[11] Hinweis von Zahnarzt Edwin Hurtado Roque, Lima (2009)
[12] http://www.zahnratgeber.de/index.php?action=&tid=10&letter=F&special=lexikon
[13] Gesundheit heute, Wissenschaftliche Verlagsgesellschaft mbH;
http://www.gesundheit-heute.de/gh/ebene3.html?id=1420
[14] www.derweb.co.uk; http://www.erste-zahnarztmeinung.de/Zahnwissen-KZVWL/zahnwissen/lexikon_pa-pm.htm
[15] http://www.erste-zahnarztmeinung.de/Zahnwissen-KZVWL/zahnwissen/lexikon_pa-pm.htm
[16] Grübchenkaries: http://www.dent.med.uni-muenchen.de/exponent-0.96.4/index.php?section=120
[17] http://www.kieferorthopaedie-sigmaringen.de/39997/58412.html
[18] http://www.fehndrich.com/Leistungen/Leistungen03.html
[19] http://www.volksschule-wiesentheid.de/4_schueler/Zahnprojekt/4_schueler_zaehne.html
[20] http://www.zahnratgeber.de/index.php?action=&tid=10&letter=G&special=lexikon

[21] http://www.gzfa.de/funktion-therapie/kinderzahnheilkunde/ursachen/
[22] http://www.dr-kares.de/ganzheitliche-kieferorthopaedie.php
[23] http://www.kfo-online.de/lexikon/M/mundvorhofplatte.html
[24] http://www.zahnratgeber.de/index.php?action=&tid=10&letter=H&special=lexikon
[25] http://www.aok.de/bund/tools/medicity/diagnose.php?icd=4391
[26] http://www.zahnratgeber.de/index.php?action=&tid=10&letter=I&special=lexikon
[27] Beobachtung von Michael Palomino
[27] http://www.zahnratgeber.de/index.php?action=&tid=10&letter=J&special=lexikon
[28] http://www.zahnratgeber.de/index.php?action=&tid=10&letter=K&special=lexikon
[29] http://www.zahnratgeber.de/index.php?action=&tid=10&letter=M&special=lexikon
[30] http://www.zahnratgeber.de/index.php?action=&tid=10&letter=N&special=lexikon

[31] http://www.zahnratgeber.de/index.php?action=&tid=10&letter=P&special=lexikon
[32] http://www.zahnratgeber.de/index.php?action=&tid=10&letter=R&special=lexikon
[33] Beobachtung von Michael Palomino im Bekanntenkreis von Peru
[34] http://www.zahnratgeber.de/index.php?action=&tid=10&letter=S&special=lexikon&PHPSESSID=
910eeabdbb9fc1226840168f00a08240
[35] http://www.zahnratgeber.de/index.php?action=&tid=10&letter=T&special=lexikon&PHPSESSID=
fd6156b2ffc0ee018995bd51562c73c5
[36] http://www.zahnratgeber.de/index.php?action=&tid=10&letter=U&special=lexikon
[37] http://www.zahnratgeber.de/index.php?action=&tid=10&letter=V&special=lexikon
[38] http://www.zahnratgeber.de/index.php?action=&tid=10&letter=W&special=lexikon
[39] http://www.zahnratgeber.de/index.php?action=&tid=10&letter=Z&special=lexikon
[40] http://www.portal-der-zahnmedizin.de/behandlungen/wurzelerkrankungen/wurzelbehandlung/wurzelbehandlung.html

[41] http://www.fairzahnt.de/con/leistungen/endodontie.php
[42] http://www.crosswerk.com/mwcms/index.php?option=com_content&view=article&id=69&Itemid=75
[43] http://de.wikipedia.org/wiki/Zahnbelag
[44] http://de.wiktionary.org/wiki/Backenzahn
[45] http://www.gesundheit-heute.de/gh/ebene3.html?id=1420
[46] http://dr-bastkowski.de/body33.html
[47] http://www.kartoffel-geschichte.de/Erste_Furche/Gen_Europa/gen_europa.html
[48] Schlussfolgerung Palomino

Fotoquellen

Der Zahn
-- Schema eines Unterkiefers: http://www.volksschule-wiesentheid.de/4_schueler/Zahnprojekt/4_schueler_zaehne.html
-- Zahn, Schema eines Schneidezahns: http://www.gesundheit-heute.de/gh/ebene3.html?id=1420
-- Zahn, Schema eines Backenzahns: http://dr-bastkowski.de/body33.html

Vorstufen von Karies

-- Backenzahn, Schema: http://www.zahnratgeber.de/index.php?action=&tid=10&letter=S&special=lexikon
-- Schneidezähne, Scherenbiss: http://www.zahnratgeber.de/index.php?action=&tid=10&letter=S&special=lexikon

-- Fissur (Grübchen) bei Molaren, Schema im Querschnitt:
http://www.zahnratgeber.de/index.php?action=&tid=10&letter=F&special=lexikon
-- die Grübchen der Backenzähne, Zeichnung: http://de.wiktionary.org/wiki/Backenzahn
-- Grübchenkaries, Fissurenkaries: http://www.dent.med.uni-muenchen.de/exponent-0.96.4/index.php?section=120
-- versiegelte Grübchen / Fissuren: http://www.kieferorthopaedie-sigmaringen.de/39997/58412.html

Erste Vorstufe von Karies: Plaque
-- Plaque, Einteilung gemäss Schema:
http://www.erste-zahnarztmeinung.de/Zahnwissen-KZVWL/zahnwissen/lexikon_pa-pm.htm
-- Plaque (Zahnbelag), gelb: http://de.wikipedia.org/wiki/Zahnbelag
-- Plaque eingefärbt: http://www.erste-zahnarztmeinung.de/Zahnwissen-KZVWL/zahnwissen/lexikon_pa-pm.htm

Zweite Vorstufe von Karies: Kreidefleck
-- Kreidefleck an Schneidezahn 01: http://www.zahnar-t.ch/a-z/K/karies.htm
-- Kreidefleck an Schneidezahn 02: http://www.dent.med.uni-muenchen.de/exponent-0.96.4/index.php?section=120
-- Kreideflecken an vielen Zähnen:
http://www.erste-zahnarztmeinung.de/Zahnwissen-KZVWL/zahnwissen/lexikon_pa-pm.htm

Fluorprophylaxe
-- Fluorose: http://www.spitta.de/Produktfamilien/Fachinformationen/Prophylaxe/87_index+M53bf01a3a0d.html
-- Zahnpasten Aronal und Elmex: http://iq.lycos.de/qa/show/291214/Welche-Zahnpasta-empfiehlt-Euch-Euer-Zahnarzt/
-- Zahnseide glister: http://www.amway-shop.or.at/mundpflege.html
-- Zahnseide zwischen Schneidezähnen:
http://www.zahnarztpraxis-semmer.de/lexikon/3-zahnreinigung-und-mundhygiene.html

Verschiedene Tiefen von Karies
-- Bezeichnungen der Orte der Kavitäten gemäss Black:
http://www.zahnratgeber.de/index.php?action=&tid=10&letter=B&special=lexikon

Arten der Kavität
http://www.zahnratgeber.de/index.php?action=&tid=10&letter=K&special=lexikon

Kariesarten
-- Oberflächenkaries, Schema: http://www.zahnratgeber.de/index.php?action=&tid=10&letter=S&special=lexikon
-- mittlere Karies (caries media), Schema:
http://www.zahnratgeber.de/index.php?action=&tid=10&letter=C&special=lexikon
-- tiefe Karies (caries profunda), Schema:
http://www.zahnratgeber.de/index.php?action=&tid=10&letter=C&special=lexikon

-- Karies in Grübchen (Fissuren) von Backenzähnen, Schema:
http://www.dent.med.uni-muenchen.de/exponent-0.96.4/index.php?section=120

-- Karies zwischen den Zähnen: Foto einer Patientin in Lima, Foto von Michael Palomino (2009)
-- Karies zwischen den Zähnen mit z.T. bereits aufgefressenen Zähnen:
http://www.erste-zahnarztmeinung.de/Zahnwissen-KZVWL/zahnwissen/lexikon_pa-pm.htm

-- Flaschenkaries: http://www.fehndrich.com/Leistungen/Leistungen03.html


Kariesbehandlung 01: Das Ausbohren der Kariesstelle
-- Diamantbohrer, Darstellung: http://www.zahnratgeber.de/index.php?action=&tid=10&letter=B&special=lexikon

Kariesbehandlung 02: Füllmaterialien

Kariesbehandlung 03: Das Polieren

-- Finierer und Fräser, Darstellung: http://www.zahnratgeber.de/index.php?action=&tid=10&letter=F&special=lexikon

Kariesbehandlung 04: Wurzelbehandlung

-- Wurzelkaries (Darstellung): http://www.fairzahnt.de/con/leistungen/endodontie.php
-- Wurzelbehandlung (Darstellung):
http://www.crosswerk.com/mwcms/index.php?option=com_content&view=article&id=69&Itemid=75

Zahnkronen für Schneidezähne
-- Jacketkrone: http://www.zahnratgeber.de/index.php?action=&tid=10&letter=J&special=lexikon
-- Krone für Schneidezahn (Schema): http://www.zahnratgeber.de/index.php?action=&tid=10&letter=K&special=lexikon
-- Stiftkrone (Richmond-Krone): http://www.zahnratgeber.de/index.php?action=&tid=10&letter=S&special=lexikon

Zahnkronen für Backenzähne
-- Konuskrone: http://www.zahnratgeber.de/index.php?action=&tid=10&letter=K&special=lexikon
-- Metallkrone: http://www.zahnratgeber.de/index.php?action=&tid=10&letter=M&special=lexikon
-- Metallkeramikkrone: http://www.zahnratgeber.de/index.php?action=&tid=10&letter=M&special=lexikon
-- Teleskopkrone: http://www.zahnratgeber.de/index.php?action=&tid=10&letter=T&special=lexikon&PHPSESSID=
3bb8f5b437895cc00b33fa5e249fb8a1
-- Veneerkrone: http://www.zahnratgeber.de/index.php?action=&tid=10&letter=V&special=lexikon
-- Vollgusskrone: http://www.zahnratgeber.de/index.php?action=&tid=10&letter=V&special=lexikon


n-tv online, Logo  Spiegel online, Logo    Deutsche Wirtschaftsnachrichten online, LogoSputnik online, Logo  

^