Kontakt /
                    contact      Hauptseite /
                    page principale / pagina principal / home     zurück  
<<     >>

Amalgam-Meldungen: Das Quecksilber mit dem Totenkopf wird gratis an Zahnärzte abgegeben - Entsorgung via Amalgam im Mund

und weitere Fälle um die Volksvergiftung Amalgam


6. Schwermetalle - Vergiftung und Entgiftung. Mitschrift eines Vortrags von Dr. med. Dietrich Klinghardt

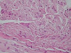
Nerv vor
                  und nach Quecksilberbefall: Quecksilber zerstört die
                  Nerven
Nerv vor und nach Quecksilberbefall: Quecksilber zerstört die Nerven

präsentiert von Michael Palomino (2008 / 2009)

Teilen / share:

Facebook







aus: E-Mails von Gerd Leidigkeit, gerd.leidigkeit@freenet.de (zugeschickt im Jahr 2007)
von:
TOX CENTER e.V., Dr. Max Daunderer, Hugo-Junkers-Str.13, 82031 Grünwald, T.089/649 149 49.

6. Schwermetalle - Vergiftung und Entgiftung

Mitschrift eines Vortrags von Dr. med. Dietrich Klinghardt

Dr.
                            Dietrich Klinghardt, Portrait eines Kenners
                            und Könners über Chemikalien und Metalle im
                            Körper und die Auswirkungen

Dr. Dietrich Klinghardt, Portrait eines Kenners und Könners über Chemikalien und Metalle im Körper und die Auswirkungen [9]






Schloss Elmau, der Tagungsort [10]

Schloss Elmau

(Vortrag vom 20. November 1996 auf Schloss Elmau bei Garmisch-Partenkirchen im Rahmen eines Seminars über Psycho-Kinesiologie)

Dietrich Klinghardt, M.D., Ph.D., 1315 Madison # 4, Seattle, WA 98104, USA

[Schwermetalle, z.B. die Amalgam-Metalle Quecksilber, Zink, Kupfer]

Schwermetalle heissen Schwermetalle, weil ihr spezifisches Gewicht schwerer ist als von anderen Metallen, den Leichtmetallen. Zu dieser Gruppe von Schwermetallen gehören z.B.: Quecksilber, Blei, Cadmium, Nickel, Zink, Kupfer. Die Leichtmetalle: dazu gehören Aluminium, Titan und einige andere. Es gibt bestimmte Metalle, die natürlich in uns vorkommen: z.B. Kupfer ist in unseren roten Blutkörperchen vorhanden in grossen Mengen und in vielen Enzymen. Selen, wie viele von euch wissen, ist ein wichtiges Metall, das z.B. in der Schilddrüse gebraucht wird und vorkommt, Zink im Immunsystem, Magnesium in weissen Blutkörperchen und in vielen Enzymen usw. Alle Metalle, die natürlich in uns vorkommen, werden normalerweise als Spurenelemente bezeichnet. Doch alle Metalle, die nicht in uns sein sollten, aber in uns sind, werden oft der Einfachheit halber zusammengeballt unter dem Wort Schwermetalle. Obwohl Aluminium ein Leichtmetall ist, wird es aus sprachlichen Gründen oft eingereiht unter den Schwermetallen, weil es ähnlich giftige Funktionen hat. Und um die Liste durchzugehen, es gibt ein paar Grenzmetalle, von denen man bis heute nicht weiss, ob sie natürlich in uns vorkommen oder in uns sind als Zeichen einer Vergiftung. Eines davon z.B. ist Aluminium. Wenn Aluminium in uns vorkommt, wissen wir noch nicht genau, braucht unser Körper eine gewisse Menge an Aluminium, oder ist das Aluminium in uns reingeraten als Zeichen einer Vergiftung. Ein ähnliches Metall ist Zinn, und Zinn wird wahrscheinlich das spannendste von allen Metallen werden. Zinn wird wahrscheinlich gebraucht in verschiedenen Enzymen und ist natürlich in uns vorhanden. Zinn ist aber, wenn eine bestimmte Dosis davon überschritten wird, hundertmal so toxisch wie Quecksilber. Das giftigste Metall bisher, das am besten studiert ist, ist das Quecksilber, und deshalb werde ich öfter auf das Quecksilber zurückkommen als Beispiel für die anderen Schwermetalle.

[Meeresfisch, durch Industriemüll vergiftet - Schwermetalle in Insektiziden, im Obst, im Gemüse, im Trinkwasser]

Meeresfisch, z.B. Makrele, alles
                                quecksilberverseucht durch die
                                Industrialisierung
Meeresfisch, z.B. Makrele [11], alles quecksilberverseucht durch die Industrialisierung

Und jetzt muss man ansehen, wo die Quellen für die Schwermetalle in uns sind. Erst mal gucken, wo kommen die Schwermetalle vor, wo kommen sie her? Schwermetalle können über die Nahrung aufgenommen werden. Einmal ist ja bekannt, dass Fisch, dass fast aller Fisch schwermetallverseucht ist. Vor allen Dingen die Fische, die ein bisschen weiter entwickelt sind wie Schwertfische, die grösseren Fische wie Thunfische, die grösseren Fische, die kleinere Fische essen, und die kleineren Fische essen noch kleinere Fische, und die kleinsten Fische essen diese Weichtiere, die am Meeresgrund rumschnuppern. Der Meeresgrund ist ja leider zum Mülleimer der Industrie geworden und voll von giftigen Schwermetallen, die sehr schädlich sind für uns. Die werden 25millionenfach konzentriert in diesen höheren Fischen, und deshalb ist Fisch eine ausgezeichnete Art und Weise, um sich zu vergiften. Auch Insektenschutzmittel enthalten meist ein oder zwei Schwermetalle in ihrem Kern. Noch eine Art, wie Schwermetalle in uns eindringen, ist Obst, Gemüse, aber hauptsächlich Fisch und natürlich das Trinkwasser.

[Das vergiftete Trinkwasser: Chlor verursacht Gefässverkalkung - Fluor verursacht Krebs - Beispiel San Francisco]

Flüssiges Chlor
                              in einer Quarzampulle
Flüssiges Chlor in einer Quarzampulle [12]
Die
                              Gefahrstoffkennzeichnung für Chlor: giftig
                              und umweltgefährlich
Die Gefahrstoffkennzeichnung für Chlor: giftig und umweltgefährlich [13]
Fluorkristalle sehen "schön"
                            aus, aber Fluor ist ein absolutes Gift
Fluorkristalle sehen "schön" aus, aber Fluor ist ein absolutes Gift [14]
Die Gefahrstoffkennzeichnung für Chlor:
                            brandfördernd, sehr giftig und ätzend
Die Gefahrstoffkennzeichnung für Chlor: brandfördernd, sehr giftig und ätzend [15]

Trinkwasser ist immer giftig, es sei denn, es ist bewiesen durch die Trinkwasseranalyse, dass das Wasser, das wir trinken, nicht voll ist mit Schwermetallen. Wir müssen davon ausgehen, dass jedes Trinkwasser, das aus dem Hahn kommt, giftig ist, es sei denn, es ist durch eine Analyse bewiesen worden, dass es gut ist. Das Trinkwasser hier in Deutschland ist im allgemeinen phantastisch im Vergleich zu dem in England z. B. und im Vergleich zu dem Durchschnittstrinkwasser in den USA. Wir wissen, dass die Chlorzusätze unseres heutigen Trinkwassers, die Chlorinierung Arteriosklerose erzeugt, und es ist einer der grössten Faktoren für die koronare Herzerkrankung, Gefässverkalkung im Alter. Die alten Leute, die achtzig oder fünfundachtzig sind, die plötzlich so ihr Gedächtnis verlieren: Wir sagen immer, die haben Alzheimer, aber meistens sind es einfach Gefässverkalkungen, die durch das Chlor im Trinkwasser verursacht sind. Deshalb sollte jeder unchloriniertes Wasser trinken. Bei uns in USA gibt es noch die Katastrophe mit dem Fluor. Fluor, das sich längst als Gift erwiesen hat in verschiedenen Enzymsystemen und wirklich eine ganze Nation im Moment zerstört, nämlich die Amerikaner, die sich selbst zerstören durch den Zusatz von Fluor. 60 % aller Städte sind fluoridiert. Ganz kurz: Fluor ist zwar kein Metall, es ist ein Halogen, aber es gehört zum Grenzgebiet, worüber wir jetzt sprechen. Als das Trinkwasser mehrerer Städte fluoridiert wurde, lief in San Francisco und Los Angeles eine Langzeitstudie. Los Angeles kriegt das Trinkwasser aus den Bergen von Colorado und teilweise aus Kalifornien, und San Francisco kriegt das Trinkwasser aus ähnlichen Quellen, nur dass San Francisco sich entschieden hat, das Wasser zu fluoridieren, d.h. Fluor zuzusetzen. Man beobachtete einfach die Krebsraten in beiden Städten. Und siehe da, bei einer 10-Jahresperiode ergab sich folgendes Ergebnis: Beide Städte unterscheiden sich dadurch, dass Los Angeles sehr stark umweltverschmutzt ist und San Francisco enorm umweltsauber ist, so dass man erwarten würde, wenn man die Krebsrate beobachtet, dass in Los Angeles die Krebsrate hochgehen sollte und in San Francisco gleich bleiben oder runtergehen sollte. Siehe da, nachdem man die Fluoridierung einführte, nach zehn Jahren ging die Krebsrate in San Francisco 11 % stärker hoch als in Los Angeles. Man hat die gleiche Statistik von jeder Stadt mit immer der gleichen Population beobachtet. Von der Stadt, bei der Fluor zugesetzt wurde und von der Stadt, bei der kein Fluor zugesetzt wurde, ging die Krebsrate bei ersterer um ungefähr 11 % pro 10 Jahre hoch, so dass man statistisch weiss, das Fluor bringt Leute um, und es ist keine gute Idee im Trinkwasser. Soviel mal zum Trinkwasser und zur Nahrung als Quelle von Giftstoffen.

[Durch die Haut können Schwermetalle aufgenommen werden - Medikamente und Impfstoffe enthalten Quecksilber]

Dann können Schwermetalle aufgenommen werden über die Haut. Ihr alle kennt die Idee jetzt von verschiedenen Buchläden, einen Kupferring am Arm zu tragen, wenn man Arthritis hat. Ein Grund dafür ist, dass Kupfer über die Haut aufgenommen wird aus dem Kupferring, in genug hohen Dosen, um einen Kupferspiegel zu erzeugen, der ausreicht, um bestimmte Formen von Arthritis abzuschwächen. Wenn Kinder mit Quecksilber spielen, mit den Kügelchen, wird Quecksilber mühelos über die Haut aufgenommen und dann im Blut zirkuliert. Dies ist eine weitere Aufnahme von Schwermetallen.

Dann natürlich Medikamente gehören dazu. Viele Medikamente sind quecksilberhaltig. In vielen Bluthochdruckmitteln ist Quecksilber drin, ebenso in Impfstoffen wie Tetanus. Wenn Ihr eure Kinder gegen Tetanus impfen lasst, bekommen sie eine sehr gute Dosis an Quecksilber injiziert. Das war eine weitere Einnahmequelle.

[Kombinierte Impfstoffe ohne Quecksilber sind erhältlich, und die EU-Empfehlungen laufen auf quecksilberfreie Impfstoffe hinaus [web07]].

[Der Quecksilberdampf wird inhaliert - und zu 82% aufgenommen]

Die gefährlichste Einnahmequelle von Schwermetallen ist das Inhalieren, das Einatmen. Wir wissen, wenn verdampftes Quecksilber eingeatmet wird, dann werden 82 % dieses Quecksilbers absorbiert und im Nervensystem abgelagert. Wenn man das Quecksilber isst, werden nur ungefähr 7 % vom Körper aufgenommen; der Rest ist so fest gebunden an die Inhaltsstoffe der Nahrung und den Stuhl und kommen am anderen Ende wieder raus wie es reinkam.

[Amalgamsanierung ohne Schutzvorrichtung - Nierenversagen als Folge]

Ich bin mit dieser Frage erstmals konfrontiert worden, als mir meine Amalgamfüllungen rausgenommen wurden. Als ich so 27 war, hatte ich Arthritis und habe mir die Amalgamfüllungen rausnehmen lassen. Es war damals noch nicht so populär, man wusste nicht, wie man’s richtig macht, und siehe da, nach sechs Wochen hatte ich ein beiderseitiges Nierenversagen, woran ich fast gestorben wäre. Das hat mein Interesse für den Schwermetall-Zusammenhang mit den Nieren geweckt. Was damals passiert war: Die Füllungen wurden rausgebohrt ohne besonderen Schutz. Beim Ausbohren wird sehr viel Quecksilber, das in den Füllungen ist, verdampft und inhaliert, weil man ja atmet, während die Füllungen aufgebohrt werden. Dies Quecksilber wird dann aufgenommen über die Lunge ins Blut und kommt vom Blut direkt in die Nieren und sammelt sich dort an. Die Nieren mögen Schwermetalle nicht und schwellen meistens an innerlich und hören dann ganz auf, Substanzen zu filtrieren. Und das nennt man dann Nierenversagen, an dem man dann stirbt, ober wenn man Glück hat, durchkommt aus unerfindlichen Gründen. Manche Leute überleben. Mein Fall war natürlich ein Extremfall.

Kofferdamm für Amalgamsanierung:
                              Amalgamsanierungen müssen unbedingt
                              schrittweise und jeweils mit einem
                              Kofferdamm ausgeführt werden, um das
                              Einatmen von Quecksilber und
                              Quecksilberdämpfen zu vermeiden, sonst ist
                              ein Nierenversagen nicht unwahrscheinlich
Kofferdamm [16] für Amalgamsanierung: Amalgamsanierungen müssen unbedingt schrittweise und jeweils mit einem Kofferdamm ausgeführt werden, um das Einatmen von Quecksilber und Quecksilberdämpfen zu vermeiden, sonst ist ein Nierenversagen nicht unwahrscheinlich

[Amalgam-Quecksilber: Urinmessungen - Quecksilberdampf]

Das bringt uns zum engeren Thema, über das ich sprechen will, über das Schwermetall in den Zahnmaterialien. Das ist eine der Hauptquellen. Die normalen Amalgamfüllungen, die viele von euch noch teilweise im Mund haben, enthalten 50 % Quecksilber. Der Rest ist Kupfer, Silber und Zinn, wobei Zinn auch, wie gesagt, hochgradig toxisch ist und Silber ein ganz eigenartiges Metall ist, das in einem bestimmten Bereich verträglich ist, und es wird gut verarbeitet im Körper, wenn es ein bisschen höher geht, ist es sehr toxisch, mit toxischen Nebenwirkungen. Man weiss, dass immer nach dem Essen für zwei Stunden der Quecksilberspiegel hochgeht. Wenn man eine Banane isst, kann man für zwei Stunden danach einen erhöhten Quecksilberspiegel im Blut messen. Dadurch, dass der Patient kaut und von den Füllungen Quecksilber-Ionen ausgeschwemmt werden. Die werden dann aufgenommen über den Speichel, und über den Magen-Darm-Trakt kommen sie ins Blut und sind dort messbar. Gleichzeitig ..wir haben ein Gerät gehabt, das aus der Bergbauindustrie ist. Um Gold zu finden, hat man ein Gerät entwickelt, das saugt die Luft an in der Goldmine und analysiert Quecksilberdampf. Und zwar ist es so, dass da, wo Gold ist, ist immer Quecksilber, oder wo Quecksilber ist, ist auch das Gold. Beide Metalle existieren in der Erde zusammen, weil sie Nachbarn sind im Periodensystem und durch ähnliche Formationen, Vulkanausbrüche, Druck in der Erde entstanden sind. Wenn man dieses Gerät benutzt in Industrieanlagen, kann man den Quecksilberdampf messen, z.B. in Autowerkstätten und gucken, wie viel Quecksilberdampf da ist von den Geräten, die verwendet werden und Auspuffgasen usw. Es gibt einen bestimmten Standard, wie hoch dieser Quecksilberanteil in der Luft sein darf. In Amerika sagt man, bei einem Arbeiter, der diesem Dampf acht Stunden am Tag ausgesetzt ist, darf der Quecksilbergehalt so hoch sein und nicht höher. Wenn man einem Durchschnittspatienten, der acht Amalgamfüllungen im Mund hat, dieses Gerät in den Mund hält, findet man oft, zumindest für zwei Stunden nach dem Essen, den 100- bis 200-fachen Wert von dem, was in der Industrie erlaubt ist. Nur, dass dieser Patient diese Gase nicht acht Stunden am Tag einatmet, wie es in der Industrie geplant ist, sondern 24 Std. am Tag. Wenn man sich anschaut, wo das Quecksilberthermometer zerbricht und lässt es stehen: Siehe da, nach zwei Tagen ist kein Quecksilber mehr da. Wo ist das Quecksilber hingegangen? Quecksilber ist bei Raumtemperatur in einem labilen Zustand und verdampft. Quecksilber als Dampf ist geschmacklos, geruchlos und unsichtbar. D.h. wenn man jemandem in den Mund schaut und schauen will, ob Quecksilber verdampft ...ja, denn das Gas ist geschmacklos, geruchlos und unsichtbar, d.h. der Zahnarzt sagt, wenn Sie ihn fragen, ob es Probleme mit den Amalgamfüllungen geben kann, dann macht der Zahnarzt den Mund auf und sagt: "Ich sehe nichts, ich riech nichts, ich schmecke nichts, es muss in Ordnung sein." Obwohl bekannt ist, dass Quecksilberdampf geschmacklos und geruchlos und unsichtbar ist und das gefährlichste Gas ist, das wir kennen und das giftigste Gas.

Quecksilberdampf entweicht 24 Stunden
                              pro Tag und Nacht aus Amalgamfüllungen,
                              und so rauchen die Zähne Tag und Nacht und
                              stossen das Giftgas Quecksilber aus den
                              Amalgamfüllungen aus
Quecksilberdampf [17] entweicht 24 Stunden pro Tag und Nacht aus Amalgamfüllungen, und so rauchen die Zähne Tag und Nacht und stossen das Giftgas Quecksilber aus den Amalgamfüllungen aus

Kleine Mengen an Inhalation reichen aus. Es gibt eine ganze Reihe von Todesfällen, wo Kinder an Quecksilber geschnüffelt haben, ohne es zu wissen, wenn ein Thermometer zerbrochen war oder wenn jemand Quecksilber gefunden hat beim Zahnarzt im Abfalleimer und damit gespielt hat und genug davon inhaliert hat, dass es zum Nierenversagen kam, und kurze Zeit oder Tage danach die Kinder dann gestorben sind. Der Platz, wo letztlich das Quecksilber im Körper endet, ist interessant. Es gibt die sog. Quecksilberdepots, die entweder im Bindegewebe sind. Wir haben die sog. Fibromyalgie, das ist eine Erkrankung, die Frauen sehr viel haben, mit allgemeinen Muskelschmerzen, leichten Depressionen und Schlaflosigkeit. Das sind die typischen Zeichen. Das ist oft eine typische Quecksilbererkrankung. Wenn wir diese Leute entgiften mit den entsprechenden Mitteln, die wir nachher besprechen, kommt es zu einer vollständigen Ausheilung dieser Erkrankung in kurzer Zeit, in 3-4 Monaten. Wir haben bis jetzt noch keine Ausnahmen gefunden. Wir haben eine Langzeitstudie, die im Moment läuft, und 3-4 Monate, seitdem die Studie läuft, sind alle Teilnehmer, die angefangen haben mit dieser Diagnose, nach 3-4 Monaten beschwerdefrei ohne weitere Behandlung. Hier ist es einfach so, dass Quecksilber abgelagert ist im Muskel, und zwar in den Faszien und Nerven, die in die Muskeln reingehen - insbesondere die autonomen Nerven, die die Muskelspindeln innervieren. Das ist eine Stelle. Die andere Stelle sind bindegewebige Orte wie z.B. die Gelenkkapseln, des Schultergelenks, des Kniegelenks. Ich hatte neulich die Freude, einen führenden Amalgamforscher aus Kanada, der an einer medizinischen Hochschule arbeitet, zu untersuchen. Er hatte einen chronisch rezidivierenden Kniegelenkserguss. Ich habe ihn mit unserer Testmethode, mit dem Muskeltest, getestet und testete am Knie deutlich Quecksilber, punktierte sein Knie, nahm die Flüssigkeit und sie wurde eingeschickt - und siehe da, er hat einen bis jetzt noch nie gemessenen hohen Quecksilberspiegel gehabt in diesem Kniegelenkserguss. D.h. sein Körper hat versucht, sein Gehirn freizuhalten und das Quecksilber ins Knie verschoben, was ihn auch sehr fasziniert hat. Der häufigste Ort, wo das Quecksilber endet im Körper, ist das Nervensystems, das Rückenmark oder das Gehirn.

[Quecksilberversuch mit Ziegen (Schafen?) - falsche Annahme einer Halbwertszeit von 6 Wochen - Quecksilber in Organen]

Tierversuche mit radioaktivem
                              Quecksilber an Ziegen [später ist von
                              Schafen die Rede] zeigten, wo sich das
                              Quecksilber befand, nach 24 Stunden und
                              nach 6 Monaten Tierversuche mit
                            radioaktivem Quecksilber (später ist von
                            Schafen die Rede) zeigten, wo sich das
                            Quecksilber befand, nach 24 Stunden und nach
                            6 Monaten
Ziegen [18] und Schafe [19]

Tierversuche mit radioaktivem Quecksilber an Ziegen [später ist von Schafen die Rede] zeigten, wo sich das Quecksilber befand, nach 24 Stunden und nach 6 Monaten

Und jetzt quotiere [zitiere] ich einfach ein paar Studien, die in den letzten Jahren gemacht wurden. Vor vier Jahren machte die Universität in Calgary, Kanada, eine Studien, wo man Ziegen [Schafe?] Quecksilberfüllungen einbaute. Man baute ihnen radioaktives Quecksilber ein, so dass man die Ziegen später vor eine Kamera stellen konnte, die Radioaktivität wahrnimmt. Man konnte die Ziege fotografieren und wusste, wo in der Ziege das Quecksilber ist. Siehe da, innerhalb von 24 Stunden war das ganze Rückenmark imprägniert, das ganze Gehirn voll mit Quecksilber, auch die Nebennieren und die Hormondrüsen, also die Ovarien oder die Hoden und die Darmwand. Wenn man die Ziegen in Ruhe gelassen hat, und das Fotografieren wurde wiederholt nach sechs Monaten, war der gleiche Gehalt an Quecksilber in der gleichen Ziege immer noch da. Zahnärzte glauben immer noch, dass es eine echte Halbwertszeit für Quecksilber im Körper gibt, d.h. dass das Quecksilber nach sechs Wochen aus dem Körper heraus ist. Das beruht darauf, dass man das Blut gemessen hat, und es stimmt, wenn man jemandem Füllungen legt, nach sechs Wochen ist das Quecksilber im Blut verschwunden. Da hat man gesagt, na ja, deshalb ist es aus dem Körper heraus. Es hat aber keiner geguckt im Stuhl, ob es im Stuhl herauskommt oder im Urin herauskommt, denn wenn man guckt, kommt da nichts heraus. Es erscheint im Blut und verschwindet dann irgendwo unsichtbar hin. Zahnärzte, die nicht bekannt sind für ihren Forschergeist, haben dann natürlich angenommen, das Quecksilber ist aus dem Körper. Heute weiss man aber, dass das Quecksilber aus den Füllungen ins Blut und in die Darmschleimhaut kommt, von dort in verschiedene Körperareale verschoben wird und dort sehr glücklich für den Rest des Lebens des Patienten bestehen bleibt.

[Quecksilber zerstört das Nervengewebe]

Querschnitt
                              durch einen peripheren Nerv: Wenn
                              Quecksilber das Rohr des Nervs angreift,
                              wird die Schlauchfunktion und die
                              Botenfunktion des Nervs zerstört
Querschnitt durch einen peripheren Nerv [20]: Wenn Quecksilber das Rohr des Nervs angreift, wird die Schlauchfunktion und die Botenfunktion des Nervs zerstört
Nerv vor und
                              nach Quecksilberbefall: Quecksilber
                              zerstört die Nerven
Nerv vor und nach Quecksilberbefall: Quecksilber zerstört die Nerven [21]

<Professor Fritz Lohrscheider von der Universität Calgary, Kanada, hat eine lebende Nervenzelle in einer Nährlösung mit dem Elektronenmikroskop gefilmt. Man sieht zunächst, wie die Nervenfaser geordnet und gleichmässig wächst. Dann hat er eine winzige Menge Quecksilber der Nährlösung zugesetzt. Danach kann man beobachten, wie sich das Gewebe allmählich auflöst. Derselbe Versuch wurde mit Cadmium, Blei und Mangan gemacht. Dabei blieb das Gewebe erhalten. Dieses Experiment beweist eindeutig, dass Quecksilber ein Nervengift ist.> [web08]

Quecksilber ist ein besonderer Stoff, indem er nicht nur vom Nervengewebe aufgenommen wird, sondern im Nervengewebe zerstörerisch tätig ist. Das sind die sog. Tubulinmoleküle. Jeder Nerv ist nicht nur ein elektrisches Kabel, sondern auch ein Rohr, ein Schlauch. Und in dem Schlauch bewegen sich Substanzen. Die Nährstoffe, die der Nerv braucht, um zu funktionieren, bewegen sich hier. Antikörper, die im Nerven erzeugt werden, verlassen die Nerven und sog. Neuropeptide, Hormone, das, was uns Gefühle macht. Gefühle entstehen, wenn in der Nervenzelle bestimmte Substanzen erzeugt werden. Diese fliessen in diesem Schlauch zum Ende des Nerven und werden dann freigesetzt ins Blut, und dann haben wir unser Gefühl.

Wenn Quecksilber in den Nerv hereinkommt, wird die Schlauchfunktion zerstört. Der Nerv funktioniert elektrisch noch, aber die Schlauchfunktion wird erheblich erkranken, und der Nerv kann daran sterben. Es hat einige Implikationen, d.h. einmal ist es schwierig, Quecksilber aus dem Nerv herauszuholen. Zum anderen heisst es, wenn diese Schläuche zerstört werden, kann sich der Nerv nicht mehr richtig ernähren, er kann nicht mehr richtig urinieren und Stuhlgang haben. Die Nervenzellen sind auch Lebewesen, die diese Funktionen haben, und es geht durch die Schläuche, und wenn die verstopft sind, kommt nichts mehr heraus, und die Nervenzelle vergiftet sich an ihren eigenen Stoffen, kann sich nicht mehr ernähren. Darüber hinaus hat es den Effekt, dass alle anderen Gifte, die in die Zelle hereinkommen, nicht mehr herauskönnen. Dioxin, Formaldehyd und die ganzen Pflanzenschutzmittel usw. Leider hat sich hier in Deutschland der Fokus verschoben in der Alternativmedizin, und jeder schaut auf diese anderen Stoffe, die im Nerven eingefangen sind. Jeder schaut auf die Holzschutzmittel jetzt und die Pestizide, Insektizide usw. Es wurde hier leider übersehen, dass der Kernfaktor der Gatekeeper ist, das ist die Substanz, die die anderen Substanzen im Nerven festhält, das Quecksilber ist. Das ist das einzige Metall, das diese Funktion hat und ist damit zum Kernproblem geworden.

Gehirne von Alzheimer-Menschen sind
                              massiv höher mit Quecksilber belastet als
                              Menschen, die an anderen Todesursachen
                              sterben
Gehirne [22] von Alzheimer-Menschen sind massiv höher  mit Quecksilber belastet als Menschen, die an anderen Todesursachen sterben

Was macht Quecksilber im Gehirn für Erscheinungen? Es gibt eine Studie, eine sehr gute Studie über Morbus Alzheimer. Man hat zwei Altersgruppen genommen, Leute, die in einem ähnlichen Alter verstorben sind, eine Gruppe von Alzheimer-Patienten und eine andere Gruppe, die an anderen Erkrankungen gestorben ist, und hat die Gehirne untersucht. Man hat praktisch die Gehirne in den Mixer gesteckt und zu Flüssigkeit gemacht und diese Flüssigkeiten untersucht auf die Metalle, die darin enthalten sind. Und siehe da, was fand man? Alle Metalle waren gleich, Kupfer, Zink, Aluminium, alles war gleichbleibend bis auf Quecksilber. Das war viermal so hoch in der Alzheimergruppe, so dass seither in wissenschaftlichen Kreisen klar ist, dass Alzheimer eine Folgeerkrankung von Quecksilbervergiftung ist, zweifelsohne. Wie oft wird euch das erzählt? Relativ selten, es ist eine unpopuläre Idee bei den gegenwärtigen Kassensystemen usw.

Film: Quecksilber zerstört die Nervenstrukturen und es bleiben nur noch Nervenfasern übrig [film]
Nerven-Film 01:
                            Logo der Universität Calgary
Film über Quecksilberwirkung an Nerven 01: Logo der Universität Calgary
Film über
                              Quecksilberwirkung an Nerven 02: Titel
                              "How mercury causes brain neuron
                              degeneration", von F.L. Lorscheider,
                              C.C.-W. Leong und N.Y. Syed, von der
                              Abteilung Physiologie und Biophysiologie
                              der Medizinischen Fakultät der Universität
                              Calgary
Film über Quecksilberwirkung an Nerven 02: Titel "How mercury causes brain neuron degeneration", von F.L. Lorscheider, C.C.-W. Leong und N.Y. Syed, von der Abteilung Physiologie und Biophysiologie der Medizinischen Fakultät der Universität Calgary
Film über
                                        Quecksilberwirkung an Nerven 03:
                                        Nerv vor Quecksilberbefall
Film über Quecksilberwirkung an Nerven 03: Nerv vor Quecksilberbefall
Film über
                                        Quecksilberwirkung an Nerven 04:
                                        Der Nerv wird mit Quecksilber
                                        (Hg) versetzt
Film über Quecksilberwirkung an Nerven 04: Der Nerv wird mit Quecksilber (Hg) versetzt
Film über
                                        Quecksilberwirkung an Nerven 05:
                                        Das Tubulin wird durch
                                        Quecksilber verändert und wird
                                        bindungsunfähig
Film über Quecksilberwirkung an Nerven 05: Das Tubulin wird durch Quecksilber verändert und wird bindungsunfähig
Film über
                                        Quecksilberwirkung an Nerven 06:
                                        Tubulinzerstörung durch
                                        Quecksilber, es wird
                                        bindungsunfähig
Film über Quecksilberwirkung an Nerven 06: Tubulinzerstörung durch Quecksilber, es wird bindungsunfähig
Film über
                                        Quecksilberwirkung an Nerven 07:
                                        Der Nerv bleibt ohne
                                        Stützstruktur, es ist kein
                                        Tubulin mehr da
Film über Quecksilberwirkung an Nerven 07: Der Nerv bleibt ohne Stützstruktur, es ist kein Tubulin mehr da
Film
                                      über Quecksilberwirkung an Nerven
                                      08: Zusammenbruch und Rückzug der
                                      Nervenstruktur
Film über Quecksilberwirkung an Nerven 08: Zusammenbruch und Rückzug der Nervenstruktur
Film über
                                        Quecksilberwirkung an Nerven 09:
                                        Es bleiben nur noch nackte
                                        Nervenfasern (engl.:
                                        "denuded
                                        neurofibrils") übrig
Film über Quecksilberwirkung an Nerven 09: Es bleiben nur  noch nackte Nervenfasern (engl.: "denuded neurofibrils") übrig

Nerven unter
                                        Quecksilbereinfluss (Röntgenfoto
                                        01): Es wird Quecksilber
                                        gespritzt
Nerven unter Quecksilbereinfluss (Röntgenfoto 01): Es wird Quecksilber gespritzt
Nerven unter
                                        Quecksilbereinfluss (Röntgenfoto
                                        02): Die Rückbildung der Nerven
                                        beginnt
Nerven unter Quecksilbereinfluss (Röntgenfoto 02): Die Rückbildung der Nerven beginnt
Nerven unter
                                        Quecksilbereinfluss (Röntgenfoto
                                        03): Die Nerven bilden sich
                                        weiter zurück, es bleiben nur
                                        noch Nervenfasern
Nerven unter Quecksilbereinfluss (Röntgenfoto 03): Die Nerven bilden sich weiter zurück, es bleiben nur noch Nervenfasern
Nerven unter
                                        Quecksilbereinfluss (Röntgenfoto
                                        04): Die Nerven bilden sich
                                        weiter zurück, es bleiben nur
                                        noch Nervenfasern
Nerven unter Quecksilbereinfluss (Röntgenfoto 04): Die Nerven bilden sich weiter zurück, es bleiben nur noch Nervenfasern

[Quecksilberexperimente an Schafen (Ziegen?) - Nieren kurz vor dem Nierenversagen - die Regierungen glauben es nicht]

Noch mal zurück zur Schafsstudie [Ziegenstudie?]: Man hat die Schafe [Ziegen?] oder einen Teil der Schafe, denen die Füllungen eingebaut war, in ein paar Monaten geopfert, wie man sagt in der Medizin. Man hat das Lamm geopfert und untersucht. Und siehe da, man fand, dass alle sechs Schafe, die in der Studie waren, kranke Nieren hatten, und zwar so, dass sie kurz vor dem Nierenversagen standen. Da wurde ich aufmerksam, denn da fiel mir ein, da wurde mir erst bewusst, dass das Nierenversagen, das ich hatte vor zwanzig Jahren, verursacht war durch die Amalgamfüllungen, die mir sechs Wochen vorher eingebaut wurden. Meine Nieren haben sich genauso verhalten wie die Nieren der Schafe in der Studie. Ich dachte, als ich die Studie gelesen hatte, das würde die grosse Revolution in der Medizin, jetzt ist es wirklich bewiesen, dass das Quecksilber die Füllungen verlässt und in verschiedene Organe kommt und dort seine zerstörerischen Aktionen macht, die alle bewiesen sind.

Als die Regierung dann aufmerksam wurde auf diese Studie, die in der medizinischen Fachwelt veröffentlicht wurde, kam die Kritik von der Regierung. Die Kritik an der Studie besagt: "Ja, ach, Schafe [Ziegen?]! Die sind ja genetisch so weit entfernt von uns! Schafstudien akzeptieren wir nicht als Beweis dafür, dass Quecksilber in den Zähnen schlecht ist für uns. Für Laien unter uns muss man mal sagen und klarstellen, dass fast alle Operationstechniken, die es gibt und fast alle Medikamente, die es gibt, entwickelt worden sind an Ratten, am Rattenmodell. Die Ratte ist genetisch gesehen noch mal zehn Generationen weiter von uns entfernt als das Schaf. Als es aber um die möglichen medizinisch-politischen Folgen ging was die Quecksilberfüllungen angeht, sagte man: "Das Schaf ist ja viel zu weit entfernt." Obwohl die ganze Schulmedizin aufgebaut ist auf der Ratte.

[Amalgamversuch mit Affen - Quecksilber im Gehirn]

Rhesusaffen werden oft für
                              Tierversuche verwendet, vielleicht auch
                              für das radioaktive Amalgam, das dann in
                              Rückenmark, Nebennieren, Nieren, Leber,
                              Darmwand und im Gehirn nachweisbar war
Rhesusaffen [23] werden oft für Tierversuche verwendet, vielleicht auch für das radioaktive Amalgam, das dann in Rückenmark, Nebennieren, Nieren, Leber, Darmwand und im Gehirn nachweisbar war

Die Forscher haben sich dann gesagt, naja, was würdet ihr als Modell empfehlen? Sollen wir radioaktive Füllungen in Menschen einbauen? Nein, das geht natürlich nicht, wir brauchen ein Tiermodell. Man hat sich darauf geeinigt, einen Primaten, einen Affen zu nehmen, und zwar den Affen, der dem Menschen am ähnlichsten ist. Ich habe vergessen, welche Affenart gewählt wurde. Man baute dem Affen radioaktive Amalgamfüllungen ein, und siehe da, nach 24 Stunden war das Amalgam [Quecksilber?] im Rückenmark, in den Nebennieren, in der Niere, Leber, Darmwand und im Gehirn. Dann zeigten Nachfolgestudien: Wenn man z.B. winzige Dosen von Amalgam ins Bindegewebe einspritzt, da wo das Amalgam [Quecksilber?] normalerweise abgelagert wird, wenn es nicht im Nervengewebe endet, hat es sich gezeigt, dass selbst im Bindegewebe Amalgam [Quecksilber?] ist, dass es innerhalb von 24 Stunden ins Rückenmark transportiert wird und dann vom Rückenmark ins Gehirn. Dies war mal soviel über die Wissenschaft.

Murray Vimy und Fritz Lohrscheider.

 
FASEB, Cover (Beispiel)
FASEB, Cover (Beispiel) [24]

 

Lohrscheider ist ein Österreicher, der in Kanada wohnt, der massgebend an dieser Studie beteiligt war, ein ausgezeichneter Physiologe, der nobelpreisverdächtig ist. Diese Studien wurden veröffentlicht in einer medizinischen Fachzeitschrift, in einer wissenschaftlichen Fachzeitschrift, die heisst FASEB.

Es gibt weltweit über 9000 med.-wiss. Veröffentlichungen, die monatlich herauskommen, in Russland, China, USA, Europa usw. Die Weltgesundheitsorganisation hat diese ganzen Zeitschriften eingestuft ihrem Qualitätsgrad nach, weil diese Studien z.B. verwendet werden, um Gerichtsurteile zu fällen. Wenn jemand irgend ein Problem hat, werden die Wissenschaftler konsultiert. Z.B. kann das Problem verursacht sein durch Dioxin in der Wasserleitung? Man konsultiert dann diese verschiedenen Zeitschriften und Artikel. Diese 9000 Fachzeitschriften wurden also eingeordnet nach Qualität. Es gibt keine deutsche Fachzeitschrift, die auf den ersten 100 Plätzen liegt. FASEB, die Zeitschrift, in der diese Sachen veröffentlicht wurden, steht auf Stelle Nummer neun, weltweit, d.h. ganz vorne. Das heisst für uns, dass die Amalgamanfrage keine wissenschaftliche Frage mehr ist.

[Gehirnschäden, Organerkrankungen und Krebs durch Quecksilber - Krebstumoren als Quecksilberdepots]

Von der Wissenschaft her ist die Frage gelöst. Wir wissen, dass diese Füllungen Quecksilber enthalten, wir wissen, dass Quecksilber mühelos von diesen Füllungen in unser Gehirn und andere Organe übergeht, und wir wissen, dass es im Gehirn folgende Schäden anrichtet: Ich gebe jetzt mal die Liste: Alle neurologischen Erkrankungen jeder Art, Multiple Sklerose, amyotrophische Lateralsklerose, Alzheimer, Parkinson, geringere Erkrankungen, vielleicht auch ohne Namen, Gedächtnisstörungen schon bei jungen Leuten. Emotionen, die unkontrollierbar sind, rauf und runter gehen zwischen Depressionen und Wutanfällen, leichte chronische Depression. Eine Sache, die mich sehr berührt hat, weil es meine eigene Geschichte war: Im jugendlichen Alter führen Amalgamfüllungen zu exzessiver Schüchternheit. Ich erinnere mich, ich war sehr betroffen durch diese Frage. Bis zu meinem zwanzigsten Lebensjahr habe ich nicht gewagt, eine Frau, ein Mädchen anzusprechen, weil ich so schüchtern war. Stottern. Lernstörungen, Augenstörungen, Ohrenstörungen sind weitere mögliche Schäden. Und dann die organischen Erkrankungen, die verursacht werden, hauptsächlich Nierenerkrankungen, Knochenmarkserkrankungen, Leukämie, Tumoren. Fast jeder Tumor, den wir untersucht haben auf Quecksilber, hat einen höheren Quecksilbergehalt als die Umgebung. Wir verdächtigen, dass Tumoren sehr häufig ein Ausweg des Körpers sind, um Quecksilber zu speichern, um es nicht ins Gehirn kommen zu lassen.

Beispiel: Wo viel Amalgam gelegt
                                wird, dort gibt es auch viele Menschen
                                mit Multipler Sklerose (MS). In ärmeren
                                Ländern werden die Gebisse nicht
                                repariert und die Menschen verlieren
                                deswegen Zähne, aber sie haben kein
                                Amalgam und keine Amalgamschäden.
Beispiel: Karte: Wo viel Amalgam gelegt wird, dort gibt es auch viele Menschen mit Multipler Sklerose (MS) [25]. In ärmeren Ländern werden die Gebisse nicht repariert und die Menschen verlieren deswegen Zähne, aber sie haben kein Amalgam und keine Amalgamschäden.

Karte mit der Verbreitung von
                                Multiple Sklerose (MS)
Karte mit der Verbreitung von Multiple Sklerose (MS) ohne Wissen um die Parallelität zum Gift-Amalgam [z002]

[Psychische Schäden durch Quecksilber: Persönlichkeitsveränderungen]

Eine der unschönsten Sachen, die wir gefunden haben über Quecksilber, und das gilt auch für die anderen Metalle, ist, dass es psychische Veränderungen macht. D. h. viele Leute haben keine offensichtlichen Symptome, sondern sind einfach nur jemand anders, als sie wären, wenn sie kein Quecksilber im Gehirn hätten. D.h. um herauszufinden, wer ich wirklich bin, sollte der erste Schritt sein, das Quecksilber aus mir herauszuholen und zu sehen, wer dann hinterher rausguckt. Die meisten von uns und unserer Gruppe, die auf diesem Weg sind, die mit der Entgiftung, über die wir später sprechen, angefangen haben, sind sehr überrascht, wer hinter dieser Fassade, die vorher da war, zum Vorschein kommt. Meistens sind wir liebevollere, friedlichere, angenehmere, intelligentere Menschen, wenn die Metalle mal aus dem Gehirn heraus sind, die da nicht sein sollten. Was gibt es noch für Erkrankungen?

[Schäden am Immunsystem bis zu Antibiotikaresistenzen]

Das Immunsystem geht kaputt. Es gibt auch wieder von Vimy und Lohrscheider eine Studie, die gezeigt hat, dass, wenn Quecksilberfüllungen vorhanden sind, werden die Bakterien im Organismus, die normalerweise in ihm leben, resistent gegen Antibiotika. Für die Leute, die es nicht wissen: Das grösste Problem, das im Moment in der Schulmedizin besteht, ist, dass wir nur um ein Antibiotikum weit entfernt sind von einem Massenexitus der Menschen auf diesem Planeten. Ein Antibiotikum, Streptomysin, das noch funktioniert gegen Staphylokokken. Und wenn es nicht mehr funktioniert, gibt es eine Epidemie von Infekten, die nicht mehr haltbar ist, da es kein Antibiotikum mehr gibt, und so nahe dran waren wir noch nie in den letzten 50 Jahren, ein Antibiotikum weit weg von einem Riesendesaster. In der Schulmedizin ist das grösste Problem die Antibiotika-Resistenz von Keimen. Bisher hat man angenommen, das einzige, was Bakterien antibiotikaresistent macht, sind Antibiotika. Wenn man Penicillin lang genug gibt, adaptieren sich die Bakterien im Organismus an das Penicillin und sind dann resistent. Bakterien haben eine wunderbare Kommunikationsfähigkeit. Wenn die Bakterien in meinem Organismus resistent geworden sind gegen Penicillin, geben sie sog. Plasmide ab. Das sind kleine Bläschen, die nichts enthalten ausser einem Stückchen DNAS oder RNS was den anderen Bakterien in der Umwelt vermittelt, wie man resistent werden kann gegen Penicillin, sozusagen den Trick enthält - ein kleines Bläschen mit dem Trick. Wenn ich diese Bakterien in meinem Darm habe und die überall bei mir leben, kommt jedes mal wenn ich ausatme, ein Schwall von Millionen von diesen Bläschen in die Umwelt, die die Information enthalten und an die anderen Bakterien weitergeben, wie man antibiotikaresistent wird. Jetzt hat man gefunden, dass bei Leuten, die Amalgamfüllungen haben, die Bakterien im Mund, die die gleichen sind wie die Darmbakterien, die kommunizieren auf und ab in unserem System und auch ins Blut. Unser Blut ist, wie wir heute wissen, voll von Bakterien, auch im gesunden Zustand. Wenn wir Amalgamfüllungen haben, werden die Bakterien resistent gegen das Quecksilber, geben Kupfer und die anderen Metalle, die im Mund sind, und gleichzeitig werden sie resistent gegen alle Antibiotika. Man weiss nicht, wie das funktioniert. Wenn sie den Trick lernen, wie man resistent wird gegen Quecksilber, haben sie automatisch damit den Trick gelernt, resistent zu sein gegen alle Antibiotika. Diese Bakterien leben dann sehr glücklich in uns und sprechen dann nicht mehr auf antibiotische Therapien an. Nicht nur das, sondern jedes mal, wenn wir ausatmen, kommt ein Schwall von Millionen von diesen Plasmiden heraus in unser Umfeld. Die anderen Bakterien lernen den Trick sehr schnell. Das war eine Studie, die hat die Wissenschaft ein bisschen ins Wanken gebracht. Da hat man sich überlegt, sollen wir es vielleicht doch dem Volk sagen. Aber man hat sich gesagt, wir warten einfach mal ein paar Jahre und sagen nichts. Und siehe da, die Stimmen der Wissenschaftler sind wieder still geworden, weil es kein Geld für diese Studien gibt. Denn es sind lauter Studien, die zwar an der Uni gemacht werden, aber alle aus der privaten Industrie finanziert werden. In USA gibt es immer noch gute Grossindustrielle, deren Namen ich nennen könnte, die solche Forschungsprojekte echt mit eigenem Geld finanzieren, nicht nur für den Nutzen der Industrie, sondern einfach nur für diese Sache.

[Quecksilbersymptome]

Die häufigsten Symptome für chronische Quecksilbererkrankung, die man selbst bei sich sehen kann, sind chronische Gelenkprobleme, ein Gelenk oder mehrere Gelenke, Muskelschmerzen, Schlaflosigkeit, Konzentrationsstörungen. Auch, wenn das Gehirn nicht mehr so gut funktioniert wie früher, dass wir denken, naja, wir werden h alt älter und es ist halt so. Wir wissen von biologischen Studien her, dass das Gehirn gut bleibt, bis wir 120 sind, und erst dann degenerieren sollte. Das ist harte Wissenschaft. Unser Gehirn ist angelegt, bis 120 voll zu funktionieren. Wenn ihr noch jünger seid als 120 und festgestellt habt, dass euer Gehirn nicht mehr so gut ist wie es mal war, ist das ein Zeichen von einer Ansammlung von Toxinen im Gehirn. Und, wie ich gesagt habe, eines der häufigsten Toxine ist Quecksilber, das alle anderen Toxine einbindet. Was gibt es noch für Symptome? Darmsymptome wie Verstopfung, Pilzerkrankung; Candida ist ein typisches Schwermetallsyndrom. Schwermetalle werden durch Pilze gebunden, und die Pilzerkrankung ist ein Weg, den der Organismus gefunden hat, Schwermetalle in der Zellwand der Pilze zu binden, ohne dass sie ins Gehirn gehen. Wir bringen den Pilz um, und die Candida-Behandlungen, die es gibt, aus meiner Sicht Schwachsinn, so wie sie durchgeführt werden. Man sollte immer erst die Schwermetalle entziehen und dann, wenn es noch nötig ist, mit dem Pilzmittel nachkommen und nicht umgekehrt. Sonst bringt man die Pilze um, dadurch setzt man die in der Zellwand gebundenen Schwermetalle frei, und diese kommen ins Rückenmark und ins Gehirn. Wie ist es bei Schwangeren? Wir wissen, dass man heute schätzt, dass 60 % der Quecksilbermenge der Mutter an das erstgeborene Baby weitergegeben werden in der Kombination von Schwangerschaft und Stillzeit. Quecksilber geht durch die Plazenta durch, lückenlos. Daher sind bei Kindern Lernstörungen, Autismus, Legasthenie zum grossen Teil Schwermetallerkrankungen, hervorgerufen durch die diaplazentare Transmission von Schwermetallen auf die Kinder, wobei die Erstgeborenen stärker betroffen sind als die Nachgeborenen, es sei denn, dass zwischen den Geburten wieder ein paar Füllungen gelegt wurden und das Reservoir wieder aufgefüllt wurde an Schwermetallen. Allergien bei Kindern, Neurodermitis werden ganz häufig verursacht durch die Schwermetalle der Mutter, die an das Kind weitergegeben worden sind. Asthma bei Kindern, Colitis ulcerosa, Morbus Crohn sind typische Schwermetallerkrankungen. Was die Schwangerschaft angeht ist auch interessant, dass der Mann heute auch immer mehr eine Rolle spielt. Wenn der Mann, der Vater, quecksilberhaltige Füllungen hatte, schwermetallhaltige Füllungen hatte, geht in den Kindern die Fähigkeit verloren, Schwermetalle auszuscheiden. Sozusagen das Immunsystem handelt nach dem Grundsatz: Was gut war für den Vater, muss auch für mich gut sein, so denkt die DNS, und wenn der Vater Amalgamfüllungen hatte, ist es wahrscheinlich, dass das Kind nicht fähig ist, in ausreichendem Masse Schwermetalle auszuscheiden. Es wird dann zum Ansammler; die Schwermetalle häufen sich an und werden entsprechend umverteilt, so dass auch der Vater hier eine grosse Rolle spielt bei den Folgeerkrankungen.

[Quecksilber und Quecksilber-Zahnärzte: hohe Selbstmordrate und hohe Rate an neurologischen Erkrankungen]

Es gibt Zahnärzte, die sind 70, 80 Jahre alt, sehen echt ganz gesund aus und haben ihr ganzes Leben lang mit Quecksilber gearbeitet. Wir haben uns Gedanken darüber gemacht und haben gefunden, dass dies Zahnärzte sind, die selber die Amalgamfüllungen hatten in ihrem Mund. Sobald eine Amalgamfüllung in den Mund kommt von diesen Zahnärzten, dann hat das den potenzierenden Effekt, dass sie aufhören, das Quecksilber auszuscheiden, und das ist eine Katastrophe. Und dadurch, dass die meisten Zahnärzte den Luxus haben, billig Goldfüllungen zu bekommen, ist dieser potenzierende Faktor nicht da. Jetzt ist es aber so, um es mal klar zu sagen, statistisch gesehen sind Zahnärzte die Berufsgruppe, die die grösste Rate an Suiziden hat und statistisch gesehen die Berufsgruppe ist mit der grössten Zahl der neurologischen Erkrankungen. Wobei es immer wieder Einzelfälle gibt, die keine Probleme zu haben scheinen, nur würde ich wagen zu sagen, der Zahnarzt, der normal gelebt hat bis er 80 Jahre war, wäre wahrscheinlich die einzigartige Person gewesen, die, wenn er nicht Zahnarzt gewesen wäre, 120 Jahre geworden wäre. Wir wissen nie, was das Potential von Leuten ist, wenn wir Leute angucken und sagen, na ja, denen geht es ja besser als dem Durchschnitt der Leute, denen es schlecht geht. Wenn wir dies vergleichen, können wir immer noch nicht sagen, wie wäre das Potential dieser Person gewesen, wenn sie nicht vergiftet wäre. Die Hypophysen-Studie hat gezeigt, dass der Quecksilbergehalt von der normalen Bevölkerung - in dieser Studie war Normalbevölkerung alle die Leute, die auch Amalgamfüllungen hatten - die hat man verglichen mit Zahnärzten, die zusätzlich noch diese Belastung hatten, dass die Hypophysen von Zahnärzten etwa viermal so viel Quecksilber hatten wie die Normalbevölkerung, die schon xmal soviel Quecksilber drin hatte als normal wäre. D.h. wahrscheinlich könnte man sagen, vier bis vierzigmal so viel wie jemand, der noch nie mit Amalgam Kontakt hatte.

[Goldlegierungen enthalten Platin, Palladium, Kupfer, Silber und Nickel etc. - Allergien durch falsche Zellreaktionen]

Goldfüllung aus Goldlegierung. Eine
                              Goldlegierung enthält neben Gold vor allem
                              auch Platin, Palladium, Kupfer, Silber und
                              Nickel etc. Diese Metalle sind bei
                              Goldfüllungen alle mit im Mund und
                              entfalten ihre
                              "Nebenwirkungen"...
Goldfüllung aus Goldlegierung [26]. Eine Goldlegierung enthält neben Gold vor allem auch Platin, Palladium, Kupfer, Silber und Nickel etc. Diese Metalle sind bei Goldfüllungen alle mit im Mund und entfalten ihre "Nebenwirkungen"...

Jetzt kurz zu den anderen Metallen: Goldfüllungen sind nicht aus Gold, sondern sind Goldlegierungen, meistens vermischt mit Platin, Palladium, Kupfer, Silber, Nickel - wir haben alles gesehen in diesen Materialien. Die durchschnittliche Goldlegierung, die verwendet wird für eine Krone, enthält 8 - 12 verschiedene Metalle und 20 - 30 Restbestände, Spuren von anderen Metallen. Gold ist nicht harmlos. Es ist so , dass die Goldkronen und die Goldfüllungen Metalle sehr viel langsamer abgeben als die Quecksilberfüllung. Von daher gibt es keine so grossen Probleme mit der Giftigkeit, aber mit Allergie. Wir wissen von den schwedischen Studien, dass die am meisten allergetisierenden Metalle Nickel und Kupfer sind, und dann kommt Quecksilber. Es funktioniert so: Wenn die Metalle eingeschwemmt werden in den Körper, also langsam abradiert werden von den Füllungen, werden sie über den Speichel im Mund und dann im Darm aufgenommen ins Blut, und dann haften sich diese Metalle an bestimmte Zellen, in der Niere, Leber, im Darm. Und sobald ein Metall an einer Zelle anhaftet, wird diese Zelle als Feind erkannt vom eigenen Immunsystem. Man nennt diese Funktion Haptenfunktion. Das Metall ist ein Hapten. Es hängt sich an die Zelle im Körper, und diese Zelle wird damit markiert fürs eigene Immunsystem als Feind. Damit sind die Metalle, die wir im Mund haben, auch Hauptursache für alle Autoimmunerkrankungen. Da gibt es heute keinen Zweifel mehr daran. Und zu Autoimmunerkrankungen gehören Lupus, Sklerodermie, Arthritis, alle Schilddrüsenprobleme, Migräne, Colitis ulcerosa, Morbus Crohn. Wir können die ganze Latte herunterbeten. Es sind meistens haptenverursachte Autoimmunerkrankungen. Von daher sind die Metalle im Mund gefährlich.

[Alle Metalle müssen raus aus dem Mund]

Es gibt kein Metall im Mund, das ungefährlich ist. Es ist nur so, manche vertragen Metalle besser, andere schlechter. Wir versuchen, unsere Patienten immer metallfrei zu halten. Man kann heute Brücken bauen aus metallfreien Materialien.

[Klebstoffe im Mund: allergetisierend und toxisch mit Nebelgefühl im Hirn - Argonlaser macht den Kleber verträglich]

Jetzt ganz kurz zu den anderen Zahnmaterialien, die auch nicht ganz harmlos sind. Einmal die Kleber, die verwendet werden. Die Kleber sind Kunststoffe. Wenn der Zahn aufgebohrt wird, um die Füllung reinzusetzen, kommen die Kleber zuerst mal hinein. Die Kleber bekommen Kontakt mit den Dentinkanälchen, die kleinen Kanälchen, die im Zahn sind. Unser kleinster Zahn, der Einser hat 2-3 km von diesen Kanälchen in sich. Diese Kanälchen sind lebendig, und es sind Dentoblasten drin (das sind lebende Zellen) oder Bakterien, wenn der Zahn tot ist. Diese Zellen sind in Kontakt mit den Klebern. Die Kleber sind erheblich allergetisierend und toxisch und haben Effekte. Man hat das Problem heute dadurch gelöst, dass man einen Argonlaser verwendet, um diese Plastiken voll auszupolymerisieren, d.h. der Kleber macht beim Härten normalerweise ganz kurze kleine Moleküle, die aufgenommen werden können über das Innere des Zahnes in unser System und dann sehr toxisch sind. Wenn man den Laser darauf hält, nachdem man eine Füllung legt, werden diese Moleküle sehr lang, bilden lange Ketten und werden dann immer unschädlicher. Das Problem ist eigentlich heute gelöst, aber die Lösung ist in Deutschland noch nicht bekannt, und viele von euch haben diese Kleber im Mund, die oft dieses Nebelgefühl im Gehirn machen. Es ist das häufigste Symptom - so (?) ..ich kann es nicht richtig beschreiben. Patienten sagen das gleiche, das Gefühl, als wenn ein Vorhang in meinem Gehirn wäre. O.k., das waren die Zahnmaterialien.

[Implantate]

Schema
                                eines Zahnimplantats: Da kommt jede
                                Menge Titan und vielleicht noch weitere
                                Metalle in den Mund. Die
                                "Wissenschaft" kreierte den
                                neuen Zweig der
                                "Implantologie" ohne Wissen um
                                die Metallwirkungen im Körper
Schema eines Zahnimplantats [27]: Da kommt jede Menge Titan und vielleicht noch weitere Metalle in den Mund. Die "Wissenschaft" kreierte den neuen Zweig der "Implantologie" ohne Wissen um die Metallwirkungen im Körper

[Implantate aus Titan provozieren in 4-5 Jahren meist Autoimmunkrankheiten- niemand führt Statistik - 6-Monats-Statistik]

Jetzt was tun? Jetzt kommt der Teil, wo wir über Entgiftung sprechen. Jetzt war eine Frage über Implantate. Implantate sind im allgemeinen aus Titan. Titan ist ein hochgradig allergetisierendes Material für viele Leute, nicht für alle; d.h. gelegentlich werden die Titanimplantate vertragen, meistens haben sie Spätfolgen, dass die Leute zunehmend immer allergischer werden und vier, fünf Jahre später ihre Autoimmunprobleme entwickeln, und die dann meistens nicht in Zusammenhang gebracht werden, und der Patient verstirbt dann schliesslich an einer Autoimmunkrankheit, aber in der Statistik gilt der Patient als Erfolg, weil der Zahn gehalten hat bis zum Tod. Das Problem, das wir heute haben, ist, dass es keine Statistik gibt, die die Lebenserwartung und die Folgeerkrankung mit einbezieht. Es gibt eine Sechs-Monate-Studie; man baute das Titan ein in den Mund, und wenn der Zahn nach sechs Monaten noch nicht ausgefallen ist, galt dieser Patient als Erfolg. Es wird immer gesagt, Implantate sind heute ausgezeichnet und werden gut vertragen - für sechs Monate! Wir haben furchtbare Sachen gesehen von den Implantaten. Ich rate Leuten nicht, Implantate zu haben. Ausnahme: Es gibt heute Keramikimplantate, die sehr viel besser sind und kein Metall haben.

[Implantate werden an einer infizierten Stelle eingeschraubt - die "US"-Gesundheitsbehörde kontrolliert nichts mit der Ausrede, Zähne würden ausserhalb des Körpers liegen]

Das zweite Problem ist, dass die Implantate normalerweise da eingebaut werden, wo ein infizierter Zahn gezogen worden ist. Der infizierte Zahn hinterliess eine Infektion im Knochen, die immer noch vor sich hinkokelt.

In Amerika hat man die Frage der Sicherheit der Materialien umgangen, indem man sagt, Zahnfüllungen sind Apparaturen, "devices". Die werden nicht reguliert durch die F.D.A. (Gesundheitsbehörde). Damit sagt man, dass Zahnfüllungen nicht innerhalb des Körpers sind, sondern da sie ja auf den Zähnen sitzen, sind sie ausserhalb des Körpers und müssen daher nicht dem gleichen Sicherheitstest unterliegen wie Sachen, die in den Körper kommen. Von daher gibt es kein Zahnmaterial in den USA, das bis jetzt auf Langzeitsicherheit studiert worden ist oder erforscht worden ist in den medizinischen Hochschulen usw. Dadurch dass man sagt, Zahnfüllungen sind nicht im Körper, sondern in der Mundhöhle, die eigentlich ausserhalb des Körpers liegt und mit dem Körper nichts zu tun hat und ein peripheres Anhängsel ist, das irgendwo hier draussen ist. Das ist eine interessante Denkweise.

[Amalgam seit 150 Jahren - Amalgam in die "USA" geschmuggelt - 150 Jahre Rechtfertigungen für Amalgam]

Ganz kurz zur Geschichte: Amalgam ist 150 Jahre alt und wurde in Frankreich erfunden. Die ersten Ärzte, die nach Amerika kamen und Amalgam mitbrachten, wurden verhaftet als Scharlatane. Amalgam wurde verboten. Dann kam es aber auf Schleichwegen doch nach Amerika und dann gab es den Amalgamkrieg, so hiess es damals. Es gab Leute, die sagten, Amalgam ist gut und es gab Leute, die sagten, guckt doch her, wenn Amalgam eingebaut wird, haben die Leute Rückenschmerzen und die sind im Rollstuhl, der ist schon gestorben, und die Leute, die kein Amalgam haben, sind noch gesund. Aber der Druck der Bevölkerung damals war gross, Amalgam war billiger als Gold. Es war die gleiche Situation gewesen, vor 150 Jahren gab es gute Goldfüllungen, gute Goldkronen, die Zahnheilkunde war schon da, wo sie heute praktisch ist, und in diesen 150 Jahren ist nicht viel passiert ausser jetzt der Plastikfüllung und der Keramikfüllung, die ja noch relativ jung sind mit wenig Erfahrung. Die Industrie hat geschlafen, weil die Industrie verwaltet wurde von Zahnärzten, die alle vergiftete Gehirne haben. Es gibt eine Studie, eine sehr gute veröffentlichte Studie in den USA, die darauf eingeht auf die Art, wie Forschung betrieben wird. Die Studie zeigt, dass die Amalgamvergiftung typischerweise die Fähigkeit, wissenschaftlich-kritisch denken zu können, die erste Fähigkeit ist, die verloren geht. Sie hat zeigen können, dass die ganzen zahnärztlichen Veröffentlichungen durch Zahnärzte beurteilt werden; also das, was veröffentlicht wird in der Zahn-Fachzeitschrift. Es sind alles Leute, die ihre wissenschaftlich-kritische Fähigkeit verloren haben, und dennoch beurteilen, welche Artikel aufgenommen werden in den medizinischen Fachzeitschriften.

Dadurch, dass Zahnarzt-Artikel beurteilt werden von Zahnärzten, die vergiftet sind, hat die Zahnheilkunde sich seit 150 Jahren praktisch nicht entwickelt,


während Wissenschaftler, die keine Zahnärzte sind, sich das angucken und wissenschaftliche Studien machen über Zahnmaterialien, sagen: "Mein Gott, das kann doch gar nicht wahr sein, was hier passiert!" Und deshalb sind die ganzen Veröffentlichungen, die zeigen, dass Amalgam hoch gefährlich ist, nicht zahnärztliche Veröffentlichungen, sondern wissenschaftliche Veröffentlichungen. Die ganzen zahnärztlichen Veröffentlichungen sind pseudowissenschaftliche Veröffentlichungen, worin argumentiert wird, Amalgam ist deshalb unschädlich, weil es schon seit 150 Jahren verwendet wird. Das ist das Argument! Im Artikel sieht es aber meistens so aus, die Studie von soundso hat ja bewiesen, dass Amalgam ungefährlich ist. Und wenn man in der Studie nachguckt, zitiert diese Studie eine andere Studie, ohne eine Studie zu sein und sagt, ja, die Studie vor 18 Jahren zeigt, dass das Amalgam ungefährlich ist. Wenn man diese Studie dann nachliest, sagt sie, Amalgam ist ungefährlich, weil es schon seit 130 Jahren benutzt wurde mit einem guten Sicherheitsstandard, und offensichtlich gibt es die Menschheit noch, wir sind nicht alle verstorben. Deshalb muss das Amalgam gut sein. Es gibt keine Studie, die gezeigt hätte, dass es unschädlich ist.

[Die Entgiftung: Entfernung von Amalgamfüllungen und die Ausleitungsmittel zum Schutz von Leber und Nieren]

Und jetzt zur Entgiftung: Es gibt verschiedene Wege, das Quecksilber aus dem Körper herauszuholen. Ich sag euch jetzt einfach mal die Lösung, die wir gefunden haben, die funktioniert, und dann können wir später noch die Fragen beantworten und nachschauen, was es sonst noch gibt. Der erste Schritt, wenn man Amalgam aus dem Körper holen will, ist, dass man die Leber und die Niere freihalten muss. Die Nierenmembranen schwellen an, wenn sie in Kontakt sind mit Quecksilber. Wir haben eine Studie gemacht, als ich noch Medizin studiert habe. Wir haben 100 Frauen untersucht, junge Frauen, die Verkehrsunfällen verstorben waren. 96 % dieser Frauen, die nie irgendwie offensichtlich Nierenbeschwerden hatten, hatten mehr oder weniger kaputte Nieren aus unerklärlichen Gründen. D.h. wenn hier 100 Frauen im Raum sitzen, haben 96 % von euch erheblich lädierte Nieren, unter anderem durch die Schwermetalle.

Wir geben dagegen sogenannte Ausleitungsmittel: Es gibt hier verschiedene Kräutermittel, die sich sehr gut eignen. Wir nehmen die Produkte der Firma Nestmann. Dies ist eine Kräutermittelfirma, sie ist auch auf unserer Liste drauf. Wir können einfach die Firma anrufen und fragen: "Wie heisst euer Ausleitungsmittel für die Leber, wie heisst es für die Nieren?"

Solidago sind Tropfen für die Nieren und

Hepatica sind Tropfen für die Leber.

Goldrutentropfen zur Nierenpflege,
                              hier eine Riesengoldrute (Solidago
                              gigantea)
Goldrutentropfen zur Nierenpflege, hier eine Riesengoldrute (Solidago gigantea) [28]
Hepatica 
Leberblümchen (Hepatica),
                              Nahaufnahme
Leberblümchentropfen (Hepatica) zur Leberpflege während der Ausleitung [29,30]





Patienten nehmen die Tropfen jeden Tag, sie sind angenehm, schmecken wie Kräutertropfen. Das ist Teil Nummer eins, die Ausscheidungsorgane freizuhalten. Wenn man natürlich ausleitet, geht das 3-4 Jahre. Wenn man aggressiv ausleitet, 1-2 Jahre. Ich gehe darauf noch ein, dass die meisten Leute, die glauben, dass sie ausgeleitet haben, haben ihre Schwermetalle mehrmals im Körper herum verschoben bis alles im Gehirn ist, und haben nie ausgeleitet. Es gibt aber ein Programm, das funktioniert. Das war Schritt Nummer eins.

Schritt Nummer zwei: Wenn die Leber das Quecksilber ausscheidet - es kommt wirklich heraus - endet es über die Gallengänge im Darm. Der normale Verlauf ist, wenn Quecksilber im Darm ist, dass das Quecksilber sich im Darm an verschiedene Substanzen
bindet, die da sind, und im Enddarm, im Colon, wird das ganze Quecksilber, das im Darm ist, rückresorbiert und über die Venen wieder zurück in die Leber transportiert, und dann von der Leber wieder in den Darm, und vom Darm wieder in die Leber, so dass die Leber zugeht und sagt: "Ich kann kein Quecksilber mehr sehen!" Die Zellen schwellen an, die Zellmembran, und dann wird das Quecksilber umverteilt in andere Gewebe. Um dies zu verhindern - den sog. enterohepatischen Kreislauf der Schwermetalle - geben wir hohe Dosen einer Alge, die heisst Chlorella Pyrenoidosa.

Clorella-Pyrenoidosa-Algentabletten
                                zum Binden und Ausscheiden von Metallen
                                aus dem Darm
Clorella-Pyrenoidosa-Algentabletten zum Binden und Ausscheiden von Metallen aus dem Darm [31]

Chlorella ist eine Alge, die eine Membran hat, die Schwermetalle wie ein Schwamm absorbiert und sehr stark bindet. Und zwar bindet Chlorella alle toxischen Schwermetalle, auch Cadmium, Nickel, Blei, Gold, Platin, Paladium, darüber hinaus auch die gängigen Umweltgifte - Dioxin, Formaldehyd, Insektenschutzmittel. Die ganzen Metallstoffe, die in der Zahnheilkunde verwendet werden, werden durch diese Alge gebunden. Wenn wir Chlorella an Bord bringen, kann das Schwermetall nicht wieder zurückresorbiert werden. Ich habe Folien hier, die ich heute Abend nicht zeigen wollte, die zeigen, wenn wir mit Chlorella ausleiten, kommen hohe Dosen an Schwermetallen im Stuhl heraus, die vorher nicht herauskamen. Da kann man eine Stuhlanalyse machen. Wie gibt man Chlorella? Chlorella hat mehrere Substanzen in sich, die Schwermetalle im System mobilisieren durch bisher unbekannte Mechanismen. D.h. es hat zwei Komponenten: Eine Komponente von Chlorella mobilisiert Schwermetalle im Gewebe, die dann plötzlich flüssig werden und im Blut erschien; die andere Komponente ist die Zellmembran, die Schwermetalle im Darm bindet.

[Die Schwermetalle sind dann in der Kläranlage und werden nicht herausgefiltert, und so sind die Flüsse, Seen und Meere immer mehr mit Schwermetallen verseucht, dank Amalgam-Zahnarzt bzw. Goldlegierungs-Zahnarzt. Aber das ist doch der Regierung egal].

Die Komponente, die Schwermetalle mobilisiert, sind wahrscheinlich die Aminosäuren, die in der Alge sind. Diese werden resorbiert ins Blut und ins Gewebe, mobilisieren Schwermetalle, und die Zellmembran bleibt im Darm, resorbiert und absorbiert Schwermetalle im Darm. Jetzt ist es so, wenn man kleine Mengen an Chlorella gibt, mobilisiert sie oft mehr Schwermetalle als sie bindet. D.h. wenn Leute 3-4 von diesen Tabletten pro Tag nehmen, kriegen sie oft Kopfschmerzen, Übelkeit und fühlen sich unwohl nach einer Weile, weil Quecksilber mobilisiert wird im Gewebe. Das Quecksilber kommt in Kontakt mit Nerven und als Symptome kommen Schmerzen etc. Wenn man aber hohe Dosen an Chlorella gibt, wird nicht proportional mehr Quecksilber mobilisiert, aber es wird sehr vielmehr Quecksilber abgebunden als mobilisiert wird. Aus diesem Prinzip ergibt sich, was wir machen. Wir titrieren den Patienten mit Chlorella, d.h. wir geben ihm erst zwei Tabletten pro Tag, dann vier Tabletten, dann sechs Tabletten über 3-4 Wochen und schauen, an welcher Stelle fängt der Patient an, Symptome zu entwickeln. Sodbrennen, Übelkeit, Muskelschmerzen, Schwierigkeiten einzuschlagen, Kopfschmerzen, Blähungen sind die typischen Symptome. Wir finden die Zahl an Tabletten, die er nehmen kann, ohne Symptome zu haben. Bei den meisten Leuten sind es 4-6 Tabletten, manche vertragen nur eine Tablette pro Tag erstmals. Und jeden 9. Und 10. Tag geben wir das zehnfache dieser Menge, d.h. 40, 50 oder 60 Tabletten. Wir gehen nicht über 60 pro Tag. Aber wir geben am 9. Und 10. Tag jeweils 40, 50 oder 60 Tabletten, das zehnfache der Dauerdosis. Danach, nach dem zehnfachen, das am 9. Und 10. Tag gegeben wird, machen wir ein oder zwei Tage Pause und geben dann wieder die Unterhaltensdosis von 4 oder 5 Tabletten pro Tag und gehen dann wieder hoch auf 40, 50 oder 60 für zwei Tage. Dies zu Chlorella, es bindet erst mal die Schwermetalle im Darm. Das beste - d.h. am wenigsten schwermetallbelastete - Chlorellaprodukt mit der besten Membranabsorption ist in Deutschland erhältlich unter dem Namen Bio-Reurella.

Bio-Reurella-Pillen (hier eine
                                Packung), Tabletten zum Ausleiten von
                                Metallen aus Organen
Bio-Reurella-Pillen (hier eine Packung), Tabletten zum Ausleiten von Metallen aus Organen [32]

(Anmerkung von Robert Schneider: Laut Dr.med Hildegard Schreiber, Molekularbiologin und Ärztin für öffentliches Gesundheitswesen in München, die nach der Klinghardt-Methode seit vielen Jahren behandelt, vertragen viele Patienten Chlorella nicht und in diesen Fällen verwendet sie die Afa-Alge mit ebensolchem Erfolg. Dr. Schreiber testet daher jeweils kinesiologisch, welche Alge für den betreffenden Patienten günstiger wirkt).

Ausleitung von Metallen mit
                                Algenpillen "Afa-Alge",
                                Presslinge in Glas
Ausleitung von Metallen mit Algenpillen "Afa-Alge", Presslinge in Glas [33]

[Ausleitung von Quecksilber und anderen Giften aus Gehirn und Nervengewebe: Koreanderkraut / Korianderkraut (cilantro)]

Um das Quecksilber aus dem Gehirn
und aus dem Nervengewebe zu mobilisieren gab es bis vor kurzem, bis vor einem halben Jahr keine Substanz auf der Welt. Es gibt schulmedizinische Mittel, die Quecksilber mobilisieren: DMPS oder Penicillamin und DMSA. Das sind schwefelhaltige Aminosäuren oder schwefelhaltige Substanzen, die Quecksilber binden. Sie können Quecksilber nur aus dem Bindegewebe mobilisieren und über die Nieren ausscheiden, können aber nicht ins Gehirn herein. Man hat früher gemeint, DMSA tritt ins Gehirn ein, hat sich aber als Fehler bestätigt. Es kommt nicht ins Gehirn herein. Dann gibt es noch eine andere Substanz, D-Penicillamin. Dies war ursprünglich ein Entgiftungsmittel für Kupfer, was auch für Quecksilber funktioniert. Es ist sehr giftig und kommt evtl. teilweise in die Gehirnzelle hinein, aber nicht genug, um das Gehirn zu entgiften. Aufgrund der Forschungsarbeit eines Freundes von mir in New York, Herrn Dr. Omura, haben wir einen Weg gefunden. Er hat herausgefunden, dass eine Pflanze, eine Art von Petersilie, die Eigenschaft hat, Schwermetalle im Gehirn sehr stark zu mobilisieren und zu entgiften. Diese Pflanze heisst auf deutsch Koreanderkraut; den lateinischen Namen kenne ich nicht. Koreanderkraut hat auch den Namen chinesische Petersilie [= Korianderkraut, span. cilantro, lat. coriandrum [web06]].

Korianderblätter, Korianderkraut,
                              chinesische Petersilie, Oberseite (links)
                              und Unterseite (rechts)
Korianderblätter, Korianderkraut, chinesische Petersilie, Oberseite (links) und Unterseite (rechts) [34]

Dr. Omura (New York [web09]) hat eine Studie gemacht, wo Leuten radioaktive Metalle injiziert wurden, die sich im Gehirn anreichern, um zu schauen, wie die Hirnfunktion ist. Er stellte zufällig bei einem der Patienten fest, dass am nächsten Tag schon das ganze Technicum, das radioaktive Metall, aus dem Gehirn heraus war. Nach Monaten an Forschungsarbeit fand er heraus, dass dieser Patient am Tag vorher Hühnersuppe gegessen hatte mit einer grossen Menge chinesischer Petersilie, Koreanderkraut. Dies führte zu allen möglichen Nachuntersuchungen, und ich hab das dann collaboriert - wir haben festgestellt, dass dieses Kraut einen phantastischen Effekt hat, Schwermetalle aus der Nervenzelle auszuschleusen. Und nicht nur das, sondern, wenn die Nervenzellen anfangen zu heilen - das zerstörte Transportsystem in der Zelle fängt an zu heilen, wenn das Quecksilber herauskommt aus der Nervenzelle - dann kommen auch die ganzen anderen Gifte heraus, eines nach dem anderen, das Dioxin, Formaldehyd, Holzschutzmittel, alle anderen Metalle, Zinn, Aluminium. Plötzlich wird der ganze Organismus überschwemmt mit diesen Sachen, die man vorher nicht gesehen hat. Wir verwenden heute eine speziell hergestellte Koreanderkraut-Tinktur (Paracelsus Apotheke in Einsiedeln).

[Testverfahren mit Korianderkraut-Tinktur für Quecksilber in Nervenzellen]

Wichtig für die Leute, die Elektro-Akupunktur machen oder Kinesiologie, ist, dass wir das Autonome Nervensystem (ANS) mit diesen Techniken testen. Und das ANS endet im Bindegewebe, es endet nicht im Gehirn in der Nervenzelle. Und daher, wenn wir kinesiologisch testen, können wir nur erfassen, welche Schwermetalle im Bindegewebe sind. Das Resonanzprinzip gilt nur für die Substanzen im Bindegewebe, nicht für Metalle und Sachen, die in der Nervenzelle sind. Wir können kinesiologisch nicht testen und auch mit Elektro-Akupunktur nicht, ob Quecksilber im Gehirn ist. Es gibt bis heute keinen Test, der das aufzeigen kann. Wir können aber ein paar Tropfen Koreanderkraut-Tinktur geben, dann geht das Quecksilber aus der Nervenzelle heraus und tritt aus ins Bindegewebe im Gehirn. Wenn wir jetzt unseren Muskeltest machen, finden wir das Quecksilber im Gehirn. Dadurch habe ich einen sehr eleganten Test entwickelt.

Wir geben Koreanderkraut-Tinktur, 5-6 Tropfen davon auf die Zunge. Die Testreihenfolge sieht so aus: Wir testen den Patienten durch und schauen, was wir finden und legen resonierende Substanzen auf. Sagen wir mal, wir finden, dass die Nieren testen, und die Nieren testen gegen Solidago! Jetzt geben wir ein paar Tropfen davon, und die Nieren sind befriedigt, sind glücklich. Wir finden sonst nichts anderes, der Patient hat aber MS oder eine andere schwere Erkrankung, und wir finden einfach nichts weiter. Wir vermuten aber aufgrund meiner Vorlesung von heute Abend, es könnten Schwermetalle sein. Jetzt geben wir diesem Patienten 5-10 Tropfen Koreanderkraut-Tinktur auf die Zunge und warten 2-3 Minuten. Dies ist genug Zeit, dass die Substanz aufgenommen wird über den Blutweg, zirkuliert durchs Gehirn und schwemmt sofort Schwermetalle aus, sehr schnell, die jetzt im Bindegewebe erscheinen und im Körper umverteilt werden. Wenn wir jetzt den Patienten nachtesten, finden wir plötzlich, dass das Gehirn testet, die Nieren testen wieder, die vorher schon korrigiert waren, die Lunge testet meistens sehr schnell, innerhalb von Sekunden und nach der Gabe von Koreanderkraut-Tinktur. Es wird aufgenommen über die Zunge, geht über die Venen ins Herz, vom Herzen in die Lunge, von der Lunge ins Gehirn und dann wieder vom Gehirn über die Venen ins Herz und vom Herzen wieder in die Lunge. Von daher wird das Quecksilber, das hierdurch mobilisiert wird, sofort in die Lunge verlagert. Für die, die testen jetzt von euch: Ihr findet immer wenige Sekunden nach der Gabe von Koreanderkraut-Tinktur, dass der Patient zu hüsteln anfängt. Und wenn man dann die Lungenpunkte nachtestet, wenn man Quecksilber auflegt, gibt es das "Two-pointing"; denn siehe da, das Quecksilber erschien in der Lunge und wird jetzt abgeatmet. Ich trete dann immer 6-7 Meter weg vom Patienten und lasse ihn erst mal alleine hüsteln. Denkt daran, Quecksilber ist ein Gas, es ist geruchlos, geschmacklos und unsichtbar. D.h. wenn der Patient vor sich hinhüstelt, gibt er Quecksilberdampf ab in seine Umgebung. Das ist der grösste revolutionäre Schritt in der Kinesiologie, seit ich dabei bin, dass wir ein Mittel geben können und innerhalb Sekunden hinterher testen können, dass dieses Mittel Schwermetalle aus der Gehirnzelle und aus der Rückenmarkszelle herausholt und freisetzt im Gewebe. Dann können wir Substanzen nachtesten, die es aus dem Gewebe abholen und ausscheiden. (Über die Bezugsquellen spreche ich später, die gebe ich Ihnen am Ende. Die Bezugsquelle im allgemeinen ist Monika Hanelt).

[Koreanderkraut-Tinktur - und giftiges Koreanderkraut aus China - die Herstellung von Koreanderkraut]

Koreanderkraut-Tinktur ist etwas, was von mir eingeführt worden ist. Ich versuche noch, bevor es jemand von euch macht, ein Patent darauf zu bekommen, was wahrscheinlich nicht möglich sein wird. Das Problem mit Koreanderkraut ist ...ich habe darüber Vorlesungen gegeben, und sofort gab es einen Schwall von Leuten, die ihre eigenen Firmen sofort aus dem Boden gestanzt haben und Koreanderkraut herstellen, das aus China eingeflogen wird. Wir wissen, dass die Kräuter, die aus China kommen, alle verseucht sind mit Insektiziden und Pestiziden, und dass wir vom Regen in die Traufe kommen. Man kann als Test eine einmalige Dosis geben, um zu gucken, ja, das ist ein Problem, aber bitte nicht als Therapie verwenden!

Ein Apotheker in der Schweiz, Albert Kaelin, hat uns ein sehr sauberes Koreanderkraut hergestellt. Alternativ, wenn die Tinktur noch nicht erhältlich ist, ist das Vorgehen folgendermassen: Man bestellt sich im Gemüsegrossmarkt Koreanderkraut, wäscht es gut mit gutem Wasser, tut es in den Mixer mit ein bisschen Olivenöl und Salz und macht ein Pesto daraus, eine cremige Sosse.

[Die Dosis Koreanderkraut-Pesto für die Ausleitung - Kontakt mit dem ANS und die Symptome]

Von dieser cremigen Sosse nimmt man 1-2 Esslöffel dreimal am Tag. Immer nach einer Woche sollte man zwei Tage Pause machen, um das System nicht zu überlasten. Eine Warnung! Koreanderkraut-Tinktur funktioniert; es ist kein Mittel wie die anderen Mittel, die ihr sonst gebt, ein bisschen Homöopathie, ein bisschen Kräuter. Ihr müsst euch hier auf eine Achterbahnfahrt vorbereiten für den Patienten. Es entgiftet das Nervengewebe. Wenn Gifte aus den Nervenzellen herauskommen ins Bindegewebe, kommen sie in Kontakt mit dem ANS [Autonomes Nervensystem]. Jetzt kommen die Schmerzen, die Entzündungen, die psychischen Symptome, die Verwirrtheit, das Taubheitsgefühl, die Muskelspasmen. Jetzt geht es los. Wir müssen dann gucken, welches Metall ist es und wie bewegen wir das Metall jetzt aus dem Bindegewebe heraus? Der eleganteste Weg hier in Deutschland ist, DMPS zu spritzen. DMPS ist Dimercapto-Progran-Sulfonsäure, es ist praktisch das, was in der Autobatterie ist, ein bisschen modifiziert, modifizierte Schwefelsäure. Das Produkt heisst DMPS; es ist eine Ampulle, und man spritzt 3 mg pro kg Körpergewicht. Man kann es intravenös spritzen, intramuskulär. Der eleganteste Weg ist die von mir entwickelte Methode, diese Substanz direkt dahin zu spritzen, wo das Quecksilber sich im Körper zeigt bei der kinesiologischen Untersuchung. Wir verwenden die Technik, die Segmenttherapie heisst in der Neuraltherapie, wo wir das Medikament vermischen mit einem Lokalanästhetikum im Verhältnis 9/1 - neun Teile Lokalanästhetikum, ein Teil DMPS - und wir machen dann Quaddeln über den Stellen über der Haut über den Organen, die für Quecksilber testen oder für welches Metall auch immer. DMPS entgiftet Arsen, Quecksilber, Kupfer, Zinn und andere Metalle auch, aber nicht alle Metalle.

Wenn Aluminium kommt ...es wird am besten entgiftet durch hohe Gaben an Vitamin C - oral - und Kalzium.

Jedes Metall hat seine eigene Art, wie es am besten entgiftet wird, auf die ich hier nicht länger eingehen möchte. Bleiben wir mal beim Quecksilber, denn es gibt Dutzende von Metallen, und ein Metall nimmt schon den ganzen Abend in Anspruch. Jetzt sieht unser Programm so aus: Erst die Nierenausleitungsmittel, Leberausleitungsmittel, dann den Patienten titrieren mit Chlorella, dann Koreanderkraut-Tinktur - Gürtel umschnallen, Schuhe zubinden - gucken, wo erscheinen jetzt welche Metalle, und dann testen wir gegen diese Stellen die Mittel, die die Metalle aus dem Bindegewebe herausholen, aus dem Körper. Einfaches Prinzip: Der Patient sollte auf einer eiweissreichen Diät sein, weil die schwefelhaltigen Aminosäuren wichtig sind für den Transport von Schwermetallen aus dem Körper heraus.

Wenn jemand Vegetarier ist, ist er sehr viel mehr gefährdet während der Schwermetallausleitung, dass die Metalle nicht heraus kommen, sondern ins Gehirn verschoben werden. Ich geh darauf noch mehr ein. Schwefelhaltige Mittel sind die Mittel, die im allgemeinen das Bindegewebe von Schwermetallen entgiften. Es gibt sicherlich eine Reihe natürlicher Substanzen, die weniger effektiv sind als DMPS, aber die natürlich wirken. Das sind v.a. die schwefelhaltigen Aminosäuren, z.B. N-Azetylcystein, das ist eine der bekannteren. Man gibt 2 g jeden Morden vor dem Frühstück als Alternative dazu.

[Bioresonanztherapie und Homöopathie: falsche Therapieansätze und schwere Folgekrankheiten wie MS]

Jetzt ganz kurz ein paar Warnungen: Bioresonanztherapie und Homöopathie

Wenn man dem quecksilbervergifteten Patienten homöopathisch Quecksilber gibt, hat das homöopathische Mittel einen Effekt: Es öffnet die Membran der Zelle für Quecksilber. Wenn ich jetzt viel Quecksilber im Bindegewebe .... hier ist die Zelle, stellt euch ein Quadrat vor, hier ist die Zelle, und drinnen ist Quecksilber und ausserhalb. Wenn hier draussen im Bindegewebe mehr Quecksilber ist als in der Zelle, und ich öffne die Zellmembran für Quecksilber, was passiert dann? Das Quecksilber folgt dem osmotischen Gradienten und bewegt sich in die Zelle. Die meisten Homöopathen und Bioresonanztherapeuten, deren Patienten ich untersuchen konnte, haben genau dies gemacht. Die haben die Patienten, die schwer quecksilbervergiftet waren, wo der Körper es noch geschafft hat, das Gehirn und das Nervengewebe noch einigermassen freizuhalten und das meiste Quecksilber in Depots im Bindegewebe abgelagert war ... mit Hilfe des Homöopathen oder Bioresonanztherapeuten ist es gelungen, dieses Quecksilber dann mit wenig Mühe ins Nervengewebe zu verschieben. Der Patient, der vorher vielleicht Rückenschmerzen oder andre Probleme hatte, hat sich zwar erst mal hinterher super gefühlt. 4-5 Jahre später hat er aber eine MS entwickelt oder andre schwere neurologische Erkrankungen, was natürlich dann nichts zu tun hatte mit dem, was vorher da war.

Einzelmittel-Homöopathie, wenn nach Repertitorium gearbeitet wird, kann man machen. Es bezieht sich nur auf den Homöopathen, der zur Quecksilberausleitung homöopathisches Quecksilber gibt, es bezieht sich nicht darauf, wenn er Pulsatilla gibt, weil jemand ein Pulsatilla-Typ ist. Das soll weiterhin gemacht werden.

Die Bioresonanztherapie hat im allgemeinen einen vorhersehbaren Effekt, weil die Bioresonanztherapie darauf beruht, mit Elektro-Akupunktur das Gewebe und die Organe zu testen. Elektro-Akupunktur erfasst aber nur den Extra-Zellulärraum, nicht den Intra-Zellulärraum. Deshalb messen wir mit Bioresonanztherapie das Quecksilber, das im Bindegewebe liegt, das "harmlose" Quecksilber, das zwar Symptome macht, das uns aber nicht zerstört. Dann wird die Bioresonanztherapie gemacht, und siehe da, bei der Nachmessung ist das Quecksilber verschwunden. Wenn wir bei diesen Leuten im Urin gucken, im Urin erscheint kein Quecksilber, und wenn wir im Stuhl gucken, auch da erscheint kein Quecksilber, und wenn wir im Speichel gucken und im Schweiss gucken, auch da erscheint kein Quecksilber. Es ist verschwunden aus der Messung, d.h. es ist aus dem Bindegewebe verschwunden. Wohin ist es verschwunden? In die Nervenzelle hinein, wo es jetzt für den Rest des Lebens des Patienten ein glückliches Dasein führt und das Leben des Patienten zerstört. Viele Therapien, unglücklicherweise v.a. in der Alternativmedizin, beruhen auf diesem Prinzip, dass die Messwerte behandelt werden, und der Patient geht ein an den Folgeerscheinungen.

Das war im grossen und ganzen was ich sagen wollte. Noch eine Kurzvorlesung über DMPS:

[Details zu DMPS mit Langzeitstudie - der Erfolg in den "USA" - die falsche Anwendung in Dumm-Deutschland]

[
DMPS: Dimercapto-Progran-Sulfonsäure]

Wir haben auf mein Anregen hin eine Langzeitstudie in den USA laufen seit drei Jahren, an der 1000 Ärzte teilnehmen. Dieses DMPS wird auf meine Anweisung hin nur im Zusammenhang mit dem Muskeltest und ein paar Sicherheitsmassnahmen verwendet, z.B. Haaranalyse, und schauen periodisch, wo die Mineralien sind des Patienten. Bei diesen 1000 Ärzten, die das Medikament täglich 15 bis 20 mal verwenden, hat es bis jetzt in drei Jahren keinen Zwischenfall gegeben, d. h. DMPS ist mit Abstand weniger gefährlich als Aspirin oder die anderen Mittel, die für harmlos gehalten werden. Die Zwischenfälle, die berichtet werden, sind meistens aus Deutschland von Ärzten, die keinen Muskeltest verwenden, die den Patienten nicht diagnostiziert haben, die DMPS alleine geben ohne diese anderen Methoden dazu. Von daher ist es für mich erschütternd, wie wenig wir hier gehört werden.

Ich habe DMPS in den USA eingeführt mit den Sicherheitsvorkehrungen. Wir haben keinerlei Probleme gehabt. In Deutschland hat DMPS einen schlechten Ruf, weil es nicht so verwendet wird, wie es verwendet werden sollte. Die Firma weiss davon nichts, die Firma in Berlin ist arrogant und verschlossen und absolut nicht gesprächsbereit. Aber das Mittel ist ein phantastisches Mittel und eins der wichtigsten Mittel in der Welt überhaupt im Moment.

[Die Schwermetalle in der Erde - die Industrialisierung verteilt die Schwermetalle - Beispiel Cadmium aus Autoabgasen]

Bergbau,
                              Bergmann bei Montagearbeiten
Bergbau der Industrialisierung, Bergmann bei Montagearbeiten [35]
Bergbau,
                              Förderlinie
Bergbau der Industrialisierung, Förderlinie [36]

Die Schwermetallfrage gibt es erst seit 200 Jahren. Vor 200 Jahren war die Erdkruste noch schön verschlossen und versiegelt. Mit dem Beginn der Grossindustrie fingen wir an, die Erde aufzubuddeln durch die Kruste hindurch, und erst dann haben wir diese Schwermetalle erreicht, die aufgrund ihrer spezifischen Schwere tiefer unter der Erdoberfläche sassen und haben sie nach oben gebracht und in den Lebenskreislauf gebracht, ins Meerwasser, in Flüsse, Seen, Gewässer, in unser Essen, in die Luft, in die Autos. Ein Beispiel für Schwermetalle, das ich immer erzähle: Unser Labor, das uns die Schwermetalltests macht, hatte sich einen neuen Cadmiumdetektor angeschafft, ein Gerät, das im Labor steht. Das Labor ist sorgfältig abgeschirmt mit Aircondition und Filteranlagen, damit da nichts reinkommt. Als die Firma des Gerät aufgestellt hatte, ging der Cadmiumdetektor alle fünf Minuten los, d. h. die Warnanlage. Das bedeutet, dass der Cadmiumspiegel der Aussenluft so hoch ist, dass das Gerät kein Cadmium messen kann. Wir dachten, das Gerät sei kaputt, aber es waren so periodische Intervalle, manchmal vergingen 10 Minuten und dann ging’s dreimal hintereinander los, bis man schliesslich feststellte, es war eine Landstrasse, die 200 m weg war vom Labor. Jedes mal, wenn ein Auto vorbei fuhr, zwei Minuten oder 120 Sek. Hinterher ging der Cadmiumdetektor in dem verschlossenen Labor, wo alles versiegelt war, los. Soviel Cadmium kommt aus unseren Auspuffgasen. Wenn mir jemand jetzt sagt, ich hab’ aber keine Schwermetallvergiftung, dann sag’ ich nur: Wenn du jemals in den letzten Jahren innerhalb von 200 m von einem Auto entfernt warst, bist du cadmiumvergiftet. Cadmium lebt im Knochenmark und ist u.a. verantwortlich für Leukämie und Osteoporose bei Frauen - das sind fast immer Cadmium-Erkrankungen. Wir können auch mal sprechen über Blei und andere Metalle, aber im Augenblick möchte ich nicht darauf eingehen.

[Zink gegen Zinkmangel - Selen fixiert Quecksilber im Gehirn - Selen nur bei  Selenmangel]

Die Frage, die immer kommt über Zink und Selen: Es ist gut, wenn Leute Zinkmangel haben, Zink zu ersetzen. Zink hat eine kompetitive Hemmung mit Kupfer, d.h. wenn wir viel Zink geben, wird Kupfer ausgeschieden. Wir finden v. a. bei Frauen, die dazu neigen, Anämien zu haben, meistens einen Kupfermangel. Deshalb bin ich persönlich nicht begeistert von der Idee, jedem Zink zu geben. Wir testen Zink in den weissen Blutkörperchen und finden es relativ häufig niedrig, aber manchmal auch zu hoch. Wir testen Kupfer in den roten Blutkörperchen. Das Kupfer ist sehr häufig niedrig. Wenn Kupfer niedrig ist, geht das Immunsystem kaputt und Eisen kann nicht absorbiert werden, es kommt zur Anämie. Deshalb ist es sehr diffizil.

Selen macht Komplexe mit Quecksilber und wird hier in Deutschland sehr hochgejubelt als Wundermittel. Dr. Daunderer, der in München die Abteilung für Toxologie hat, hat die Weltliteratur über Selen nachgesehen und ist zu dem Schluss gekommen, dass man nie Selen geben sollte bei Quecksilbervergiftung, weil Selen Quecksilber im Gehirn fixiert durch verschiedene Mechanismen, die bekannt sind. Ich bin der Meinung, Selen sollte dann gegeben werden, wenn es kinesiologisch testet oder wenn ein Selen-Mangel besteht, was man mit der Haaranalyse sehr einfach nachweisen kann.

[Messungen: Haaranalysen billig in den "USA" - Metalle in Blutkörperchen messen]

Haaranalysen kosten in den USA 60 $, bei Dr’s Data in Chicago (Adresse: Monika Hanelt). Man kann es leicht hinschicken. Sie kosten in Deutschland, wie ich gesehen habe, zwischen 400 und 1000 DM. Ich empfehle Ihnen einfach bei der Haaranalyse des beste Labor zu nehmen, das für den billigsten Preis arbeitet, damit die Preise etwas herunterkommen. Man kann es leicht nach Amerika schicken, das kostet 90 Pfennig o.s. [oder so], und man kriegt die Laborwerte zurück viel billiger. Noch Fragen?

Zur Haaranalyse für Mineralien: Haaranalyse gilt nicht für alle Mineralien, man kann nur interpretieren. Meiner Meinung nach ist das, was niedrig ist, auch niedrig beim Patienten. Das, was hoch ist im Haar, ist relativ unzuverlässig. Dr’s Data hat eine Maschine, von der wir glauben, es ist die einzige in der Welt. Die streift die äusseren zwei Drittel des Haares ab und untersucht nur den Kern des Haares, während die meisten Haaranalysen das ganze Haar untersuchen. Man kriegt relativ ungenaue Ergebnisse durch das Shampoon und die Umweltgifte, die von aussen an das Haar kommen. Um es genau zu sagen, wir machen eine Haaranalyse, um Selen und Spurenelemente anzugucken. Wir gucken Kupfer und Mangan in den roten Blutkörperchen an und Zink und Magnesium in den weissen Blutkörperchen. Dies ist unser Status, wo wir genau wissen dann: O,k., hier ist unser repräsentativer Status, wo die Mineralien sind. Alles was niedrig ist, wird hochdosiert ersetzt während dieser Ausleitung.

[Ausleitung bei Babys mit Quecksilber von Amalgam-Müttern: DMPS, Koreanderkraut-Extrakt, hom. Quecksilber]

Bei Säuglingen und Kindern empfehle ich, DMPS als Tabletten zu geben, und zwar nach den gängigen Dosierungsvorschriften. DMPS ist ein schulmedizinisches Mittel. Es gibt auch homöopathisches DMPS. Homöopathisches DMPS ist geeignet, um Schwermetalldepots in Gelenken und Organen aufzulockern (als Neuraltherapeutikum), aber nicht genug, um es abzutransportieren. Koreanderkraut-Extrakt kann man auf jeden Fall bei Säuglingen nehmen. Bei Säuglingen und Kleinkindern, wenn das Amalgam von der Mutter gekommen ist, gilt, dass man zuerst das Metall herausholt und zum Schluss hochpotenziertes homöopathisches Quecksilber gibt. Das ist die eine Ausnahme, wo es richtig ist, homöopathisch Quecksilber zu geben. Dieses Amalgam, das durch die Mutter gekommen ist, ist wie ein Miasmus, wie ein Tuberculinum oder Syphilinum, wo man den Miasmus ausleiten muss mit den entsprechenden homöopathischen Mitteln.

[Pendel oder Radionix helfen gegen Metalle in den Zellen nicht]

Wenn man sich bezieht auf die Arbeit mit dem Pendel oder mit Radionix, wie es Ochsenreiter macht, haben wir ganz klar zeigen können, dass weder das Pendel noch Radionix in der Lage sind, an die intrazelluläre Information von Schwermetallen heranzukommen, obwohl das immer wieder behauptet wird. Das weiss ich heute mir grosser Sicherheit, weil wir entsprechende Behandler und deren Patienten über viele Jahre in Santa Fe, USA, immer wieder nachgetestet haben. Es ist interessant, dass sich die intrazelluläre Information im Moment allen Techniken entzieht.

[Schwefelhaltige Pflanzen: Knoblauch oder Bärlauch-Pesto - plus Algen oder Koreanderkraut]

Ich habe den Knoblauch und Bärlauch vergessen: Eines der führenden Mittel als Alternative zu DMPS [DMPS: Dimercapto-Progran-Sulfonsäure] sind die schwefelhaltigen Pflanzenmittel. Knoblauch ist das, was wir klassisch verwendet haben. Knoblauch wird nicht von allen vertragen, dann wurden wir hingewiesen auf Bärlauch, und Tosh hat mehrere Bärlauchpräparate gemacht, also selber hergestellt. Wie sie hergestellt werden, wie er es gemacht hat als Bärlauchpesto, Bärlauchgemisch, kommt es dem DMPS sehr nahe. Es geht sehr viel länger mit Bärlauch oder Knoblauch, aber man kommt auch ans Ziel, zum Endpunkt immer in Verbindung mit Chlorella und immer in Verbindung mit dem Koreanderkraut oder Koreanderkraut-Tinktur.

[Dosierung der Koreanderkraut-Tinktur, Bärlauch, Knoblauch]

Zur Dosierung der Koreanderkraut : Bei der Koreanderkraut-Tinktur würde ich anfangen mit fünf Tropfen zweimal am Tag. Das reicht aus am Anfang. Man kann hochgehen bis zu 10 Tropfen dreimal am Tag. Das sind die mutigen Dosierungen, in diesem Spielraum findet das Ganze statt. Bärlauch und Knoblauch sollte man so viel nehmen bis zur Geruchstoleranz, d.h. bei Knoblauch so viel nehmen, bis der Körper anfängt zu riechen und gerade eben an dieser Grenze bleiben, und beim Bärlauch ist es das gleiche. So bis die Nachbarn sagen, was ist denn in Ihrer Küche kaputt? Am besten, Ihr nehmt ein bisschen zu viel. Bärlauch-Tinktur von "Bioforce" oder Bärlauchkapseln sind im Moment der beste Weg. Bärlauch wirkt besser bei der Schwermetallentgiftung als Knoblauch. Letztlich werden wir über Monika Hanelt die natürlichsten und besten Produkte versuchen zusammenzustellen.

Diese Schwermetallausleitung, die ich hier vorschlage, funktioniert. Es gibt viele Wege nach Rom. Viele andere Techniken, die ich bisher getestet habe, haben Schwermetalle verschoben ins Gehirn. Deshalb bin ich vorsichtig, wenn wieder eine neue Idee kommt. Ich bin der erste, der die Idee aufgreift, aber erst, wenn wir wirklich sicher sind, dass es funktioniert, gebe ich es weiter.

[Monika Hanelt mit der Liste der Therapeuten für die Ausleitung von Metallen]

Wenn Fragen auftreten (Produkte, Therapeuten, Kurse etc.). bitte ich, Monika Hanelt anzurufen.

Adresse: Monika Hanelt
Seminarorganisation
Hinterm Rathaus 8
D-45239 Essen
Tel: (49)+0201-40 12 05
Fax: (49)+0201-40 51 59
E-Mail: monikahanelt@hotmail.com [web10]

Sie hat eine Liste der Therapeuten, die von uns ausgebildet sind. Ich war letztes Jahr im Juli seit 20 Jahren in der Praxis und habe mich von Anfang an spezialisiert auf chronisch schwere Erkrankungen, so wie jeder von euch sich auch spezialisiert.

Ich muss sagen, seitdem ich mit der Schwermetallausleitung angefangen habe, bin ich wieder begeistert von der Medizin. Die PK [Psycho-Kinesiologie?] kam erst hinterher, erst kam die Schwermetallausleitung, damit ich überhaupt klar genug sehen konnte, um die PK zu entwickeln. Was ich im Moment mache in meiner Praxis ist eine Mischung aus PK und Schwermetallausleitung. Alle, die die Schwermetallausleitung angefangen haben und bei denen DMPS benutzt wird, sehen oft so schnelle und oft phantastische Ergebnisse bei Krankheiten, so dass Medizin wieder anfängt Spass zu machen. Und jetzt mit der Koreander-Tinktur bin ich nochmal begeistert.

[Heilung durch Ausleitung von Metallen: chronische Kopfschmerzen weg - Heilung von Krebs - der Selbstversuch]

Ein Beispiel: Eine Patientin hatte zwölf Jahre lang tägliche Kopfschmerzen, sie sagte "tägliche Migräne", aber von der Definition her war es nicht genau eine Migräne, aber sie hatte täglich schwere Kopfschmerzen. Der habe ich eine einmalige Dosis gegeben von Koreanderkraut, acht Tropen in der Praxis. Sie wurde total beschwerdefrei ohne jede weitere Dosis.

Es kann manchmal so dramatisch sein. Omura, der das Koreanderkraut vor einem halben Jahr veröffentlicht hat und seit einem Jahr verwendet, hat sehr viele Krebsheilungen erzielt dadurch, dass die Schwermetalle aus der Krebsgeschwulst ausgeleitet werden und dann das Immunsystem am Krebs wieder arbeiten kann, den Krebs einschmelzen kann. Hildegard-Medizin kennt das Koreanderkraut, und Dr. Vogel in der Schweiz kennt das Koreanderkraut.

Ich habe selber angefangen, mit DMPS an mir zu arbeiten vor ca. Sechs Jahren. Ich habe Schritt für Schritt die verschiedenen Zusatzschritte lernen müssen, weil es einfach keine ausreichende Literatur gibt, keine praxisbezogene wissenschaftliche Literatur (vielleicht mit Ausnahme des "Handbuchs der Amalgamvergiftung" von Dr. med. Max Daunderer, Ecomed Verlag, München). Es gibt auch in der Weltliteratur bis heute nichts ausser ein paar halbwissenschaftlichen Pressesachen, die sagen: Wir wissen nicht, wie wir Quecksilber aus dem Gehirn herausholen können, es tut uns Leid, ihr müsst damit leben und damit sterben. Es gibt ein paar Hinweise auf die gehirnentgiftende Wirkung von DMSA. Ich habe damit jahrelang gearbeitet und bin von dessen Heilwirkung weitgehend enttäuscht.

Der Weg hierher war ein langer. Ich kann im Moment nicht sagen, wie lang es jetzt geht mit dem viel besseren Programm, aber ich würde vorschlagen, ihm mindestens ein Jahr lang die Zeit zu geben. Ihr braucht den Metalltestsatz und einen Kurs in Neuralkinesiologie.

Siehe auch im Internet unter 


Literaturempfehlung:

Dr. med. Joachim Mutter: "Amalgam - Risiko für die Menschheit - Quecksilbervergiftungen richtig ausleiten."
(mit einer Einführung von Dr. med Dietrich Klinghardt); fit fürs Leben Verlag

© 2004 Essential Foods b.v.

Dr. med. Joachim Mutter:
                  "Amalgam - Risiko für die Menschheit -
                  Quecksilbervergiftungen richtig ausleiten."
Dr. med. Joachim Mutter: "Amalgam - Risiko für die Menschheit - Quecksilbervergiftungen richtig ausleiten."
[37]

<<     >>

Teilen / share:

Facebook






Quellen

[web01] http://de.wikipedia.org/wiki/Max_Daunderer
[web02] http://video.google.com/videoplay?docid=-5651161167338929862
[web03] http://www.simile.de/Simile-html/Simile-Themen/Gesundheit_Zaehne_Therapie.html
[web04] http://amalgamverbot.twoday.net/topics/Dr.+Max+Daunder/
[web05] http://www.schwarz-zahnarzt.com/Literaturliste.htm
[web06] http://de.wikipedia.org/wiki/Echter_Koriander
[web07] http://www.docs4you.at/Content.Node/Vorsorgemedizin/Impfungen/quecksilber_in_impfstoffen.php
[web08] http://www.metallfreier-mund.de/40402/51777.html
[web09] http://www.akupunktur.de/arzt/verein/merkblaetter/MB%20Amalgam.pdf
[web10] http://www.das-gibts-doch-nicht.info/gaestebuch/gaestebuch.php?index1=471&test1=0
[web11] http://www.toxcenter.de/artikel/Amalgam-groesstes-Medizin-Verbrechen.php
[web12] http://www.toxcenter.de
[web13] http://bioresonantscience.blogspot.com/2006/12/scientifically-proven-facts-about.html


Fotoquellen

6. Vortrag
[9] Dietrich Klinghardt, Portrait: http://doku.cc/2008/03/30/dr-med-dietrich-klinghardt-psycho-kinesiologie-i-ii/
[10] Schloss Elmau: http://www.focus.de/reisen/urlaubstipps/schloss-elmau_did_15540.html

[11] Meeresfisch Makrele: http://www.sportfischen-online.de/?Fischkunde:Meeresfische:Makrele
[12] Chlor flüssig in Quarzampulle: http://de.wikipedia.org/wiki/Chlor
[13] Chlor, Gefahrenstoffkennzeichnung: http://de.wikipedia.org/wiki/Chlor

[14] Fluorkristalle: http://de.wikipedia.org/wiki/Fluor
[15] Fluor, Gefahrenstoffkennzeichnung: http://de.wikipedia.org/wiki/Fluor

[16] Kofferdamm für Amalgamsanierung: http://www.metallfreier-mund.de/

[17] Quecksilberdampf (rauchender Zahn): http://www.heilpraktiker-peter-kern.de/amalgamundschwermetallentgiftung.htm

[18] Ziege (Experiment mit radioaktivem Quecksilber): http://de.wikipedia.org/wiki/Hausziege
[19] Schafe (Experiment mit radioaktivem Quecksilber): http://de.wikipedia.org/wiki/Hausschaf
[20] Nerv (wird zerstört, wenn Quecksilber die Röhre angreift): http://de.wikipedia.org/wiki/Nerv
[21] Nerv vor und nach Quecksilberbefall: http://www.heilpraktiker-peter-kern.de/amalgamundschwermetallentgiftung.htm

[22] Gehirn (von Alzheimer-Menschen ist quecksilberverseucht): http://de.wikipedia.org/wiki/Gehirn

[23] Rhesusaffen (Experiment mit radioaktivem Amalgam): http://de.wikipedia.org/wiki/Rhesusaffe

[24] FASEB, Cover: http://www.rolfmoser.com/ABOUT.HTM
[25] Karte mit Amalgam-MS-Parallelität: http://www.praxis-fichtel.de/Amalgam-Kopie-1.69.0.html
[26] Karte der Verbreitung der Multiplen Sklerose (MS): http://www.hendess.net/ms_d.htm

[27] Goldfüllung mit Goldlegierung:
http://www.colgate.at/app/Colgate/AT/OC/Information/OralHealthBasics/CheckupsDentProc/Fillings/WhatIsAFilling.cvsp

Implantat-Schema: http://www.zahnarzt-bielefeld-implantate.de/warum_implantat.html

[28] Ausleitung, Nierenpflege mit Goldraute (Solidago): http://de.wikipedia.org/wiki/Goldruten
[29,30] Ausleitung, Leberpflege mit (Hepatica): http://en.wikipedia.org/wiki/Hepatica; http://www.hausinfo.com/home/de/garten/Pflanzen-A-Z/leberbluemchen.html
[31] Ausleitung mit Algenpillen "Chlorella pyrenoidosa": http://www.comlorella-info.de/
[32]-- Ausleitung mit Algenpillen "Bio-Reurella":
http://www.yatego.com/uralgenshop/p,467ed84816712,433a8ad41a9a11_3,beta-reu-rella-algen-2000-tabs--ehemals-bio-reu-rel
[33] Ausleitung mit Algenpillen "Afa-Alge", Presslinge in Glas:
http://www.essential-foods.at/catalog/product_info.php?cPath=23_21&products_id=28
[34] Korianderblätter, Korianderkraut: http://www.uni-graz.at/~katzer/germ/Cori_sat.html

[35] Industrialisierung, Bergbau, Bergmann bei Montagearbeiten:
http://www.dguv.de/bgia/de/fac/haut/branchen/bergbau/index.jsp
[36] Industrialisierung, Bergbau, Förderlinie: http://www.minerlamps.com/Bergbaubilder.html

[37] Mutter: Amalgam - Risiko für die Menschheit, Buchdeckel:
http://www.amazon.de/Amalgam-Risiko-Menschheit-Quecksilbervergiftungen-Amalgamentfernung/dp/other-editions/3898815226


[film] Film über Quecksilberwirkung an Nerven und Nerven unter Quecksilbereinfluss (Röntgenfotos):
http://commons.ucalgary.ca/mercury/; http://commons.ucalgary.ca/showcase/curtains.php?src=http://apollo.ucalgary.ca/ mercury/movies/Lor2_QTS_300kb_QD.mov&screenwidth=320&screenheight=256;
http://www.metallfreier-mund.de/40402/51777.html
^